Consensus statements of the Hellenic Autoimmune Liver Diseases Study Group on the diagnosis and current management of primary biliary cholangitis

George N. Dalekosa, Nikolaos Gatselisa, Theodoros Androutsakosb, Dimitrios Samonakisc, Christos Triantosd, Dina Tiniakose,f, Eirini I. Rigopouloua, on behalf of the Hellenic Autoimmune Liver Diseases Study Group

General University Hospital of Larissa; Medical School, National and Kapodistrian University of Athens, “Laiko” General Hospital of Athens; University Hospital of Heraklion, Crete; University of Patras, Greece

aDepartment of Medicine and Research Laboratory of Internal Medicine, Expertise Center of Greece in Autoimmune Liver Diseases, European Reference Network on Hepatological Diseases (ERN RARE-LIVER), General University Hospital of Larissa, Greece (George N. Dalekos, Nikolaos Gatselis, Eirini I. Rigopoulou); bDepartment of Pathophysiology, Medical School, National and Kapodistrian University of Athens, “Laiko” General Hospital of Athens, Greece (Theodoros Androutsakos); cDepartment of Gastroenterology, University General Hospital of Heraklion, Crete, Greece (Dimitrios Samonakis); dDivision of Gastroenterology, Department of Internal Medicine, University of Patras, Greece (Christos Triantos); eDepartment of Pathology, Aretaieion Hospital, Medical School, National and Kapodistrian University of Athens (Dina Tiniakos); fEuropean Reference Network on Hepatological Diseases (ERN RARE-LIVER) (Dina Tiniakos)

Correspondence to: George N. Dalekos, MD, PhD, FEFIM, FAASLD, FCCP, Professor of Medicine, Head, Department of Medicine and Research Laboratory of Internal Medicine, Expertise Center of Greece in Autoimmune Liver Diseases, European Reference Network on Hepatological Diseases (ERN RARE-LIVER), General University Hospital of Larissa, 41110 Larissa, Greece, e-mail: georgedalekos@gmail.com
Received 24 December 2025; accepted 24 January 2026; published online 26 February 2026
DOI: 10.20524/aog.2026.1048
© 2026 Hellenic Society of Gastroenterology

Abstract

Primary biliary cholangitis (PBC) is an autoimmune epithelitis of small intrahepatic bile ducts that affects predominately females, and is characterized by chronic cholestasis, circulating PBC-related autoantibodies, and progressive disease at the histological level. Key manifestations include pruritus, fatigue, hyperpigmentation, dry-gland syndrome, xanthelasmas and frequent concurrent extrahepatic autoimmune diseases, although approximately half the patients are nowadays completely asymptomatic at diagnosis. The current Consensus Statements of the Hellenic Autoimmune Liver Diseases Study Group aim to provide updated and practical statements to clinicians for PBC diagnosis and management. The presence of antimitochondrial antibodies is a key diagnostic marker for PBC. PBC-specific antinuclear antibodies (anti-gp210 and anti-sp100) also bear diagnostic and prognostic significance. Following diagnosis, this document provides guidance on the comprehensive assessment and risk stratification of patients, using demographic factors, clinical and biochemical laboratory findings, liver autoimmune serology and fibrosis stage. After 6-12 months of therapy with first-line treatment (13-15 mg/kg/day ursodeoxycholic acid [UDCA]), a new risk-stratification procedure should be performed, based on the assessment of biochemical response using a continuous scoring system (either GLOBE or UK-PBC score). In non-responders, add-on treatment to UDCA with a second-line agent, a proliferator-activated receptor agonist (PPAR), either elafibranor (PPARα/δ agonist) or seladelpar (PPARδ agonist), is recommended. The treatment target—also known as deep response—should aim to achieve bilirubin within the normal range, specifically at values <0.6× upper limit of normal, along with normalization of alkaline phosphatase. The disease-associated major symptoms (pruritus, fatigue and cognitive dysfunction) should also be promptly recognized and managed in a holistic manner, as they negatively affect the patient’s health-related quality of life.

Keywords Primary biliary cholangitis, ursodeoxycholic acid, antimitochondrial antibodies, elafibranor, seladelpar

Ann Gastroenterol 2026; 39 (2): 123-160


Introduction

Primary biliary cholangitis (PBC) is an autoimmune epithelitis of small intrahepatic bile ducts characterized by chronic cholestasis (elevated gamma-glutamyl transpeptidase [γ-GT] and alkaline phosphatase [ALP]), circulating PBC-related autoantibodies, namely anti-mitochondrial antibodies (AMA) and/or antinuclear (ANA) PBC-specific antibodies, and progressive disease that, if undiagnosed and untreated, may eventually lead to end-stage liver disease and the need for liver transplantation (LT) [1-3]. A recent systematic review and meta-analysis based on 47 population-based studies revealed an estimated pooled global incidence and prevalence of 0.84-2.75 per 100,000 inhabitants/year and 9.82-21.81 per 100,000 inhabitants, respectively [4]. However, more recent data from the US showed an even higher adjusted prevalence in 2021 (40.9 per 100,000 adults), with the highest rates in some rural areas [5]. It is notable that both the incidence and prevalence have shown an increasing tendency worldwide [4,5], while the mortality rate is about 3 times higher than that of the general population [6]. A female predominance is characteristic of the disease, as women traditionally accounted for approximately 70-90% of patients with PBC in the 1990s and early 2000s [7]. However, this overt female predisposition now seems less pronounced, as the female-to-male ratio was less than 5:1 in some recent epidemiological studies [8]. The reason for the relative increase in the number of male patients with PBC remains unclear, but better recognition and a true increase in the incidence of PBC are probably responsible.

Clinical manifestations mainly include pruritus, particularly of the palms and soles, with attacks exacerbating at night, fatigue, hyperpigmentation, dry-gland syndrome (xerophthalmia, dry mouth, dry vagina), xanthelasmas, bone pain and right upper abdominal discomfort [1-3], although nowadays approximately half of the patients or more may be completely asymptomatic at diagnosis [9-12]. Indeed, historically, PBC was most often diagnosed at advanced stages [13]. However, in recent decades, growing awareness among healthcare providers and improved screening practices have contributed to earlier detection, often at milder stages of the disease [10]. Notably, data from a large international cohort of 4805 PBC patients diagnosed between 1970 and 2014 revealed a significant shift in disease presentation over time. The mean age at diagnosis rose from 47 years in the 1970s to 57 years in the 2010s, while the proportion of patients presenting at mild biochemical and histological stages increased substantially. These findings suggest that patients today are more frequently diagnosed at an earlier stage of the disease [11].

The vast majority of patients may present with hypercholesterolemia, although robust data supporting an increased risk of cardiovascular diseases in PBC are still lacking [1-3,14,15]. PBC is associated with many extrahepatic autoimmune diseases, among which sicca or Sjögren’s syndrome, Hashimoto thyroiditis and Raynaud’s syndrome are the most prevalent (Table 1) [1,10,16,17]. In this context, recent Mendelian randomization studies have shown that PBC has causal effects on various autoimmune rheumatic diseases [16,18-20].

Table 1 Extrahepatic autoimmune diseases in primary biliary cholangitis

thumblarge

Without a timely diagnosis and effective and appropriate management, the disease progresses to end-stage liver disease with a poor prognosis [1-3]. Therefore, early detection and management of PBC are necessary.

In May 2025 after an open call, the Hellenic Autoimmune Liver Diseases Study Group (HALDSG), recognizing the significant developments and the large number of relevant publications, nominated a core panel of 7 experts, who were assigned the task of carrying out literature research and writing a brief and updated Consensus on the Diagnosis and Current Management of PBC. This Consensus, based on the most reliable evidence, aims to provide a practical “roadmap” overview of PBC diagnosis and management, in an attempt to assist physicians involved in the management of patients with PBC.

Methodology

The current Consensus Statements were developed by extensive searching through PubMed, Embase, Google Scholar and Scopus. The core panel of HALDSG initially identified 10 key questions using the PICO format: P - Patient, Population, or Problem; I - Intervention, Prognostic Factor, or Exposure; C – Comparison or Intervention (if appropriate); O – Outcome. All 10 key PICO questions were approved after thorough discussions by all 7 members of the core panel (strong consensus). Afterwards, each expert of the core panel assumed responsibility for formulating proposals for statements related to specific PICO questions, contributing tables of evidence and text to the entire core panel. As in previous similar publications in this Journal [21,22], the quality of evidence was based on the criteria of the Oxford Centre for Evidence-based Medicine (OCEBM), while the strength of statements was assessed using the OCEBM criteria (strong or weak/open) [23] (Table 2). All statements, including grading and the level of evidence (LoE), underwent thorough discussion and approval by all panel members during several zoom meetings and many email communications. For each statement, the internal voting results guided the process as follows: <5 of 7, necessitated rewriting of the statement and re-evaluation by the core panel; ≥5 agreement of 7 denoted consensus; while ≥6 agreement of 7 denoted strong consensus.

Table 2 Levels of evidence (A) and grades of recommendations (B) based on the Oxford Centre for Evidence-based Medicine (Adapted from: [23])

thumblarge

Subsequently, the draft statements of the core panel were submitted to 32 members of the HALDSG for independent review and voting. The voting results guided the process as follows: <50% approval necessitated rewriting of the statement and resubmission to the HALDSG; 50-75% approval indicated a need for improvement of the statement without resubmission; 75-89% approval indicated consensus; and ≥90% approval indicated strong consensus. Neutral votes were omitted when calculating the consensus. The suggested modifications were integrated into a revised version, which was further approved by all 7 members of the core panel of HALDSG before final submission to the journal. The agreement of HALDSG members on each statement is provided in the Appendix 1.

PICO 1. How should a diagnosis of PBC be established?

Statements

  • The diagnosis of PBC should be established when at least 2 of the following criteria are met: (1) persistent elevation of cholestatic enzymes in the absence of extrahepatic biliary obstruction or focal liver lesions by abdominal ultrasonography; (2) presence of PBC-related autoantibodies (AMA or PBC-specific ANA) evaluated using appropriate methods according to guidelines; and (3) histological evidence of destructive granulomatous cholangitis and/or lymphocytic cholangitis leading to bile duct loss with chronic cholestasis (LoE 1, strong statement)

  • Liver biopsy is not necessary for PBC diagnosis when biochemical and autoantibody serological markers are clearly indicative of the disease (LoE 2, strong statement)

  • Polyclonal elevation of immunoglobulin M (IgM) and isolated γ-GT elevation may be observed in patients with PBC, and may support the diagnosis, especially in cases with positive PBC-related antibodies, though they are not part of the standard diagnostic criteria (LoE 3, weak statement)

  • The presence of AMA is a key diagnostic marker for PBC, and should be tested by indirect immunofluorescence (IIF) on triple rodent tissue sections as the preferred initial screening method. Enzyme-linked immunosorbent assay (ELISA) testing, preferably using all 3 major AMA autoantigens, is an alternative and reliable first-line screening tool for AMA detection if the previous IIF testing is negative, or when laboratories have limited experience in performing and interpreting the IIF patterns (LoE 2, strong statement)

  • Immunoblotting assays should be used to detect AMA in patients with clinical suspicion of PBC but negative AMA results by IIF and ELISA (LoE 2, strong statement)

  • PBC-specific ANA should be determined, ideally in parallel with AMA, by IIF on Hep-2 cells (multiple nuclear dots or perinuclear rims patterns) or ELISA and/or immunoblotting (anti-gp210 and anti-sp100), as they have prognostic significance and are of major diagnostic importance in AMA-negative cases (LoE 2, strong statement)

  • Magnetic resonance cholangiopancreatography (MRCP) is recommended in cases with cholestasis and negative testing for PBC-related antibodies, to exclude primary sclerosing cholangitis (PSC) and other morphological changes of the bile duct (LoE 3, strong statement)

  • Liver biopsy is not suggested in patients positive for AMA or ANA PBC-specific antibodies and normal liver biochemistry, although annual clinical and biochemical monitoring seems reasonable, as a proportion of these cases will eventually develop PBC (LoΕ 3, weak statement)

PBC should be suspected in individuals, particularly middle-aged women, who present with persistent elevation of cholestatic liver enzymes, identified incidentally or during the investigation of non-specific symptoms, such as fatigue or pruritus [1,3]. Given the variable clinical presentation and the often subtle early manifestations, a high index of suspicion is essential for timely diagnosis [24,25]. A thorough clinical evaluation is essential in all patients with suspected PBC, to confirm the diagnosis and exclude other potential causes of cholestasis, such as benign infiltrative diseases or genetic diseases (Table 3). The diagnostic workup should begin with a careful review of the patient’s medical history, including current or recent medication use (especially antibiotics, herbs, supplements, anabolic steroids or psychotropic agents), alcohol consumption, recent surgeries, and underlying systemic or autoimmune diseases (Fig. 1). Physical examination may be unremarkable in early disease, but should aim to identify signs of chronic liver disease, portal hypertension or associated autoimmune conditions [12,26]. PBC can manifest with various skin changes, with hyperpigmentation and xanthelasmas being the most common [27-29]. Abdominal ultrasound is the first-line imaging modality for all patients, to exclude intra- or extrahepatic etiologies of bile duct obstruction (such as PSC), mass lesions of liver parenchyma and bile ducts, and gallbladder abnormalities [12].

Table 3 Differential diagnosis of biochemical cholestasis in adults

thumblarge
thumblarge

Figure 1 Diagnostic approach in patients with chronic elevation of cholestatic enzymes (adapted from [12]) US, ultrasound; IgG4; immunoglobulin G subclass 4; AMA, antimitochondrial antibodies; ANA, antinuclear antibodies; PBC, primary biliary cholangitis; Abs, antibodies; MRI, magnetic resonance imaging; MRCP, magnetic resonance cholangiopancreatography; ERCP, endoscopic retrograde cholangiopancreatography; PSC, primary sclerosing cholangitis

The diagnosis of PBC is established when at least 2 of the following 3 criteria are fulfilled: (1) biochemical evidence of cholestasis, defined as a persistent elevation of serum ALP levels; (2) the presence of PBC-related autoantibodies, provided that appropriate testing has been performed according to the guidelines; and (3) histological features of destructive granulomatous cholangitis and/or lymphocytic cholangitis leading to progressive bile duct loss with chronic cholestasis [1,30,31]. In the vast majority of patients, the diagnosis can be confidently established without liver biopsy, based on biochemical and serologic markers alone [1,31].

The biochemical hallmark of PBC is a persistent elevation of serum ALP. Although ALP is not specific to the liver, significantly elevated levels, particularly when accompanied by elevated γ-GT, strongly support a hepatobiliary origin [12,32]. Isolated persistent γ-GT elevation might represent the earliest biochemical stage of PBC [33,34] and may support the diagnosis in the presence of PBC-related autoantibodies if other causes of elevated γ-GT have been excluded, while mild elevations of aspartate aminotransferase (AST) and alanine aminotransferase (ALT) may also be observed. In this context, the R formula, calculated as [patient ALT/upper limit of normal (ULN) ALT/patient ALP/ULN ALP], is very helpful to differentiate the patterns of liver injury. A hepatocellular pattern is suggested when the R formula is >5; R<2 denotes a predominant cholestatic pattern, while values between 2 and 5 suggest a mixed pattern [12,32]. Serum bilirubin is typically normal in early disease and elevated in more advanced stages, serving as a prognostic marker [1,3,12,31]. Patients with PBC frequently exhibit a polyclonal elevation of serum IgM levels, which, although not of diagnostic relevance, may support the diagnosis and reflect underlying immune activation [1,10,31,35]. High IgM concentrations are not part of the standard diagnostic criteria, but can be useful for making a clinical diagnosis in patients with atypical features [1,12,31,36].

The detection of AMA is the serological hallmark of PBC and, when found in the appropriate clinical and biochemical context, is highly specific for disease diagnosis. AMA are detected in approximately 90-95% of patients with PBC, if testing strictly adheres to the guidelines, and have a specificity of 98% for its diagnosis [37]. These autoantibodies are mainly directed at the E2 subunits of the 2-oxoacid dehydrogenase complex—including the E2 subunit of the pyruvate dehydrogenase complex (PDC-E2), the E2 subunit of the 2-oxoglutarate dehydrogenase complex (OGDC-E2) and the E2 subunit of branched-chain 2-oxoacid dehydrogenase complex (BCOADC-E2)—and to a lesser extent at the E1 and E3 subunits. Up to 90% of AMA-M2 antibodies are directed against PDC-E2, whereas about 50% react with OGDC-E2 and BCOADC-E2 [38-40].

There are 3 widely used methods for the detection of AMA: (a) IIF; (b) ELISA; and (c) immunoblotting [38-40]. IIF remains the preferred method for routine screening and is considered the “gold standard” (positive titers ≥1/40), particularly when performed on fresh frozen cryostat sections of rat liver, kidney and stomach substrates (Fig. 2) [39,40]. On human larynx epithelioma cancer cell-lines (HEp-2), AMA produce a diffuse, granular cytoplasmic pattern that is not consistent with other AMA detection methods (i.e., IIF on triple rodent tissue sections or molecular-based assays); therefore, their use for AMA detection is not recommended. However, HEp-2 cells are recommended in parallel with the triple rodent substrates for the detection of PBC-specific ANA, as their large nuclei and high mitotic activity allow clearer discrimination of a distinct staining pattern [39-41]. ELISA tests, which include all 3 immunodominant epitopes of PDC-E2, BCOADC-E2 and OGDC-E2, are particularly useful for laboratories that lack experience in interpreting IIF patterns, and can be employed as a reliable alternative first-line screening tool [42,43]. In patients with a clinical picture suggestive of PBC, but negative IIF and ELISA results, immunoblotting can serve as a sensitive and specific confirmatory technique by visualizing reactivity against the key mitochondrial antigens of PBC, typically seen as bands at 74 kDa (PDC-E2), 52 kDa (BCOADC-E2) and 48 kDa (OGDC-E2) [39,40,44,45]. Approximately, 5-10% of patients with PBC, depending on the assays used, are AMA-negative. However, this specific subgroup of patients with PBC seems not to differ from AMA-positive patients in terms of treatment response and outcomes [46].

thumblarge

Figure 2 AMA detection by IIF assay on fresh frozen cryostat sections of rat kidney, liver, and stomach substrates. (A) On kidney substrate, AMA show a fine granular cytoplasmic staining in both distal and proximal renal tubules. (B) On liver substrate, AMA show a homogeneous diffuse cytoplasmic staining of hepatocytes. (C) On stomach substrate, AMA show a bright granular staining pattern of gastric parietal cells. Original magnification ×40 AMA, antimitochondrial antibodies; IIF, indirect immunofluorescence

Importantly, AMA may be detected in asymptomatic subjects with normal liver tests [47,48]. Histological evidence of PBC has been found in almost 40% of such cases, and long-term follow up indicated that most will eventually develop the disease [47,49,50]. More recent studies from China [51] and Switzerland [33] have reported even higher rates, up to 80%, of histologically confirmed PBC in AMA-positive individuals with normal ALP. This highlights the need for better and close surveillance in AMA-positive individuals, even in the absence of overt cholestasis. In parallel, data from a large prospective study showed that a substantial proportion (1 of 6) of AMA-positive individuals without baseline evidence of PBC eventually developed the disease or experienced increased mortality, underscoring the clinical relevance of isolated AMA positivity in otherwise “healthy” subjects [52]. While these studies offer valuable insights regarding the management of this mysterious and problematic population group, we do not advise performing liver biopsy, as robust data are still lacking, and response criteria after potential ursodeoxycholic acid (UDCA) administration cannot be implemented because of consistently normal ALP levels [53].

ANA are detected either alone or in combination with AMA in approximately 50-70% of patients with PBC [39,40,54]. Although ANA are not disease-specific, certain ANA patterns and target antigens have shown relatively high specificity for PBC. Indeed, in PBC, the most characteristic patterns of ANA by IIF are those of perinuclear rims and multiple nuclear dots (Fig. 3) [39,40]. These patterns correspond to autoantibodies directed against the 210 kDa glycoprotein of the nuclear pore membrane (anti-gp210) and nuclear body-speckled 100 kDa (anti-sp100), respectively [39,40]. Detection of anti-gp210 and anti-sp100 antibodies is typically performed by ELISA and/or immunoblotting assays. These autoantibodies are considered highly specific for PBC, even in AMA-negative individuals, and their presence can support the diagnosis in serologically atypical cases. Notably, a seropositivity of 65% for PBC-specific ANA has been demonstrated using specific antisera to each of the 4 immunoglobulin G (IgG) isotypes, compared to about 15% when using an anti-IgG (total) antiserum [55]. This was further supported by a meta-analysis including 400 AMA-negative PBC patients and 6217 controls, which showed that ANA, particularly anti-gp210 and anti-sp100, had very high specificity (97-99%) but low sensitivity (23-25%) for AMA-negative PBC cases [56]. Strikingly, in a large study, double positivity for both anti-sp100 and anti-gp210 showed 100% positive predictive value for PBC [57]. In cases with negative testing for PBC-related autoantibodies and persistent cholestasis, despite normal ultrasonographic findings, an MRCP investigation, specifically to rule out PSC, should be considered [12].

thumblarge

Figure 3 ANA specific for PBC detected by IIF on HEp-2 cells. (A) Rim-like membranous pattern showing staining of the nuclear membrane. (B) Multiple-nuclear dot pattern showing variably sized dots within the nucleus. The granular cytoplasmic staining represents concomitant AMA reactivity on HEp-2 cells. Original magnification ×40 ANA, antinuclear antibodies; PBC, primary biliary cholangitis; IIF, indirect immunofluorescence; AMA, antimitochondrial antibodies

The characteristic histological features of PBC are patchy in nature and, reportedly, fibrosis extent may also be heterogenous, with different stages occurring simultaneously in the same liver. Therefore, a liver biopsy may not be diagnostic, especially in early disease, and may not be sufficiently accurate for disease staging or for excluding cirrhosis, reducing its value in routine practice [58]. However, a liver biopsy may support the diagnosis of PBC in cases with negative PBC-related antibodies, is essential for assessing concurrent features of autoimmune hepatitis (AIH), and in some cases may highlight other coexisting chronic liver disease. A tissue core length of at least 15 mm, preferably with a 16-G needle to ensure that complete portal tracts are included, and the presence of at least 10 portal tracts are considered necessary for adequate histological interpretation [59,60].

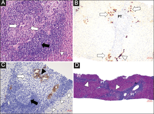
In addition to destructive cholangitis affecting interlobular and septal bile ducts, with or without portal and/or lobular non-caseating granulomas (the “florid duct lesion”), other features include lymphocytic interface activity, which is usually mild, mild hepatocyte injury, and vascular changes that occasionally lead to nodular regenerative hyperplasia (Fig. 4A) [61]. The latter may be related to the development of portal hypertension in non-cirrhotic PBC cases [58].

thumblarge

Figure 4 Primary biliary cholangitis. (A) Granulomatous destructive cholangitis (florid bile duct lesion) (white arrow) and chronic lymphoplasmacytic portal inflammation (black arrow). The chronic inflammatory infiltrate focally extends into the periportal parenchyma (mild interface hepatitis) (white arrowhead (H-E, ×200). (B) Chronically inflamed portal tract with bile duct loss. Keratin 7 immunostain highlights interlobular bile duct loss, remaining ductules (white arrowhead) and biliary metaplasia of periportal hepatocytes (white arrows) indicative of chronic cholestasis (DAB chromagen, ×100). (C) Destructive cholangitis with periductal granulomatous inflammation (white arrow) and dense lymphoplasmacytic infiltrate with secondary follicle formation (black arrow). Keratin 19 immunostain highlights the inflamed interlobular bile duct (black arrowhead) and absence of canals of Hering in the immediate periportal area (white arrowheads) (DAB chromagen, ×20). (D) Portal-portal biliary type bridging fibrosis (white arrowheads) (Masson trichrome, ×40) PT, portal tract

In early PBC, diagnostic features may be absent and only mild, non-specific mixed portal inflammation with stromal edema may be seen, in addition to mild lymphocytic cholangitis. In these cases, the presence of subtle features of chronic cholestasis, such as periportal keratin 7 (K7)-positive intermediate hepatocytes, may raise the suspicion of a primary chronic cholangiopathy (Fig. 4B) [62]. It has been postulated that one of the earliest signs of PBC could be the loss of the canals of Hering, the most distal branches of the biliary tree, which are highlighted by K19 immunostaining in periportal areas (Fig. 4C) [63].

In progressive PBC, lymphocytic interface hepatitis extending into periportal parenchyma, sometimes including plasmacytes and apoptotic bodies, may be severe, complicating the differential diagnosis from AIH or a PBC-AIH variant. In these cases, when the lobular inflammatory changes are more severe than the interface hepatitis, the latter may be considered as part of the spectrum of PBC, thus avoiding the need for immunosuppression [64].

Ductular proliferation, with associated stromal neutrophilic inflammation at the portal–parenchymal interface, may be conspicuous, and has been correlated with disease stage, fibrosis, response to UDCA and patient survival [65]. Progressive loss of bile ducts, which can be assessed with K7 immunostaining, leads to chronic cholestasis, with hepatocyte rosette formation and features of feathery degeneration, Mallory-Denk bodies and copper or copper-associated protein deposition in periportal/periseptal hepatocytes (cholate stasis). The latter are positive with K7 immunostaining (Fig. 4B), which is a sensitive, but non-specific marker of chronic cholestasis, correlating with bile duct loss and fibrosis [62,66]. Eventually, progressive fibrosis develops (Fig. 4D), leading to cirrhosis.

The classical histological staging systems for PBC, Scheuer’s [67] and Ludwig’s [68] divide the histological injury of PBC into 4 stages, which are easy to apply and reproducible. Stage 1 is characterized by florid duct lesions and portal inflammation without interface activity; in stage 2 there is interface hepatitis, ductular proliferation and periportal fibrosis; in stage 3 bridging necrosis or bridging fibrosis develop; and stage 4 is cirrhosis. A newer system for histological staging and grading necroinflammatory activity in PBC, described by Nakanuma et al, totals the scores for fibrosis, bile duct loss and severity of cholestasis based on deposition of copper-associated protein granules, to provide a final stage, while grading is based on scoring cholangitic and hepatitic features [58,69,70].

PICO 2. How should risk-stratification be performed?

Statements

  • Risk-stratification should be applied in all patients with PBC, both at baseline, and during therapy and follow up, in an attempt to deliver individualized precision medicine (LoE 1, strong statement)

  • In patients with PBC, a younger age at diagnosis (<45-50 years) should be considered as a key prognostic marker, because it is associated with a greater risk of treatment failure, liver transplantation and liver-related death (LoE 2, strong statement)

  • In male patients with PBC, twice-yearly monitoring is suggested, as some studies (though not all) have shown a relation between male sex and worse outcomes (LoE3, weak/open statement)

  • In patients with PBC, the presence of symptoms, but not extrahepatic autoimmunity, may suggest a poorer response to UDCA therapy and a worse outcome (LoE3, weak/open statement)

  • In patients with PBC, the target of treatment should be restoring bilirubin to the normal range, specifically to values <0.6 × ULN, along with normalization of ALP, as this is associated with the lowest risk for death or LT (LoE 3, strong statement)

  • The GLOBE and UK-PBC scores are recommended at 1 year after UDCA treatment for risk stratification of patients with PBC (LoE 2, strong statement)

  • In patients with PBC, the detection of PBC-specific ANA (particularly anti-gp210), but not AMA, should be used to enhance our risk-stratification capabilities, as they are associated with more advanced disease and worse outcomes (LoE 2, strong statement)

  • In non-cirrhotic patients with PBC, determination of IgG serum levels at baseline should be performed, as elevated IgG (without fulfilling the criteria of PBC/AIH variant) is associated with faster disease progression and a greater probability of liver-related death, whereas its normalization after 1 year of treatment is linked to a better prognosis (LoE 3, strong statement)

  • In patients with PBC, liver biopsy may be considered for patient stratification, as it provides useful information about disease progression, prognosis and response to treatment (LoE 3, weak statement)

  • In patients with PBC, transient elastography (TE) should be performed at diagnosis and during follow up to assess fibrosis stage, as liver stiffness measurements (LSM) can stratify patients into low (<8 kPa), medium (8-15 kPa), and high (>15 kPa) risk groups (LoE 2, strong statement)

  • In patients with PBC, the most recent or current LSM>10 kPa is the strongest predictor of a first liver-related event, irrespective of prior biochemical response or LSM trajectory (LoE 2, strong statement)

  • In patients with PBC, the direct measurement of hepatic venous pressure gradient (HVPG) may be considered, as high values of HVPG are associated with poor outcomes—although today, given the availability of many easy noninvasive methods, HVPG cannot be a priority in everyday clinical practice (LoE 3, weak statement)

  • Authorities, including all relevant stakeholders, should be aware of the complexity and importance of high-risk patients with PBC in order to avoid unpredictable and unacceptable treatment barriers (LoE 3, strong statement)

The course of PBC varies considerably among patients. Therefore, risk stratification of the disease by evaluating several factors, including demographic, clinical, laboratory, serological and staging parameters, along with response to treatment, should be applied in all patients with PBC, both at baseline and during therapy, in an attempt to implement individualized precision medicine [71-75] (Table 4). A proposed strategic management algorithm for the stratification of patients with PBC is shown in Fig. 5.

Table 4 Risk-stratification parameters in primary biliary cholangitis

thumblarge
thumblarge

Figure 5 A proposed risk-stratification strategy in primary biliary cholangitis (PBC). After diagnosis, a comprehensive assessment includes demographic factors (i.e., age and sex), clinical and biochemical laboratory findings, liver autoimmune serology (IgG serum levels at baseline and autoantibody profile), abdominal ultrasound and fibrosis stage, usually by liver stiffness measurement using TE. If first assessment reveals signs of cirrhosis or portal hypertension, the patient should be enrolled in surveillance for HCC development and undergo upper gastrointestinal endoscopy to exclude the presence of esophageal varices, respectively. After 6-12 months of therapy with 13-15 mg/kg/day of UDCA, a new risk-stratification procedure, based on a new liver stiffness measurement, and the assessment of biochemical response using the continuous scoring systems (either GLOBE or UK-PBC score), should be performed. In non-responders, add-on treatment to UDCA with a second-line agent—either elafibranor (PPARα/δ agonist) or seladelpar (PPARδ agonist)—is recommended, as these patients present a higher risk of disease progression. If the above newly approved PPARs agonists are not available, fibrates—either bezafibrate (better) or fenofibrate—should be used as off-label treatment EHAD, extrahepatic autoimmune diseases; IgG, immunoglobulin G; US, ultrasound; APRI, AST-to-platelet ratio index; ELF, enhanced liver fibrosis; LSM, liver stiffness measurement; TE, transient elastography; HCC, hepatocellular carcinoma; PH, portal hypertension; UDCA, ursodeoxycholic acid; FUP, follow up

Demographics

Age and sex have long been recognized as factors that influence disease progression and response to treatment in PBC [74,75]. Patients who are older at diagnosis (≥55 years) have a mortality rate similar to that of the general population, whereas in younger patients (<55 years) the mortality rate attributed to liver-related causes is 7 times higher [76]. The latter finding could be due to differences in the response rate to UDCA therapy, which is strongly associated with the patient’s baseline age (from 90% in those older than 70 years to less than 50% in patients younger than 50 years) [77]. Indeed, in a large retrospective study by the Global PBC Study Group (GPBCSG), including 4355 adult patients with PBC, earlier age at diagnosis was linked to a greater risk of treatment failure, LT and death, whereas the highest probability of response to UDCA therapy was observed in patients over the age of 65 [78]. The prognostic importance of age in risk stratification is further highlighted by its inclusion in validated risk models, such as the GLOBE score [79].

Male patients with PBC typically present with more advanced disease, exhibit lower rates of biochemical response to UDCA treatment, and are at greater risk for complications [10,77,80]. In a recent cohort study of 532 cirrhotic patients with PBC, male sex was associated with higher liver-related mortality and a greater incidence of complications such as hepatic decompensation and hepatocellular carcinoma (HCC) [81]. Furthermore, a meta-analysis of 29 studies showed that HCC incidence in male patients with PBC was almost 3-fold higher than in females [82]. However, in a large retrospective study by the GPBCSG [78], male sex was not independently associated with treatment response or transplant-free survival after multivariable analysis. To conclude, even though current data are contradictory, closer monitoring of male patients with PBC seems reasonable.

Emerging data also suggest disparities across ethnic and racial groups. As in other autoimmune diseases, including AIH, black and Hispanic patients with PBC experience significantly higher waitlist mortality and lower rates of LT compared to white patients [83]. Similarly, indigenous Canadian patients with PBC are more commonly diagnosed at advanced disease stages and are at greater risk of complications compared to whites [84]. However, it remains unclear whether these differences reflect genetic variations, along with other external (medications, infections, toxins and personal habits) or internal (microbiome) triggering factors, socioeconomic status, and inequities in health care access [85].

Symptoms and extrahepatic autoimmune liver diseases

As stated above, most patients with PBC nowadays are asymptomatic at the time of diagnosis [9-12]. The most reported symptoms, fatigue and pruritus, substantially impair quality of life [86-88]. The presence of symptoms has been associated with a poorer response to UDCA therapy, faster disease progression and poor overall survival [89-91]. Higher rates of non–liver-related mortality have also been reported among symptomatic patients [92]. However, there is limited evidence that the severity of symptoms consistently reflects disease stage or affects outcomes. Indeed, the limited number of available studies, mostly retrospective, along with the lack of a standardized and globally established approach for assessing symptom severity and progression, limit the prognostic utility of symptoms in clinical practice. Prospective studies using validated assessment tools are needed to better define whether symptoms have any role in risk stratification, in addition to or in comparison with established biochemical and fibrosis-based markers.

PBC is frequently associated with other autoimmune conditions, both hepatic, such as the PBC/AIH variant, and extrahepatic [16,93]. The prevalence of extrahepatic autoimmune diseases in patients with PBC is approximately 30% (more prevalent among women with PBC) [16,94]. However, in contrast to the PBC/AIH variant [22,95], the presence of extrahepatic autoimmune diseases does not seem to significantly impact the clinical presentation or outcomes of PBC [96].

Standard liver biochemistry tests

Biochemical markers have been central to risk stratification in PBC for decades. ALP remains a key prognostic indicator, with lower values associated with lower mortality and longer transplant-free survival [97]. A retrospective meta-analysis by the GPBCSG, involving 4845 patients with PBC, showed that ALP >2 × ULN at baseline and after 1 year of follow up, along with bilirubin levels >1 × ULN after 1 year, had the highest predictive value for the worst outcome (liver-related death and LT) [98]. In addition, another retrospective study by the GPBCSG, including 2129 patients, showed that increased γ-GT levels >3.2 × ULN after 1-year of UDCA treatment were associated with a higher risk of liver-related death and/or LT [99].

Bilirubin and albumin levels at diagnosis have traditionally been used to classify UDCA-treated patients into low-, medium- and high-risk groups [100]. Although abnormalities in bilirubin and albumin are typically observed in the advanced stages of PBC, thus limiting their utility in early prognostication [72,74], recent evidence from a GPBCSG cohort of 2855 patients with PBC showed that the target of treatment should be bilirubin within the normal range, specifically at values <0.6 × ULN, along with normalization of ALP, as this is associated with the lowest risk for death or LT [101].

To conclude, assessment of the biochemical response to UDCA remains a valuable tool for risk evaluation, even in the early stages of PBC [102]. More recently, validated prognostic models such as the GLOBE and UK-PBC scores, which incorporate demographic and biochemical parameters after 1 year of UDCA treatment, have markedly improved risk prediction [79,103]. These models demonstrate a predictive accuracy comparable to established tools, such as the Mayo and model for end-stage liver disease (MELD) scores, for estimating transplant-free survival, and are now recommended for the identification of high-risk patients who may require second-line treatments (see below PICO question 4) [104-106].

Liver autoimmune serology profile

Apart from diagnosis, the clinical significance of AMA in patients with PBC remains obscure. Most studies have failed to show any clinical association between AMA titers and disease progression, and there is no evidence that a decrease of AMA titers during treatment reflects therapeutic response [107]. However, some studies have reported that high AMA titers might predict progressive PBC course and are closely associated with the degree of liver insufficiency: robust data are still pending [40,42,108].

Regarding AMA seronegativity in cases with PBC, 1 study in 71 AMA-negative patients at various disease stages reported shorter survival free of liver-related complications compared with AMA-positive patients, probably due to delays in case detection [109]. However, most studies have reported no significant differences in outcomes. In a large Veterans Health Administration cohort of 521 patients with PBC-related cirrhosis, including 65 AMA-negative cases, the latter cases were younger and more likely to be black, but had similar rates of UDCA response, overall and liver-related mortality, hepatic decompensation and HCC rates compared to AMA-positive patients [46]. Another multicenter retrospective study from Brazil, including 464 patients with PBC, reported similar findings in 80 AMA-negative patients with PBC [110]. It is notable that AMA-negative and AMA-positive PBC exhibit a similar natural history and clinical outcomes, both before and after the onset of cirrhosis [85].

PBC-specific ANA (anti-gp210 and anti-sp100) have been associated with more advanced disease and worse outcome, as attested by biochemical and histological features, lower rates of treatment response to UDCA, a greater risk of liver-related mortality, and poorer LT-free survival, making testing for these autoantibodies in the initial screening and during follow up crucial, irrespective of the presence or absence of AMA [40,41,55,57,107,111-116].

Apart from Raynaud’s phenomenon and systemic sclerosis, anti-centromere antibodies (ACA) have also been detected in patients with PBC (10-30% of patients) who do not suffer from concurrent systemic sclerosis [117]. In Asian populations, ACA were associated with progression of PBC, but the precise mechanism(s) underlying this correlation is still unclear, as are their diagnostic and predictive values for PBC outcome [118].

A recent large PBC cohort study, with a long-term follow up of non-cirrhotic patients, demonstrated that patients who have elevated IgG levels at baseline, but do not fulfil the criteria of PBC/AIH variant, have a worse prognosis, as attested by faster disease progression and a greater probability of liver-related death compared to patients with normal IgG levels [17]. In fact, IgG level >1.5× ULN was the highest risk factor for cirrhosis development (hazard ratio [HR] 9.507, 95% confidence interval [CI] 1.221-74.038; P=0.032) and liver-related death (HR 27.140, 95%CI 3.111-236.783; P=0.003), while normalization of IgG after 1-year of UDCA treatment had a favorable effect on disease outcome [17]. Taken together, these results may indicate the importance of stricter follow up and earlier administration of second-line treatments in this specific subgroup of patients with PBC.

Disease staging

Even though liver biopsy is rarely required for PBC diagnosis, it provides useful information on disease progression, patient prognosis and response to treatment. Therefore, despite its known limitations of invasiveness and sampling variability, liver biopsy in PBC may be used for risk stratification, decision on second-line treatment, and selection of patients for clinical trials. Apart from Scheuer’s and Ludwig’s staging systems [67,68], the new system proposed by Nakanuma et al [70] correlates well with clinical and laboratory features, Mayo scores, MELD score and Child-Pugh score [119], and is superior to the classical systems, as it may stratify patients according to the risk of developing cirrhosis [120]. The predictive value of a more reproducible and simpler histological scoring system for PBC, based on prognostically significant lesions, such as fibrosis, bile duct loss and lymphocytic interface hepatitis, awaits further validation [121]. Histological stage, ductopenia (>50% bile duct loss), deposition of copper-associated protein granules and severity of lymphocytic interface activity are significant predictors of fibrosis progression to cirrhosis and liver failure [122-127].

Regarding noninvasive tools for assessing fibrosis, the AST-to-platelet ratio index (APRI), has shown some value in predicting outcomes of patients with PBC, as it was associated with LT/death [128]. Indeed, an APRI cutoff >0.54 at baseline was predictive of LT/death, and retained statistical significance at 1 year even after adjustment for UDCA response [128]. The Enhanced Liver Fibrosis (ELF) score has shown good performance in detecting fibrosis staging and identifying patients with poor prognosis (ELF≥10 predicts a higher frequency of clinical complications and worse survival) [129].

Considering liver stiffness, TE (FibroScan®) and other elastography techniques are recommended as invaluable noninvasive tools for assessing liver fibrosis, both at diagnosis and during follow up [130-137]. In this context, Cristoferi et al identified that the best LSM to exclude or confirm advanced fibrosis by TE were <6.5 kPa and >11.0 kPa, respectively [138]. A retrospective follow-up study from the GPBCSG, including about 4000 patients with PBC, showed that LSM can stratify patients into low (<8 kPa), medium (8-15kPa), and high (>15 kPa) risk groups, as elevated LSM was independently associated with poor clinical outcomes [136]. In addition, a recent follow-up study from the GPBCSG showed that the most recent or current LSM >10 kPa is the strongest predictor of first liver-related events (hepatic decompensation) in patients with PBC, irrespective of prior biochemical response or LSM trajectory [139].

Specific data on fibrosis assessment in patients with PBC, using 2-dimensional shear-wave elastography or acoustic radiation force impulse, are sparse, but the preliminary findings are promising [131,140-143]. Compared to TE, magnetic resonance elastography (MRE) is not limited by obesity, can analyze larger portions of the liver, and has demonstrated superior accuracy in other liver diseases. A recent large study involving more than 500 patients with PBC showed that MRE can accurately detect advanced fibrosis (cutoff: 4.6 kPa) and can also predict liver-related events [144]. However, it proved inferior to TE in detecting early stages of fibrosis. Given the longer time of acquisition and the high cost, it is reasonable to reserve MRE for overweight or obese patients, and probably for those who need cross-sectional imaging [144].

Direct measurement of portal pressure

The direct measurement of HVPG in patients with PBC has been shown to correlate with the probability of death or LT [145]. Indeed, recent studies have clarified the histological correlations and prevalence of portal hypertension in PBC. This commences in the early stages of the disease, long before the rise in serum bilirubin or the development of cirrhosis, and around 34% of patients with pre-cirrhotic PBC have “high-risk” portal hypertension, defined as HVPG>12 mmHg [146]. In PBC, features of clinically significant portal hypertension (CSPH) may occur early and indicate an increased risk for subsequent decompensation and greater mortality [147].

In addition, reduction of HVPG after 2 years of UDCA therapy may identify a subgroup of patients with good outcomes [145]. A recent study by Warnes et al [148], including 86 patients with PBC who had baseline liver biopsy and HVPG measurement and were followed for 4 decades, showed that measurement of portal pressure was of significant prognostic value.

However, the large-scale use of noninvasive methods which can nowadays assess the presence of portal hypertension indirectly, makes the use of direct HVPG measurement impractical in everyday clinical practice.

PICO 3. What is the appropriate first-line treatment?

Statements

  • All patients with well-established PBC, including those with cirrhosis (either compensated or decompensated), should be treated as soon as possible after diagnosis, in an attempt to prevent disease progression, reduce morbidity and mortality, and improve quality of life (LoE 1, strong statement)

  • UDCA is the first-line treatment of choice, and should be initiated at the time of diagnosis, at a dose of 13-15 mg/kg/day (preferably divided into 2 doses) indefinitely (LoE 1, strong statement)

  • Governmental and private authorities, along with all relevant stakeholders, should ensure that patients have ample access to UDCA, as it improves liver biochemistry, delays histological progression, prolongs transplant-free survival and improves patients’ long-term prognosis (LoE 1, strong statement)

The primary aim of treatment in PBC is to tackle disease progression by improving liver biochemistry, preventing the development of decompensated cirrhosis and its complications, and relieving symptoms. UDCA is the standard first-line therapy, approved by the Food and Drug Administration (FDA) since 1994 for all patients with PBC, and recommended by all major international guidelines [1,30,31,149]. It is a secondary bile acid, biosynthesized through gut microbial transformation of chenodeoxycholic acid within the intestinal microenvironment; it is absorbed in the colon and transferred to the circulating bile acid pool. Several multifaceted mechanisms have been proposed for its therapeutic effect, such as reduction of toxic hydrophobic bile acids, promotion of bile secretion and transformation, protection of biliary epithelial cells from apoptosis or endoplasmic reticulum stress-related autophagy, and manifestation of immunomodulatory and anti-inflammatory effects [150,151]. The optimal dose is 13-15 mg/kg/day, as a single daily dose or divided (usually into 2 doses for best tolerability). Notably, all studies demonstrating improved transplant-free survival have used this recommended dosage regimen [152].

Although PBC progresses slowly, and individual trials are often underpowered to evaluate hard endpoints such as mortality or LT, numerous randomized controlled trials (RCT) have consistently shown improvements in liver biochemistry [153-157]. Extended follow-up studies and pooled analyses have further indicated a survival benefit [154,157,158], although some meta-analyses have questioned the magnitude of these effects, partly in view of the inclusion of short-duration studies or those using suboptimal UDCA dosing [159,160]. Additional meta-analyses and long-term studies suggest that UDCA not only improves biochemical variables [161,162], but also delays histological progression [163,164], prolongs transplant-free survival [165] and improves long-term prognosis [97,166]. It is interesting that UDCA appears to be most effective when initiated early in the course of the disease [155].

More robust evidence comes from an individual patient meta-analysis by the GPBCSG, including 4845 patients, which demonstrated a significant improvement in transplant-free survival with UDCA at 5, 10 and 15 years (90%, 78% and 66%, respectively) compared with untreated patients (79%, 59% and 32%, respectively; P=0.001 for all comparisons) [98]. These observations were further confirmed in a subsequent large international cohort study of 3902 patients, which showed that UDCA treatment was associated with a 54% relative risk reduction in LT or death (HR 0.46, 95%CI 0.40-0.52), with the survival benefit evident across all disease stages and persisting even in patients with an inadequate biochemical response (ALP>1.5 × ULN and/or bilirubin>ULN) [167]. Supporting these findings, an analysis by the GPBCSG of 1615 patients at an early biochemical stage demonstrated that approximately half of the patients progressed to moderate or advanced disease within 5 years, and that progression was strongly associated with a higher risk of clinical events (decompensation, HCC, LT or death). Importantly, treatment with UDCA was associated with a lower risk of disease progression [168]. Taken together, these results highlight the benefit of early therapy initiation and continued surveillance [169]. Therefore, public bodies, such as the Ministry of Health and National Organization for Medicines, and private stakeholders, including patients’ associations, should ensure that patients have ample access to UDCA.

UDCA has an excellent safety profile. It is well tolerated, with only minor adverse effects reported, including mild weight gain, diarrhea, flatulence or transient worsening of pruritus [170,171]. The drug is considered safe during pregnancy and breastfeeding and has been used in intrahepatic cholestasis of pregnancy [172,173] (see below PICO question 9). Despite its favorable safety and tolerability profile, poor adherence has been observed in up to 11% of patients, with younger age and male sex identified as predictors of noncompliance [174].

PICO 4. How and when should response to therapy be defined to improve prognosis in patients with PBC?

Statements

  • All patients with PBC should be evaluated for response to treatment with UDCA at least 12 months post treatment, as an inadequate response (ALP>1.5 × ULN and/or bilirubin>ULN) has been associated with shorter transplant-free survival and worse long-term prognosis (LoE 1, strong statement)

  • Response criteria can also be applied at month 6 of UDCA treatment, as they can accurately predict the long-term outcomes of patients with PBC (LoE 3, weak statement)

  • In patients with PBC, among the various criteria of biochemical response, the continuous models (GLOBE and UK-PBC risk scores) are the most accurate predictive models of long-term prognosis (LoE 2, strong statement)

  • In patients with PBC, normalization of both ALP and total bilirubin, referred to as deep response, should be used as the new standard to assess response to treatment (with either UDCA or second-line therapies), particularly in high-risk patients (LoE 2, strong statement)

About 30-40% of patients with PBC have an inadequate response to UDCA treatment (ALP>1.5 × ULN and/or bilirubin>ULN), while a recent prospective study between 2017 and 2024 from the European Reference Network (ERN)-Rare Liver found an even lower rate (about 15%) [1,30,31,175]. In addition, a minority of patients are unable to tolerate UDCA [1,30,31].

Over the last decades, various criteria and risk scores have been proposed for the assessment of treatment response. They rely mainly on alterations of biochemical indices, including ALP, AST, ALT and total bilirubin levels, using qualitative binary definitions or continuous scoring systems, after either 6 or 12 months of UDCA treatment [1,79,97,103,124,155,166,176]. Several published assessment criteria on the biochemical response to UDCA at various time points after treatment initiation are shown in Table 5 [97,102,124,155,166,176-182]. Among these criteria, a recent systematic review and meta-analysis of UDCA treatment response endpoints showed that Barcelona, Paris-I, Paris-II, Rotterdam, Toronto, and GLOBE and UK-PBC risk scores were the most robustly validated in external populations, with the last 2 continuous models (GLOBE and UK-PBC scores) being the most accurate predictive models [183].

Table 5 Various criteria of assessment of the biochemical response to ursodeoxycholic acid (UDCA) treatment

thumblarge

Even though ALP and total bilirubin levels are the main indicators in assessing response to UDCA among scores, a major inherent problem lies in the lack of standardization related to proposed thresholds and definitions of treatment response. For example, regarding ALP, a reduction to 1.4-3× ULN has been considered as the response criterion in some of these scores (Table 5). All these issues preclude comparisons between studies, and explain the substantial variability among studies in treatment response rates and long-term outcomes, including liver-related death and/or transplantation.

Based on current guidelines, patients are considered eligible for second-line treatments when ALP is >1.5-1.67× ULN or when total bilirubin is >ULN after 12 months of UDCA administration (inadequate response) [1,31]. Those who achieved normal bilirubin but still abnormal ALP (<1.5-1.67× ULN) are considered as having an adequate response after either UDCA or second-line therapies (acceptable clinical treatment endpoint). However, deep response, defined as the normalization of cholestatic indices, and in particular of ALP and total bilirubin, has gained considerable attention recently as a response criterion to UDCA, based on a growing body of evidence, and may be used as a new standard for assessing treatment response—at least in high-risk patients [183,184]. Two large multicenter studies have demonstrated that normalization of ALP among patients who had an adequate response to UDCA (Paris II criteria) was associated with a significant survival benefit compared to those who did not [101,184]. In one of those studies, this was more evident in younger patients (≤62 years) with advanced fibrosis (LSM≥10 kPa) [184]. Concerning bilirubin levels, one of the studies showed ≤0.6× ULN as the threshold for prediction of LT or death [101]. This was further supported by a recent UK cohort study, as any ongoing elevation of ALP after UDCA treatment was associated with some degree of ongoing disease activity, suggesting that if our target is to completely control PBC activity, then normalization of ALP and bilirubin should be considered the ideal clinical treatment endpoint [185].

In this context, recent reports investigating second-line regimens, including elafibranor and seladelpar, have introduced normalization of ALP as a secondary endpoint [186,187]. Future analysis in the context of open-label extension studies could shed light on whether deep response is associated with survival benefit and can be proposed as a new clinical standard.

Several studies have also emphasized the vast significance of a prompt assessment of the response to UDCA, since early identification of an inadequate response allows timely administration of second-line therapies, thus attenuating the risk of disease-related complications and improving long-term clinical outcomes. In line with this, as a portion of patients with PBC remain at risk of disease progression despite UDCA treatment, several studies have suggested that applying the response criteria at month 6 can accurately predict the long-term outcome in these patients [178,188-191]. The biggest study so far from the GLOBAL PBC study group on 1362 patients concluded that an ALP threshold of 1.9× ULN at 6 months of UDCA treatment can predict that around 90% of these patients are not going to respond, according to the POISE criteria [191].

We should consider, though, that general applicability of strict criteria to all patients with PBC would eventually lead to potential overtreatment of some patients, without assessing important individual factors, such as quality of life, disease stage and risk of disease progression. As all currently available studies are retrospective, they bear notable limitations, such as population heterogeneity and substantial missing data. Consequently, these findings should be interpreted with caution and warrant validation in rigorously designed prospective studies.

PICO 5. What is the appropriate management of patients with PBC who do not respond or are intolerant to first-line treatment?

Statements

  • Patients with PBC and an inadequate UDCA response or UDCA intolerance should be considered for second-line treatment (LoE 1, strong statement)

  • In patients with PBC, the use of obeticholic acid (OCA), a farnesoid X receptor (FXR) agonist, should no longer be considered a feasible add-on option for those who do not respond to or are intolerant to UDCA therapy, as the European Medicines Agency (EMA) and the FDA have revoked access to OCA (LoE 2, strong statement)

  • In patients with PBC and an inadequate response or intolerance to UDCA, either add-on therapy or monotherapy with the new peroxisome proliferator-activated receptor (PPAR) agonists (elafibranor 80 mg/day, or seladelpar 10 mg/day) is recommended, though they are not indicated in Child-Pugh C cirrhosis and should be given cautiously in Child-Pugh B (LoE 2, strong statement)

  • Fibrates, and in particular bezafibrate at a dose of 400 mg/day, should be considered as an off-label alternative second-line treatment for patients with PBC and inadequate response to UDCA, if the newer PPAR agonists (elafibranor and seladelpar) are unavailable; however, their use is not recommended in individuals with Child-Pugh C cirrhosis (LoE 2, strong statement)

  • Governmental and private authorities, along with all relevant stakeholders, should ensure that patients have ample access to bezafibrate, or at least fenofibrate, if the new PPAR agonists are not available or not approved by National Health System authorities, as they improve liver biochemistry, and transplant-free survival (LoE 2, strong statement)

Inadequate response or intolerance to first-line treatment (UDCA) indicates a need for the assessment of add-on second-line treatments [1,31]. These agents include the FXR agonist OCA, and PPAR agonists such as bezafibrate, fenofibrate, elafibranor and seladelpar, although recently the EMA and FDA have revoked access to OCA because of concerns about the risks of hepatotoxicity outweighing its benefits.

OCA

FXR is a receptor expressed in several tissues, including the liver and the intestine, which modulates the transcription of several genes, among them those regulating bile acid homeostasis. FXR can reduce the synthesis of bile acids either directly, acting on the hepatocytes, or indirectly in intestinal epithelial cells, where the induction of FGF 19 leads to a reduction of bile acid synthesis by interaction with FGF receptor 4. OCA is a synthetic derivative of chenodeoxycholic acid—the most potent endogenous ligand for FXR—and exhibits around 100-fold greater potency than its precursor [192]. OCA received accelerated approval by the FDA and conditional approval by the EMA, based on the results of the POISE trial [181]. In this phase 3 clinical trial, the combination of UDCA with OCA demonstrated significant biochemical improvements compared to UDCA monotherapy, and suggested a potential for better clinical outcomes [181]. This was further supported by a real-world study from the GPBCSG [193].

However, ΟCA induces pruritus and this has led to the discontinuation of treatment in about 10% of patients on the 10 mg dose [194-197]. Moreover, based on cases of severe liver injury in patients with decompensated cirrhosis receiving OCA, the FDA issued a warning advising against its use in individuals with advanced cirrhosis, as defined by liver decompensation or CSPH [31].

In June 2024, EMA recommended revoking the conditional marketing authorization of OCA (https://www.ema.europa.eu/en/news/ema-recommends-revoking-conditional-marketing-authorisation-ocaliva) after a confirmatory trial (COBALT study), designed to validate the efficacy of OCA in reducing clinical adverse events in patients with advanced PBC, was terminated due to a failure of recruitment [198]. In September 2025, Intercept voluntarily withdrew OCA from the US market following an FDA request. Based on this, even though OCA has been recommended as second-line treatment by both the European Association for the Study of the Liver (EASL) and the American Association for the Study of Liver Diseases (AALSD), it can no longer be considered a feasible option for patients with PBC.

PPAR agonists

PPAR agonists constitute a therapeutic class for the treatment of cholestatic diseases. Their main mechanism of action is modulation of bile acid detoxification via the regulation of genes that control the synthesis, metabolism and transport of biliary constituents [199-201]. PPAR is a ligand-activated transcription factor belonging to the nuclear receptor superfamily. Three different forms have been identified, PPAR-α, PPAR-δ (also referred to as PPAR-β), and PPAR-γ, encoded by different genes and having tissue-specific expression patterns and physiological functions [199-201]. Fenofibrate and pemafibrate bind to PPAR-α, seladelpar to PPARδ, elafibranor is a dual PPARα/δ agonist, saroglitazar a dual PPARα/γ agonist and bezafibrate a pan-PPAR agonist. Elafibranor and seladelpar are newer PPAR agonists that already received accelerated approval in the US and conditional approval in the European Union as effective add-on second-line treatments or alternative monotherapy for UDCA intolerant patients (see below).

Fibrates

Fibrates are broadly used as hypolipidemic agents that enhance phospholipid secretion into bile, decrease the cytotoxicity of hydrophobic bile acids, and inhibit bile acid synthesis via an FXR-independent pathway. Early studies have shown that both bezafibrate and fenofibrate improve liver biochemistry in patients who have previously demonstrated an inadequate response to UDCA [202,203].

The BEZURSO study, a phase 3, placebo-controlled trial, was designed to assess the effect of bezafibrate at a dose of 400 mg daily in patients who showed an inadequate response to UDCA, with primary endpoint the complete normalization of ALT, AST, ALP, total bilirubin, albumin and prothrombin time at 24 months of treatment [204]. It is notable that the primary endpoint was achieved in 31% of patients on bezafibrate vs. 0% in those on placebo. In addition, 67% and 2% of patients on bezafibrate and placebo exhibited normalization of ALP [204].

Furthermore, a multicenter retrospective study from Japan has demonstrated significantly better transplant-free survival in patients on bezafibrate plus UDCA, compared to UDCA alone [205]. Most importantly, bezafibrate administration over a short period (21 days) was also proven to have a beneficial effect on pruritus in an RCT, as its use was associated with a 50% reduction in 55% of patients with moderate-to-severe pruritus [206].

Robust data on the effect of fenofibrate on transplant-free survival are lacking, although a recent systematic review and meta-analysis, as well as some small retrospective studies, showed that fenofibrate at 100-200 mg/day was effective as adjunctive therapy in PBC [203,207,208].

In terms of safety, the use of fibrates has been associated with myalgias and abdominal pain in around one fifth of patients, and less often with rhabdomyolysis, frequently leading to discontinuation of these agents [203,204,207]. In addition, fibrates have been associated with elevated serum creatinine levels, which are usually reversible and mainly attributed to increase creatinine production. Apart from mild elevations of transaminases, severe cases of acute or chronic liver injury have been reported in patients with cirrhosis. As a result, fibrates are discouraged in patients with decompensated cirrhosis [31].

Overall, and as endorsed both by the EASL and AASLD, fibrates should be recommended as off-label second-line treatment in PBC [1,31]. Unfortunately, bezafibrate is currently not commercially available in many European countries, including Greece, or in the US.

Elafibranor

Elafibranor is a dual PPARα and PPARδ agonist. An initial phase 2 randomized, double-blind, placebo-controlled study, evaluating 12 weeks of elafibranor in patients with an inadequate response to UDCA treatment, demonstrated a significant decline in ALP, along with other inflammatory markers, compared to placebo [209]. A subsequent phase 3 trial, evaluating elafibranor at a dose of 80 mg/day, showed a significantly higher adequate biochemical response rate, as defined by ALP levels <1.67 × ULN, with a decrease of 15% or more from baseline, and a normal total bilirubin level compared to placebo at month 12 (51% vs. 4%; P<0.001) as well as a significantly higher deep response rate (15.0% vs. 0%; P=0.002), as attested by normalization of ALP at the same timepoint [186]. The frequency of any adverse events that emerged during the treatment period was comparable between the 2 groups (96% vs. 91%). However, some adverse events of mild to moderate severity, such as abdominal pain, diarrhea, nausea and vomiting, were more frequent (11% vs. 6%, 11% vs. 9%, 11% vs. 6% and 11% vs. 2%, respectively) in the elafibranor group compared to placebo—although the differences did not reach statistical significance [186]. Up to the present, the use of elafibranor in patients with PBC and Child-Pugh C cirrhosis is not recommended, while it should be used with caution in those with Child-Pugh B cirrhosis.

Seladelpar

Seladelpar is a potent, selective PPARδ agonist. PPARδ is broadly expressed across hepatic cells that contribute to the pathogenesis of PBC. One phase 2 and 2 phase 3 clinical trials have verified the efficacy and safety of seladelpar [187,210,211]. More specifically, in the RESPONSE trial, seladelpar at a dose of 10 mg/day demonstrated a significantly higher adequate biochemical response rate, as defined by the same response criteria stated above for elafibranor, compared to placebo at month 12 (61.7% vs. 20.0%; P<0.001) as well as significantly higher deep response rates, as attested by normalization of ALP (25.0% vs. 0%; P<0.001) at the same timepoint. As in the elafibranor studies, the frequency of any adverse event that emerged during the treatment period was comparable between the 2 groups (86.7% vs. 84.6%). However, some adverse events of mild to moderate severity, such as headache, abdominal pain, nausea and abdominal distention, were more frequent (7.8% vs. 3.1%, 7% vs. 1.5%, 6.2% vs. 4.6% and 6.3% vs. 3.1%, respectively) in the seladelpar group compared to placebo—although the differences did not reach statistical significance [187].

An interim analysis from 337 patients on seladelpar up to 2 years (ASSURE study) demonstrated a durable effect on biochemical markers of PBC, along with sustained improvement of pruritus and sustained safety, similar to the results of the RESPONSE trial [212]. Up to the present, the use of seladelpar in patients with PBC and Child-Pugh C cirrhosis is not recommended, while it should be used with caution in those with Child-Pugh B cirrhosis.

Based on their biochemical efficacy, both elafibranor and seladelpar should be considered as second-line treatment in patients with an inadequate response or intolerance to UDCA. However, long-term data are needed to prove their efficacy in terms of key clinical outcomes, including transplant-free survival.

As several new regimens are becoming available, the selection of second-line drugs should be guided by additional individual factors, including available clinical experience, predominant symptoms, disease stage and cost-effectiveness.

PICO 6. What monitoring strategies should be implemented during follow up of patients with PBC?

  • In patients with PBC who have responded to UDCA treatment, periodic yearly reassessment should be performed indefinitely, as a loss of response at any time during monitoring is associated with worse outcomes (LoE 3, strong statement)

  • In patients with PBC, TE should be performed regularly (every 1-2 years) during follow up, according to the patients’ response and fibrosis status (LoE 1, strong statement)

  • In patients with PBC, extrahepatic autoimmune-associated diseases should be checked for in the appropriate setting during long-term follow up, through patient interview and laboratory testing when available (LoE 3, strong statement)

  • In patients with PBC, the Baveno VII guidelines should be applied for the screening and management of CSPH (LoE 3, strong statement)

  • In patients with PBC and cirrhosis, surveillance for HCC every 6 months using abdominal ultrasound, with or without alpha-fetoprotein (a-FP) serum levels, is recommended (LoE 1, strong statement)

  • In patients with PBC, the lipid profile should be assessed at baseline and repeated periodically. Lipid-lowering treatment should be considered only in those with concomitant cardiovascular risk factors (LoE 3, strong statement)

  • In patients with PBC, bone mineral density testing using dual-energy X-ray absorptiometry (DEXA) is recommended at baseline and every 1-5 years, according to the patients’ risk profile (LoE 2, strong statement)

  • In patients with PBC, bisphosphonates are recommended for those with increased fracture risk, while prophylactic administration of calcium and vitamin D supplementation is advised to reduce the risk of osteopenia/osteoporosis and bone fractures (LoE 2, strong statement)

Apart from the prognostic scores that assess the early response to treatment and outcomes (6-12 months post UDCA administration; see PICO question 4), evaluation of multiple hepatic biomarkers (including AST, ALT, ALP and total bilirubin) and fibrosis scores (mainly APRI and FIB-4) are used for assessing clinical outcomes during follow up [184,213,214]. It is now clear that maintenance of the response over time is of paramount importance, as its loss at any time during follow up is associated with worse outcomes; thus, periodic reassessment of patients with PBC seems essential during follow up to optimize the treatment response, independently of an early biochemical response [215]. In addition, both baseline and on-course progression of TE values seem to have an important role in the long-term prognosis of patients with PBC [134,136]. In one of the largest retrospective studies performed, comprising 3078 patients, every increase of TE values during follow up showed good correlation with serious clinical events [137].

Regarding the timing of follow-up visits, a twice-yearly follow up seems logical for patients with an intermediate/high risk for disease progression (including those with younger age at presentation and advanced fibrosis) [1], while follow up of those with established cirrhosis, especially when decompensated, should be more frequent, and individualized according to symptoms. On the other hand, patients with a longstanding deep response and low fibrosis in consecutive TE measurements could be followed yearly. TE should be performed periodically during follow up; yearly or every 2 years seems appropriate for patients at medium/high risk for fibrosis progression (including those with worsening of TE, or TE values at baseline more than 8 kPa) [136]; longer intervals should be considered for non-cirrhotic patients with a biochemical response.

Monitoring associated autoimmune phenomena

As extrahepatic autoimmune diseases and syndromes—in particular Hashimoto’s thyroiditis, Raynaud syndrome and sicca/Sjögren’s syndrome—are quite often seen in patients with PBC, physicians should assess patients for any relevant symptom during each visit [1,96,216].

Apart from extra-hepatic autoimmune diseases, around 5-10% of all patients with PBC suffer from PBC/AIH variant syndrome. However, in this consensus we are only addressing the diagnosis and the key aspects of management of patients with PBC; otherwise, we refer readers to the recent guidelines for AIH published by the Hellenic Association for the Study of the Liver [22] and those of the EASL [95].

Identification and management of portal hypertension and liver failure

Evidence suggests that CSPH is likely in PBC before the development of cirrhosis, and is associated with more advanced histological lesions, including the formation of fibrous septa and nodular regenerative hyperplasia [146,217]. These structural changes negatively impact prognosis. Two retrospective studies demonstrated that patients with pre-cirrhotic PBC and CSPH had significantly lower transplantation-free survival rates compared to those without CSPH [147,218]. Moreover, clinical manifestations of CSPH, such as varices, have been linked to high-risk features, including male sex, hypoalbuminemia, and hyperbilirubinemia [219].

HVPG measurement is considered the gold-standard method for diagnosing CSPH in chronic liver diseases. However, it may underestimate portal pressure in PBC because of the pre-sinusoidal component [220,221]. Therefore, noninvasive tests play a critical role in identifying and monitoring CSPH in this population, although their prospective validation is still pending. In a large retrospective PBC cohort, patients with LSM<15 kPa and platelets≥150 G/L had a zero 3-year risk of decompensation, LT or liver-related death. In contrast, levels of LSM≥15 kPa or platelets<150 G/L were correlated with a greater incidence of complications during 2 years of follow up [147].

Long-term follow up of patients with PBC should include regular assessment of liver function tests, including bilirubin, albumin, prothrombin time and platelet count. Additional markers, such as AST, total cholesterol, ALP and neutrophil-to-lymphocyte ratio, have been proposed as predictors of liver failure in PBC, and might have a potential value for risk-stratification (see above) [222,223]. In cases of acute liver failure or decompensation, complications such as ascites, hepatic encephalopathy and coagulopathy should be managed according to current international guidelines [224].

Screening for HCC

HCC is associated with a poor prognosis and higher mortality rates in patients with PBC [225]. Several studies have consistently shown a higher incidence of HCC in this population compared to the general population [226,227]. A systematic review and meta-analysis of 29 studies reported a pooled incidence of 4.17 cases per 1000 patient-years, which increased substantially to 15.7 per 1000 patient-years in patients with cirrhosis [82]. While cirrhosis represents the major risk factor for HCC development, additional determinants have also been suggested, including male sex, alcohol consumption and inadequate biochemical response to therapy [228,229]. A recent nationwide cohort study with external validation confirmed older age and male sex as significant risk factors [230]. These findings emphasize the importance of risk-stratification of HCC in patients with PBC and suggest that certain subgroups may warrant more intensive screening [230,231].

Early detection of HCC has been associated with better survival in patients with cirrhosis [232]. Accordingly, all cirrhotic patients with PBC should be screened using ultrasound, with or without a-FP serum levels, every 6 months, in line with current EASL and AASLD guidelines—except when curative treatment is not feasible [233,234]. Although current evidence does not support routine surveillance in patients without cirrhosis, an individualized approach may be justified in high-risk subgroups, such as older males, or those with heavy alcohol consumption [235].

Monitoring for complications

Dyslipidemia

Dyslipidemia is highly prevalent in patients with PBC, and most patients are affected. The lipid profile is usually characterized by high total cholesterol (TC) and low-density lipoprotein cholesterol, frequently influenced by the presence of lipoprotein X, while high-density lipoprotein cholesterol is also markedly elevated, particularly in the early stages of the disease. This pattern appears to exert a protective effect on cardiovascular risk in PBC. Several studies have demonstrated that cardiovascular risk is not elevated in patients with PBC compared to the general population [236,237]. However, in the presence of additional cardiovascular risk factors, such as arterial hypertension or diabetes mellitus, treatment decisions should follow international guidelines and involve multidisciplinary consultation with other specialties [238].

Although not clearly associated with increased cardiovascular risk in PBC, recent studies suggest that hyperlipidemia may represent an important prognostic factor for liver-related outcomes. In a small study of 46 patients with PBC, high levels of acylcarnitine and free fatty acids were positively correlated with increased liver stiffness and fibrosis markers, indicating that markers of disturbed lipid metabolism could serve as predictors of fibrosis severity [239]. Another study evaluated the prognostic value of baseline TC in 531 non-cirrhotic patients with PBC. The predictive accuracy of TC for liver-related outcomes was comparable to that of the Globe Score, and the combination of these 2 markers provided an enhanced prognostic performance [15]. These findings highlight a possible dual role for lipid metabolism abnormalities in PBC, both as markers of metabolic alterations and as prognostic indicators of disease progression, but further validation is needed.

Fat-soluble vitamin malabsorption

Impaired bile acid-mediated metabolism of fat-soluble vitamins can result in deficiencies in patients with PBC, particularly in those with advanced cholestasis and jaundice. Vitamin A deficiency appears to be more prevalent, as deficiencies of vitamins D, E and K are less common [240]. From a monitoring perspective, vitamin D requires particular attention, as reduced vitamin D levels were associated with advanced disease stage, suggesting a link with disease progression [241]. Another study demonstrated that reduced vitamin D levels were correlated with inadequate response to UDCA, cirrhosis development and liver-related mortality [242]. These data support the hypothesis that vitamin D is not only a nutritional factor, but also a potential marker of disease severity. Therefore, assessment of vitamin D levels at baseline and during follow up seems valuable.

In patients with advanced cholestasis, levels of vitamin A, K and E should also be evaluated, to prevent complications such as night blindness, coagulopathy and neuromuscular disorders. When deficiencies are detected, water-soluble or parenteral supplementation is recommended [31].

Bone disease and osteoporosis

Musculoskeletal manifestations, particularly bone pain and arthralgias, are frequent in PBC. The disease is associated with an increased risk of osteopenia/osteoporosis and fractures, particularly in post-menopausal women [243,244]. Contributing risk factors include chronic cholestasis, advanced age, smoking and alcohol consumption, physical inactivity and estrogen deficiency [244,245]. Treatment with UDCA does not appear to reduce fracture risk or improve bone mineral density, and data on the efficacy of newer agents are currently lacking. Bone mineral density testing using DEXA should be performed at baseline and repeated every 1-5 years, depending on the individual risk profile. Preventive measures, including adequate calcium and vitamin D intake, should be recommended [246].

There is no consensus regarding the optimal threshold to start treatment for osteoporosis in PBC. A femoral T-score <-1.5 has been previously suggested [243,244]. However, these scores already indicate an elevated fracture risk, supporting earlier treatment consideration in this group.

Bisphosphonates are the first-line therapy for osteoporosis in PBC, despite the lack of randomized trials specifically in this population. Among these, alendronate appears to be the most effective, although poor compliance with treatment has been reported [247,248]. As bisphosphonates may cause gastrointestinal adverse events, such as gastritis and esophagitis, they should be used with caution in patients with esophageal varices [249]. In such cases, intravenous administration may represent a safer alternative. Hormone replacement therapy may be considered in women with a high risk of fracture and concurrent hypogonadism, but their use is limited by severe side-effects [250,251]. Persistent musculoskeletal symptoms may reflect coexisting autoimmune rheumatic diseases, and referral to a rheumatologist is recommended in such cases.

Although observational studies support the long-term safety and efficacy of bisphosphonates in reducing fracture risk in PBC, comparative trials in this population are needed to provide high-level evidence and guide treatment strategies [245].

PICO 7. How should symptoms and extrahepatic manifestations of PBC be managed?

  • In patients with PBC, pruritus should be managed with a stepwise approach, beginning with conservative measures, and followed by cholestyramine as first-line treatment and rifampicin as second-line treatment (LoE 2, strong statement)

  • If available, linerixibat, an ileal bile acid transporter (IBAT) inhibitor, should be used at a dosage of 40 mg twice daily in patients with PBC and refractory pruritus (LoE 2, strong statement)

  • In patients with PBC and refractory pruritus, other available IBAT inhibitors may be used, only on an individualized basis, when other treatments have failed (LoE 3, weak/open statement)

  • In patients with PBC, seladelpar, a selective PPAR-δ agonist, may be considered as second-line agent in cases with inadequate response to UDCA treatment and moderate-to-severe pruritus (LoE 2, weak statement)

  • In patients with PBC, alternative or contributing causes of fatigue, most notably anemia, hypothyroidism and depression, should be identified and appropriately treated (LoE 2, strong statement)

  • In patients with PBC, non-pharmacological treatment modalities should be offered for the management of fatigue, including coping strategies and physical activities (LoE 2, strong statement)

  • In patients with PBC, clinicians should be aware of cognitive symptoms associated with the disease. Optimal management should include patient education, supportive care, and treatment of comorbidities (LoE 5, strong statement)

  • In patients with PBC, the practical 3-step (ASK-MEASURE-TREAT) algorithm proposed by the European Reference Network (ERN) RARE-LIVER network can help in recognizing the disease-associated symptoms (LoE 3, weak statement)

  • In patients with PBC and concurrent sicca symptoms or Raynaud’s phenomenon, appropriate management is recommended, with general conservative measures and specialist referral when appropriate (LoE 4, strong statement)

Several symptoms, including pruritus, fatigue and cognitive dysfunction, as well as extrahepatic autoimmune diseases and/or syndromes (Table 1), may appear in patients with PBC, even before biochemical abnormalities, and are often poorly responsive to UDCA treatment [1,252]. Therefore, systematic screening, individualized management and sometimes collaboration with other medical specialties are necessary for effective care of patients.

Pruritus

Pruritus is one of the most common and burdensome symptoms of PBC, affecting up to 80% of patients during the disease course [253]. It may occur at any age and even months to years prior to PBC diagnosis, without having any direct correlation with liver biochemistry values, duration of the disease or hepatic fibrosis stage [88,254,255], even though higher ALP levels and more advanced disease have been correlated with pruritus severity [86,256]. The pathophysiology of itching seems to be multifactorial, with several different pathways and substances being involved, including bile acids, autotaxin, histamine, opioidergic tone, serotonin and substance P [257]. The impact on health-related quality of life (HRQoL) can be significant, including sleep disruption, psychological distress and subsequent social isolation (see below PICO question 8).

A stepwise individualized approach for pruritus management appears to offer benefit to patients with PBC [1,31] (Fig. 6). Psychological support is important to avoid mental distress in cases of severe pruritus. Initial conservative measures, such as lifestyle modifications and over-the-counter medications, can improve the itch sensation. Sleeping on soft mattresses, cool showering in the morning, use of mild soaps and detergents, and avoidance of irritating fabrics are advised [258]. Moisturizers containing capsaicin, menthol or polidocanol may provide additional benefit [259-261].

thumblarge

Figure 6 A proposed algorithm for the management of pruritus in patients with primary biliary cholangitis. Life-style modifications and psychological support should be the initial approach. Then antihistamines can be tried, though their efficacy is limited in cholestatic pruritus. Cholestyramine and rifampicin as first- or second-line treatments should be used, but their tolerance is moderate and hepatotoxicity from rifampicin is a serious problem. Naltrexone and selective serotonin reuptake inhibitors may be effective in selective patients, but tolerance and SE limit their use. If available, linerixibat, an IBAT inhibitor, has strong evidence-based data for improvement of pruritus. In cases with inadequate response to UDCA and moderate to severe pruritus, PPAR agonists (bezafibrate and seladelpar) can be used, as they have shown pruritus improvement in randomized trials. In cases of intractable pruritus despite optimal medical management, liver transplantation should be considered as the last resort SE, side-effects; RCT, randomized-controlled trials; IBAT, ileal bile acid transporter; UDCA, ursodeoxycholic acid; PPAR, peroxisome proliferator-activated receptor

If lifestyle interventions and over-the-counter agents fail to sufficiently control pruritus, pharmacological therapy should be initiated (Table 6). Antihistamines may alleviate itching, but their effect in cholestatic pruritus is not yet proven [262]. Ion-exchange resins, such as cholestyramine, remain the first-line pharmacological option for PBC-related pruritus. However, supporting evidence is limited, with few RCTs and no clear benefit over placebo [263-265]. In addition, gastrointestinal adverse events, including diarrhea and vomiting, are frequently reported [265,266].

Table 6 Available medications for treatment of cholestatic pruritus

thumblarge

Rifampicin has consistently shown efficacy in reducing pruritus in RCTs and is widely used as a second-line agent, but requires close monitoring during treatment in view of the severe risk of hepatotoxicity [267]. Oral opioid antagonists, particularly naltrexone, have shown superiority over placebo in cholestatic pruritus treatment, but their use is limited by withdrawal-like symptoms, which compromise long-term tolerance [268-270].

Selective serotonin reuptake inhibitors, such as sertraline, may also be beneficial, especially in cases with concomitant depression or anxiety disorders [271,272]. Gabapentin has been tested based on its efficacy in other pruritic conditions, but data from a single RCT in PBC failed to demonstrate any benefit over placebo [273].

In recent years, novel agents have emerged as promising options for the treatment of cholestatic pruritus. IBAT inhibitors, such as maralixibat and odevixibat, have been approved for pediatric cholestatic conditions, such as Alagille syndrome and progressive familial intrahepatic cholestasis, and are under investigation in PBC [274,275]. In a phase 2 RCT (GLIMMER), linerixibat significantly improved pruritus and quality of life measurements in patients with PBC, although gastrointestinal adverse events were often reported [276]. Similar favorable results of linerixibat (40 mg twice daily) in patients with PBC and cholestatic pruritus, have been reported recently in a randomized, multicenter, double-blind, placebo-controlled, phase 3 trial (GLISTEN) supporting its potential to address a major symptom of PBC [277]. Another ongoing phase 3 trial (VANTAGE), investigating volixibat, is expected to shed additional light on the efficacy of IBAT inhibitors in reducing pruritus and improving patient-reported outcomes in PBC.

Non-conventional approaches, including ultraviolet phototherapy, plasmapheresis and nasobiliary drainage, have demonstrated symptomatic benefit in case series and uncontrolled studies. However, the lack of RCTs and high rate of adverse events limits their use to patients unresponsive to standard pharmacological therapy [278-280]. In cases of intractable pruritus despite optimal medical management, LT should be considered as a last resort (see below PICO question 10) [281].

PPAR agonists have also been shown to provide benefits in symptom control [282]. In this context, fibrates, mainly bezafibrate, have demonstrated antipruritic effects in several studies, often as secondary endpoints [204,206]. The newly approved PPAR agonists elafibranor and seladelpar have also demonstrated beneficial effects on pruritus as a secondary endpoint in phase 3 clinical trials. Seladelpar achieved a significant reduction in pruritus, measured with numeric rating scale (NRS) scores, compared to placebo in the ENHANCE and RESPONSE trials, with sustained benefit in pooled analyses [187,211]. Accordingly, seladelpar may be considered in cases with inadequate response to treatment with UDCA and moderate-to-severe pruritus. Elafibranor showed less consistent results, with no significant reduction in Worst Itch NRS (WI-NRS) scores in the ELATIVE trial [186].

Overall, these findings underscore the emerging role of IBAT inhibitors and PPAR agonists in pruritus management, and support a stratified approach based on efficacy, safety and patient tolerability. Nevertheless, as challenges in the management of pruritus in patients with PBC are ongoing, further evidence is needed to define the role of emerging therapeutic agents in its treatment.

Fatigue

Fatigue is the most reported symptom in PBC, affecting up to 80% of patients, with 40% reporting severe fatigue [1,31,283-285]. Overall, patients frequently refer to it as ”lack of energy”. It is actually, a complex phenomenon involving both central fatigue, perceived as reduced mental energy or motivation, and peripheral fatigue, often described as physical weakness and effort intolerance [283,284]. It must be noted that fatigue is not associated with biochemical markers, disease stage or response to UDCA treatment, as it is often present in patients with well-controlled disease [77,90]. However, fatigue severity is a predictive factor for liver-related mortality and post-LT outcome, as it persists in a significant proportion of patients with PBC after LT [286,287].

Fatigue frequently coexists with pruritus and sleep disturbances, including delayed sleep onset and early awakening, leading to depression and severe impairment of quality of life [284,288,289]. Mechanisms underlying fatigue in PBC remain incompletely understood, although autonomic and mitochondrial dysfunction have been suggested as implicating mediators in muscle “deficit” in PBC [290]. However, several comorbidities and medications may contribute to its severity (Table 7). In this context, clinicians should identify and address concomitant conditions that may exacerbate fatigue, such as anemia, hypothyroidism, celiac disease and depression, and other conditions affecting patients of this age group, such as heart failure, chronic kidney disease and diabetes type II (Table 7) [1].

Table 7 Possible contributors to fatigue in PBC

thumblarge

In addition, non-pharmacological strategies, such as psychological interventions and efforts to prevent social isolation, individualized physical activity programs and energy conservation techniques have shown promising results. In a recent trial of 33 participants with clinically significant fatigue, calculated as a score over 33 in the PBC-40 fatigue domain, an individualized, 12-week home-based exercise regimen led to significant improvement in both fatigue and cognitive function [291].

Currently, no medications are specifically approved for fatigue in PBC. Golexanolone, a GABA-A receptor modulating antagonist, has shown preliminary efficacy in ameliorating central fatigue symptoms in rats with bile duct ligation and is under clinical evaluation [292]. Among agents used for PBC, some have demonstrated benefits in reducing fatigue severity as secondary outcomes. In an RCT examining 100 patients with PBC who had an inadequate response to UDCA, bezafibrate reduced fatigue severity, although objective quantification was lacking [204].

Data from studies on novel PPAR agonists are too inconsistent to allow safe conclusions. In a phase 2 open-label trial, seladelpar achieved sustained fatigue reduction over 12 months, as measured by the 5D-itch scale and PBC-40 [293]. Subsequent studies, though, failed to demonstrate a beneficial effect on fatigue [187,210]. Results from the phase 3 ELATIVE trial demonstrated no fatigue improvement with elafibranor compared to placebo, based on PBC-40 [186], although most recent data from the same ongoing trial suggest an improvement of fatigue in patients with moderate-to-severe fatigue [294]. Taken together, none of the approved therapies have been proven to have a clear beneficial effect on fatigue in patients with PBC; therefore, results from the ongoing studies are eagerly awaited.

A recent position paper from the ERN RARE-LIVER network on fatigue in PBC proposed the introduction of a practical 3-step ASK-MEASURE-TREAT algorithm that can be applied in all patients with PBC for the appropriate investigation and management of fatigue in patients with PBC (Table 8) [295].

Table 8 The ASK-MEASURE-TREAT algorithm for the assessment and management of fatigue in patients with primary biliary cholangitis (PBC) (adapted from [295])

thumblarge

Cognitive dysfunction

Cognitive impairment, often reported as “brain fog”, is an increasingly recognized extrahepatic manifestation of PBC. It encompasses symptoms that include impaired concentration, forgetfulness, slowed thinking and dizziness, reported in up to 80% of patients. These symptoms frequently coexist with fatigue, contributing to impaired HRQoL [252].

Despite its high prevalence, the pathophysiology of brain fog in PBC remains poorly defined, and no approved pharmacological therapies are currently available. Golexanolone has shown promising results in reducing cognitive dysfunction in preclinical cholestasis models [292]. Preliminary results from a phase 2 clinical trial are currently awaited.

As there is currently a lack of approved therapies, management is mainly supportive. Clinician recognition and validation of symptom severity is an important first step in improving patient experience and engagement. Addressing modifiable contributing factors, such as depression and sleep deprivation, can reduce symptom severity. Behavioral interventions, including structured daily routines, use of memory aids and referral for cognitive behavioral therapies, may be appropriate in selected cases [252].

Sicca syndrome

As autoimmune epithelitis, PBC is frequently associated with Sjögren-like sicca manifestations [3,19,296]. Ocular and oral dryness are commonly reported, while vaginal dryness and dyspareunia may also occur in women (dry gland syndrome) [296]. These symptoms are attributed to shared immunopathogenic mechanisms, influenced by both environmental, genetic and epigenetic factors [20,297].

In the absence of RCTs systematically addressing sicca symptoms in PBC, management strategies are guided by expert consensus and are mainly based on data from treatment of primary Sjögren syndrome. Collaboration with other specialties may be required to optimize care, as about half of patients with Sjögren/sicca syndrome may have systemic symptoms, which can potentially affect any organ or system [298]. In these cases, serologic screening for specific autoantibodies and referral to rheumatology should be considered [3,296,298].

Ocular dryness can be initially managed with artificial tears. Muscarinic receptor agonists such as pilocarpine (5-10 mg/day) can be considered as second-line therapy, although their use may be limited by possible anticholinergic side-effects. In patients with refractory symptoms, an ophthalmologist should be consulted about the use of advanced therapies such as topical cyclosporine A [299,300]. Preventative dental hygiene is required in patients with oral dryness, to reduce the risk of tooth decay and oral candidiasis. Symptomatic relief can be achieved with use of saliva substitutes, frequent water sipping, sugar-free chewing gum and muscarinic agonists [300,301]. For vulvovaginal dryness, local estrogen therapy or lubricants can be applied in collaboration with gynecology [302].

Raynaud’s syndrome

Approximately 20-25% of patients with PBC may suffer from Raynaud’s syndrome [1,31]. Therefore, patients should be asked specifically about the presence of classical symptoms of their extremities, characterized by white appearance first, then blue and finally red, which is often accompanied by pain and/or burning and tingling. Simple practical measures, such as avoiding exposure to a cold environment, wearing gloves and using hand warmers, usually help in cases with mild symptoms. If there is no response to conservative measures, calcium channel blockers and other vasodilators should be considered, especially during the winter period. In case again of no response, specific rheumatological advice should be considered, as the risk of digital ulceration can be serious.

In patients with PBC and concurrent Raynaud’s phenomenon, the presence of CREST (Calcinosis, Raynaud’s phenomenon, Esophageal dysmotility, Sclerodactyly, Telangiectasia) syndrome and/or systemic sclerosis should be investigated [1,31,303,304]. In these cases, investigation by baseline transthoracic echocardiography to assess for underlying pulmonary hypertension, and rheumatology tests, which among others should include nailfold capillaroscopy, seem reasonable [303].

PICO 8. How should HRQoL be assessed in patients with PBC?

Statements

  • In patients with PBC, the PBC-40 score and its shorter versions (PBC-27 and PBC-10), the 5D-itch, as well as a visual analog scale (VAS) or NRS should be considered for the assessment of patients’ HRQoL, even though their application under real-life conditions is rather difficult (LoE2, strong statement)

  • Among these scores, only PBC-40 has been validated in Greek patients with PBC, indicating its reliability as a tool of HRQoL assessment in these patients (LoE 2, strong statement)

  • The presence of pruritus and fatigue should be assessed in all patients with PBC at the time of diagnosis and on all follow-up visits, as they are the most important determinants that affect HRQoL in patients with PBC (LoE2, strong statement)

In recent decades, there has been increasing recognition that HRQoL is frequently impacted in a substantial proportion of patients with PBC [305,306]. Fatigue, pruritus, depression, sleep disturbances, social, cognitive and emotional dysfunction may affect patients’ wellbeing and daily activity independently of disease stage [305,306]. It should be noted that patients with PBC are reported to have the most significantly impacted HRQoL among those with autoimmune liver disease [307].

In a systematic review, covering studies between 1990 and 2019, Kim et al reported that instruments to assess patient-reported outcomes were used only 50-60% of the time [308]. This showcases that, until recently, most of the studies did not focus on patients’ priorities and perspectives. Kim et al further underlined several important methodological restrictions, including the predominant use of VAS and NRS that are not disease specific [308]. Furthermore, the substantial heterogeneity in the measurement instruments applied across studies substantially hinders any comparison between them [308].

Ideally, a standardization of assessment tools should be imposed to ensure comprehensive evaluation of the various dimensions of HRQoL in patients with PBC, to ensure research purposes and to enable comparisons between studies. In this regard, it is essential to use disease-specific tools for symptom assessment. PBC-40 is the only disease-specific questionnaire developed and validated for self-completion by patients with PBC [309]. Translated versions have been validated in several PBC cohorts, including 2 Greek cohorts, and were proven to be highly effective at quantifying PBC symptoms, although PBC-40 scores were lower in Greek patients with PBC than those reported in studies from Northern/Central Europe and Canada [285,305,306,310,311]. As PBC-40 is time-consuming and may be difficult to perform on each visit, shorter versions have been developed, like PBC-27 and PBC-10 [312,313].

The SF-36, a widely utilized instrument for assessing HRQoL, has demonstrated a significant correlation between its individual domains and those of PBC-40 in several cohorts of PBC, including cohorts of Greek patients, thereby reinforcing the convergent validity of PBC-40 [285,310,314].

From the patient’s standpoint, optimizing overall health is linked to effective management of symptoms. With the advent of new treatment options, we are heading towards a more patient-centered approach that would also target patients’ symptoms.

Pruritus assessment

Severe pruritus can be an extremely debilitating symptom, leading to severe sleep deprivation and depression, even with suicidal ideations, which result in considerable impairment of HRQoL [87,88,255,289]. Despite being common among patients with PBC, pruritus remains heavily underdiagnosed and underreported in everyday practice [86,256,315]. This is mainly attributed to patients’ reluctance to report symptoms and clinicians’ underestimation of its severity [86,316].

Several tools, both general and PBC-specific, are being used for evaluating pruritus in patients with PBC (Supplementary Tables 1, 2). The itch domain of PBC-40 consists of 3 questions framed as statements [309]. A score ≥7 is regarded as clinically significant, considerably affecting quality of life [256].

Furthermore, itch-specific, fast and easy-to-perform scales like the VAS and NRS, including the WI-NRS, have been used with high test–retest reliability and responsiveness to clinical changes [317-319]. Another questionnaire, the 5D-itch scale, a validated 8-item patient-reported outcome scale, evaluating the degree, duration, direction, disability and distribution of pruritus, seems to be responsive to clinical changes, and correlates well with other patient-reported outcome measures, including the PBC-40 and WI-NRS [88,320,321].

Fatigue assessment

Over the years several instruments have been used for the assessment of fatigue in various medical conditions, including unidimensional (Functional Assessment of Chronic Illness Therapy-Fatigue, Brief Fatigue Inventory, Fatigue Severity Scale [FSS], Numerical Rating Scale-Fatigue, and VAS-Fatigue) and multidimensional (Fatigue Impact Scale [FIS], Checklist Individual Strength, Chalder Fatigue Scale, Multidimensional Assessment of Fatigue, Multidimensional Fatigue Inventory Scale, and Piper Fatigue Scale) scales [322]. Among these, FSS and FIS are the only tools that have been applied to assess fatigue in PBC; they are considered reliable, with proven consistency and reproducibility [323,324].

The only PBC-specific instrument validated to assess fatigue in patients with PBC is PBC-40 [309]. The fatigue domain of the PBC-40 questionnaire consists of 11 questions framed as statements [309]. Patients with a score of ≥33 in the fatigue domain of PBC-40 are considered to suffer from moderate-to-severe fatigue [309], although a score >15 has been considered as indicating significant fatigue in a Greek study [285]. More data are needed to ascertain whether the shorter version PBC-27 can be an optimum version to evaluate fatigue in patients with PBC [317,325]. Even though PBC-40 has been robustly validated in PBC, it does not permit discrimination between central and peripheral components of fatigue. Dissecting individual components of fatigue in patients with PBC would be of potential therapeutic interest, as several pharmacological and non-pharmacological options are being investigated.

The SF-36, a widely utilized instrument for assessing HRQoL, has demonstrated a significant correlation between its individual domains and those of the PBC-40 in several cohorts of PBC, including cohorts of Greek patients, thereby reinforcing the convergent validity of the PBC-40 [285,310,314].

Finally, the practical 3-step (ASK-MEASURE-TREAT) algorithm developed by the ERN RARE-LIVER can easily be applied in everyday clinical practice for the appropriate assessment and management of fatigue in all patients with PBC (Table 8) [295].

On the other hand, several objective measures have been proposed, including brain imaging, physical performance tools and serological biomarkers, though at present no consensus on their implementation in assessing fatigue in the setting of PBC has been reached.

PICO 9. How should pregnant women who have already established or developed PBC after delivery be managed?

Statements

  • Women with PBC planning pregnancy should receive individualized pre-conception counseling (LoE 1, strong statement)

  • UDCA should be continued before conception, throughout pregnancy and during breastfeeding (LoE 4, strong statement)

  • In pregnant patients with PBC, the administration of second-line agents (OCA, seladelpar, elafibranor) is not recommended, and should be discontinued once pregnancy is confirmed (LoE 5, strong statement)

  • In pregnant patients with PBC, administration of fibrates may be considered after the first trimester, with their use guided by maternal disease severity and a careful balanced assessment of risk/benefit (LoE 5, weak/open statement)

  • Close monitoring is recommended in all pregnant patients with PBC, during both pregnancy and postpartum (especially in the first 6 months after delivery, because of the high risk of biochemical flares) (LoE 2, strong statement)

  • In pregnant women with PBC-related cirrhosis/portal hypertension, endoscopic variceal screening in the second trimester and multidisciplinary care are recommended (LoE 2, strong statement)

Although most female patients with PBC are diagnosed after the reproductive age, a clinically relevant minority are women of childbearing age [1,30,31]. Rarely, pregnancy may unmask PBC, either through unresolved obstetric cholestasis after delivery, or the development of pruritus that is misattributed to intrahepatic cholestasis of pregnancy (ICP) [326-331]. Fertility does not appear to be impaired compared to the general population [326]. Pregnancies in women with established PBC are generally well tolerated, with favorable maternal and fetal outcomes [326,332,333].

During gestation, up to half of women with PBC may develop new or worsening pruritus, while liver biochemistry often improves transiently. In these pregnancies repeated measurement of total serum bile acids should be performed, as higher serum bile acids have been associated with reduced gestation length in women with preexisting cholestatic liver disorders [334].

Postpartum biochemical flares are common, and warrant close follow up [326,335,336]. In a recent single-center cohort, liver tests were usually stable during pregnancy, but up to 60% of patients with PBC experienced biochemical flares within the first 6 months postpartum [337]. Rarely, progression requiring LT has been described, underscoring the need for postpartum monitoring [338].

Women with already established cirrhosis and portal hypertension carry higher risks. These pregnancies are associated with adverse maternal and fetal outcomes, such as mortality (0-8%) and prematurity of the newborn (19-67%), and mortality (0-14%), pregnancy-induced hypertension (5-22%) and post-partum hemorrhage (5-45%) in the mother [339,340]. Thus, pregnancies in this specific group of patients with PBC should be managed as in other etiologies of cirrhosis, including endoscopic variceal screening during the second trimester and surveillance for splenic artery aneurysm [1,30,31,334]. Beta-blockers can be used safely in pregnancy, and are recommended during the second stage of labor to reduce the risk of variceal bleeding [334]. Pregnant women with PBC may also be screened for autoantibodies against the ribonucleoprotein/Sjögren’s syndrome A antigen (anti-Ro/SSA), as they can be frequently detected in PBC [39,40,341] and have been associated with fetal arrythmias [342].

UDCA, under the same dose regimens, is generally considered safe before conception, throughout pregnancy and during breastfeeding, based on PBC case series and robust safety data from patients with ICP [326,333,336,343]. No significant maternal or neonatal adverse effects have been reported, even with first-trimester exposure [326,333]. By contrast, newer second-line agents (i.e., OCA, elafibranor, seladelpar) lack pregnancy safety data and should be discontinued once pregnancy is confirmed. Evidence for administration of fibrates in pregnancy is limited, and their use should be individualized [328,344]. For severe pruritus, options include cholestyramine, rifampicin (preferably in the third trimester) and rarely plasmapheresis. Supportive measures, such as skin care and prevention of fat-soluble vitamin deficiency, are advised [172,345,346].

Regarding neonatal outcomes, live birth rates range from 58-82%, with reported risks of preterm delivery and occasional neonatal complications of 6-33% and 3-7%, respectively [335-337,347]. Higher maternal bile acid and aminotransferase levels have been associated with a shorter gestational duration [347]. A recent systematic review and meta-analysis of 2179 women with PBC reported a modestly elevated risk of miscarriage and a history of abortion, while vaginal delivery was more frequent [348]. More recently, a Mendelian randomization analysis in a European population suggested associations of genetically predicted PBC with lower birth weight, shorter gestational age and higher risk of preterm birth, though no causal link was found with preeclampsia, miscarriage, gestational diabetes or postpartum hemorrhage [349]. Importantly, another recent systematic review and meta-analysis reported that pregnant women with PBC were approximately 6 times more likely to deliver preterm babies, compared to healthy controls [350]. In the same analysis, disease flares were significantly more common in the postpartum period, while as expected, new or worsening pruritus was more frequent during pregnancy. Importantly, no cases of maternal mortality, decompensated cirrhosis, or congenital malformations were observed, indicating that pregnancy in women with PBC is generally safe when appropriately monitored [348,350].

Taken together, pregnancy in women with PBC is usually well tolerated, particularly in the early stages of the disease. However, these women face a higher risk of preterm birth, new or worsening pruritus during gestation and biochemical flares postpartum; therefore, close monitoring is advised. UDCA remains the treatment of choice throughout conception, pregnancy and lactation. Careful pre-conception counseling, individualized management and vigilant postpartum follow up are essential to optimize both maternal and fetal outcomes.

PICO 10. What are the indications for referring and/or performing LT in patients with PBC?

Statements

  • In patients with PBC, the same classical indications for LT referral should apply as in liver diseases of any other etiology (LoE 1, strong statement)

  • Patients with PBC and intractable pruritus refractory to medical treatment should be referred for LT, irrespective of MELD-sodium (MELD-Na) score (LoE 2, strong statement)

  • Patients with PBC and HCC should be evaluated for LT according to the international criteria (LoE 1, strong statement)

  • UDCA in post-LT patients should be considered for reducing disease recurrence, graft loss, liver-related death and all-cause mortality (LoE 2, strong statement)

Although its prevalence is increasing, PBC as an indication for LT has declined over the last decades, from 20% in 1986 to 4% in 2015, according to data from the European Liver Transplant Registry. The main reasons for this decrease are UDCA use, as well as rising global awareness of the disease, leading to earlier diagnosis [351,352]. The indications for LT in patients with PBC are quite similar to liver diseases of other etiologies. PBC is an excellent indication for LT, as the 10-year survival rates range between 84-90%, which are better than those reported for most other liver diseases [1,353]. Recurrence of PBC after LT is not uncommon and can occur in 21-37% of patients at 10 years, and almost 50% of patients at 15 years, with a median time to recurrence of 3-5.5 years [352,354]: continuous UDCA use after LT should be considered, as this strategy can reduce these percentages [355]. However, although graft loss is a major problem in the recurrence of other autoimmune liver diseases, this is not an issue in recurrent PBC [356].

LT for underlying PBC should be considered if complications of cirrhosis have occurred, as in liver diseases of any other etiology, based on disease severity scores (e.g., if the MELD-Na score reaches 15 or more points), if bilirubin values are rising progressively above 3-5 mg/dL (50-85 μmol/L), and in selected patients with intractable and torturous pruritus refractory to medical management [281]. Indeed, pruritus, after failure of all conservative and medical approaches, is an indication for LT according to current guidelines [281]. This applies particularly to patients without cirrhosis or with a low MELD-Na score, when pruritus severely impairs quality of life [357]. It is very effective and leads to immediate reduction, usually within the first weeks after LT, and ultimately to the disappearance of this devastating complication, resulting in a significant improvement in quality of life [358].

Even though fatigue and cognitive dysfunctions are common among patients with PBC, they usually persist after LT and thus are not considered as an indication for LT [352,359].

Most LT centers utilize the MELD score and its iterations (MELD-Na and MELD 3.0) to prioritize patients on the waitlist for deceased-donor LT. However, it is well recognized that the conventional MELD score underestimates the morbidity and mortality of advanced cholestatic liver diseases (PBC and primary sclerosing cholangitis) and their associated unique complications, such as recurrent bacterial cholangitis, cholangiocarcinoma, debilitating pruritus and sarcopenia [353]. Despite the favorable post-transplant outcomes, there are worldwide reports of higher waiting list mortality compared to other etiologies, such as chronic hepatitis C or alcohol-related liver disease [360-363].

HCC can be a complication of PBC cirrhosis, as in cirrhosis of any other etiology. The incidence of HCC among patients with PBC is estimated at 0.36 per 100 person-years. A recent multicenter study from North America and Europe, based on prolonged observation of 4565 patients with PBC, showed an incidence rate of 3.4 HCC cases for every 1000 patient-years [226]. This cohort demonstrated that advanced disease and male sex were confirmed risk factors for HCC development in PBC, along with an inadequate response to UDCA [226].

Concluding remarks and future directions

The diagnosis of PBC is based on 2 of 3 fundamental findings: namely, chronic elevation of cholestatic enzymes despite normal ultrasonography; detection of PBC-related autoantibodies; and liver histology. Liver biopsy, particularly in early disease, may not be diagnostic and accurate for staging, or for excluding cirrhosis, reducing its value in routine practice [58]. Consequently, liver biopsy is not usually necessary for a PBC diagnosis when biochemical and autoantibody serological markers are clearly indicative of the disease [1-3]. However, the disease is widely underestimated or unrecognized. Therefore, reliable detection and interpretation of PBC-related autoantibodies is warranted, as they are the cornerstones for a prompt and timely diagnosis [40].

According to the guidelines, AMA, the key diagnostic marker for PBC diagnosis, should be tested by indirect IIF on triple rodent tissue sections as initial screening, followed by ELISA (preferably using all 3 major AMA autoantigens) and immunoblot testing if the previous testing by IIF is negative, or when laboratories have limited experience in performing and interpreting the IIF patterns [40]. In addition, efforts should be focused on the detection of the very specific ANA in PBC (anti-sp100 and anti-gp210), which are not usually implemented in patients’ everyday diagnostic workup.

In terms of liver biochemistry, about 70-80% of patients respond very positively to UDCA treatment [1,30,31,175], although many of them still face several other problems, such as devastating fatigue, pruritus, cognitive dysfunction and extrahepatic autoimmune diseases and/or syndromes, which are usually not affected by the UDCA treatment response and can have a negative and serious impact on patients’ HRQoL.

In March 2017, the ERN RARE-LIVER network was launched for centers of excellence in the clinical management of rare liver diseases in both children and adults, including the management of patients with PBC. It is anticipated that ERN RARE-LIVER will play an important role in improving the management of patients with PBC in a holistic manner, paying special attention to patient-reported outcomes and empathy. Moreover, research into the pathogenetic, diagnostic and therapeutic aspects of PBC will result in improvement of our understanding and its timely diagnosis and management. Accordingly, new biological markers—such as novel autoantibodies (anti-Kelch-like 12 protein and anti-hexokinase-1 antibodies) [41,364,365], epigenetic mechanisms [20,366], metabolomics [367], specific microRNA overexpression [368,369] and AI-based digital pathology [73,370]—may prove of considerable importance in the near future in terms of understanding PBC’s pathogenesis, and subsequently assisting in the diagnosis and specific management of the disease.

Up to the present, a risk-stratification strategy is absolutely necessary, evaluating demographic, clinical, biochemical and serological factors, along with assessment of fibrosis at baseline and during therapy [125], and response to treatment (6-12 months after treatment initiation but also during follow up) in all patients with PBC in order to implement personalized treatment options (Table 4, Fig. 5). The treatment should aim at achieving a sustainable deep response, as attested by the normalization of cholestatic indices (ALP and bilirubin). However, patients with PBC require risk-stratification strategies that will be able to identify those who are at higher risk of disease progression, or an inadequate response to UDCA treatment, at first diagnosis, rather than after 6-12 months of treatment initiation. Unfortunately, there are few studies aiming to predict treatment failure at the time of diagnosis [371,372]. Perhaps in the future, AI-based protocols and algorithms could change the management of PBC, ideally by enabling early diagnosis, predicting disease progression, and implementing precision medicine in PBC; this should also include the management of PBC-associated symptoms and extrahepatic autoimmune diseases [73,370,373]. This shift seems to be driven nowadays by the availability of new therapeutic interventions, making the identification of patients with PBC who could benefit most from these therapies an unmet need.

Acknowledgments

The authors would like to thank the 32 members of the Delphi Panel for this Consensus Statements for their valuable contribution: Alexandra Alexopoulou, Pinelopi Arvaniti, Kalliopi Azariadis, Aristea Bellou, Evangelos Cholongitas, Dimitrios Christodoulou, Ioannis Elefsiniotis, Stella Gabeta, Georgios Giannoulis, Olga Giouleme, Ioannis Goulis, Ioannis Ketikoglou, Eleni Koukoulioti, Vaso Lygoura, Emanuel Manesis, Iliana Mani, Nicoletta Mathou, Spyros Michopoulos, Vasileios Papadimitropoulos, Nikolaos Papadopoulos, Eleni Papanikolaou, George Papatheodoridis, Stratigoula Sakellariou, Anna Samakidou, Vasileios Sevastianos, Emmanouil Sinakos, Maria Schina, Evangelos Thalassinos, Eleni Theocharidou, Themistoklis Vasileiadis, Elena Vezali, Kalliopi Zachou. The authors would also like to thank Evangelos Cholongitas, Georgios Germanidis, and Ioannis Vlachogiannakos for their valuable contribution to the review process.

References

1. European Association for the Study of the Liver. EASL Clinical Practice Guidelines:The diagnosis and management of patients with primary biliary cholangitis. J Hepatol 2017;67:145-172.

2. Lleo A, Wang GQ, Gershwin ME, Hirschfield GM. Primary biliary cholangitis. Lancet 2020;396:1915-1926.

3. Tanaka A, Ma X, Takahashi A, Vierling JM. Primary biliary cholangitis. Lancet 2024;404:1053-1066.

4. Lv T, Chen S, Li M, Zhang D, Kong Y, Jia J. Regional variation and temporal trend of primary biliary cholangitis epidemiology:a systematic review and meta-analysis. J Gastroenterol Hepatol 2021;36:1423-1434.

5. Levy C, Buchanan-Peart KA, MacEwan JP, et al. A nationwide study of primary biliary cholangitis prevalence, geographic distribution, and health care providers. Hepatol Commun 2025;9:e0677.

6. Koop PH, Schwenzer C, Clusmann J, et al. Comorbidities, mortality and metabolic profile in individuals with primary biliary cholangitis-a phenome-wide-association-study. Liver Int 2024;44:2038-2053.

7. Colapietro F, Bertazzoni A, Lleo A. Contemporary epidemiology of primary biliary cholangitis. Clin Liver Dis 2022;26:555-570.

8. Lleo A, Jepsen P, Morenghi E, et al. Evolving trends in female to male incidence and male mortality of primary biliary cholangitis. Sci Rep 2016;6:25906.

9. Trivedi PJ, Hirschfield GM. Recent advances in clinical practice:epidemiology of autoimmune liver diseases. Gut 2021;70:1989-2003.

10. Gatselis NK, Zachou K, Lygoura V, et al. Geoepidemiology, clinical manifestations and outcome of primary biliary cholangitis in Greece. Eur J Intern Med 2017;42:81-88.

11. Murillo Perez CF, Goet JC, Lammers WJ, et al;GLOBAL PBC Study Group. Milder disease stage in patients with primary biliary cholangitis over a 44-year period:a changing natural history. Hepatology 2018;67:1920-1930.

12. Gabeta S, Dalekos GN, Gatselis NK. Management of asymptomatic patients with abnormal liver function tests. Eur J Intern Med 2025;141:106429.

13. Sherlock S, Scheuer PJ. The presentation and diagnosis of 100 patients with primary biliary cirrhosis. N Engl J Med 1973;289:674-678.

14. Reshetnyak VI, Maev IV. Features of lipid metabolism disorders in primary biliary cholangitis. Biomedicines 2022;10:3046.

15. Zheng L, Tian S, Yang C, et al. Hypercholesterolemia is associated with dysregulation of lipid metabolism and poor prognosis in primary biliary cholangitis. Clin Gastroenterol Hepatol 2024;22:1265-1274.

16. Floreani A, Cazzagon N. PBC and related extrahepatic diseases. Best Pract Res Clin Gastroenterol 2018;34-35:49-54.

17. Rigopoulou EI, Lygoura V, Gabeta S, Gatselis N, Giannoulis G, Dalekos GN. Increased IgG levels at diagnosis are associated with worse prognosis of patients with primary biliary cholangitis. Liver Int 2025;45:e70074.

18. Zhang HP, Zhou Z, Chen K, Xiong LF, Wu J, Jin L. Primary biliary cholangitis has causal effects on systemic rheumatic diseases:a Mendelian randomization study. BMC Gastroenterol 2024;24:294.

19. Deng X, Li J, Hou S, Ci B, Liu B, Xu K. Prevalence and impact of Sjögren's syndrome in primary biliary cholangitis:a systematic review and meta-analysis. Ann Hepatol 2022;27:100746.

20. Arvaniti P, Zachou K, Lyberopoulou A, et al. Epigenetic modifications in generalized autoimmune epithelitis:Sjögren's syndrome and primary biliary cholangitis. Epigenomes 2019;3:15.

21. Dalekos GN, Koskinas J, Papatheodoridis GV. Hellenic Association for the Study of the Liver Clinical Practice Guidelines:Autoimmune hepatitis. Ann Gastroenterol 2019;32:1-23.

22. Dalekos GN, Papatheodoridis GV, Koskinas J, Goulis I, Rigopoulou EI, Tiniakos D;Hellenic Study Group for Autoimmune Liver Diseases of HASL. Hellenic Association for the Study of the Liver (HASL):revised clinical practice guidelines for autoimmune hepatitis. Ann Gastroenterol 2024;37:623-654.

23. Whiting PF, Rutjes AW, Westwood ME, et al;QUADAS-2 Group. QUADAS-2:a revised tool for the quality assessment of diagnostic accuracy studies. Ann Intern Med 2011;155:529-536.

24. Prince MI, Chetwynd A, Craig WL, Metcalf JV, James OF. Asymptomatic primary biliary cirrhosis:clinical features, prognosis, and symptom progression in a large population based cohort. Gut 2004;53:865-870.

25. Donato F, Pigozzi MG, Colarieti G, Festa M, Tabaglio E. Why are rare diseases underdiagnosed?A clinical management study on detection of primary biliary cholangitis in primary care. Ann Ig 2024;36:614-618.

26. Newsome PN, Cramb R, Davison SM, et al. Guidelines on the management of abnormal liver blood tests. Gut 2018;67:6-19.

27. Koulentaki M, Ioannidou D, Stefanidou M, et al. Dermatological manifestations in primary biliary cirrhosis patients:a case control study. Am J Gastroenterol 2006;101:541-546.

28. Gatselis NK, Zachou K, Dalekos GN. Early primary biliary cirrhosis:a new association with erythema nodosum of unknown origin. Gastroenterol Res Pract 2010;2010:121620.

29. Gatselis NK, Stefos A, Gioti C, Rigopoulou EI, Dalekos GN. Primary biliary cirrhosis and Henoch-Schonlein purpura:report of two cases and review of the literature. Liver Int 2007;27:280-283.

30. Hirschfield GM, Dyson JK, Alexander GJM, et al. The British Society of Gastroenterology/UK-PBC primary biliary cholangitis treatment and management guidelines. Gut 2018;67:1568-1594.

31. Lindor KD, Bowlus CL, Boyer J, Levy C, Mayo M. Primary biliary cholangitis:2021 practice guidance update from the American Association for the Study of Liver Diseases. Hepatology 2022;75:1012-1013.

32. Kwo PY, Cohen SM, Lim JK. ACG Clinical Guideline:evaluation of abnormal liver chemistries. Am J Gastroenterol 2017;112:18-35.

33. Terziroli Beretta-Piccoli B, Stirnimann G, Mertens J, et al;Swiss PBC Cohort Study Group. Primary biliary cholangitis with normal alkaline phosphatase:a neglected clinical entity challenging current guidelines. J Autoimmun 2021;116:102578.

34. Zhu YJ, Li J, Liu YG, et al. Role of biochemical markers and autoantibodies in diagnosis of early-stage primary biliary cholangitis. World J Gastroenterol 2023;29:5075-5081.

35. Lleo A, Liao J, Invernizzi P, et al. Immunoglobulin M levels inversely correlate with CD40 ligand promoter methylation in patients with primary biliary cirrhosis. Hepatology 2012;55:153-160.

36. Poupon R, Chazouillères O, Balkau B, Poupon RE. Clinical and biochemical expression of the histopathological lesions of primary biliary cirrhosis. UDCA-PBC Group. J Hepatol 1999;30:408-412.

37. Xu Q, Zhu W, Yin Y. Diagnostic value of anti-mitochondrial antibody in patients with primary biliary cholangitis:a systemic review and meta-analysis. Medicine (Baltimore) 2023;102:e36039.

38. Leung PS, Choi J, Yang G, Woo E, Kenny TP, Gershwin ME. A contemporary perspective on the molecular characteristics of mitochondrial autoantigens and diagnosis in primary biliary cholangitis. Expert Rev Mol Diagn 2016;16:697-705.

39. Rigopoulou EI, Dalekos GN. Molecular diagnostics of primary biliary cirrhosis. Expert Opin Med Diagn 2008;2:621-634.

40. Gatselis NK, Dalekos GN. Molecular diagnostic testing for primary biliary cholangitis. Expert Rev Mol Diagn 2016;16:1001-1010.

41. Rigopoulou EI, Bogdanos DP. Role of autoantibodies in the clinical management of primary biliary cholangitis. World J Gastroenterol 2023;29:1795-1810.

42. Gabeta S, Norman GL, Liaskos C, et al. Diagnostic relevance and clinical significance of the new enhanced performance M2 (MIT3) ELISA for the detection of IgA and IgG antimitochondrial antibodies in primary biliary cirrhosis. J Clin Immunol 2007;27:378-387.

43. Dähnrich C, Pares A, Caballeria L, et al. New ELISA for detecting primary biliary cirrhosis-specific antimitochondrial antibodies. Clin Chem 2009;55:978-985.

44. Rigopoulou EI, Bogdanos DP, Liaskos C, et al. Anti-mitochondrial antibody immunofluorescent titres correlate with the number and intensity of immunoblot-detected mitochondrial bands in patients with primary biliary cirrhosis. Clin Chim Acta 2007;380:118-121.

45. Muratori L, Muratori P, Granito A, et al. The Western immunoblotting pattern of anti-mitochondrial antibodies is independent of the clinical expression of primary biliary cirrhosis. Dig Liver Dis 2005;37:108-112.

46. John BV, Dahman B, Deng Y, et al. Rates of decompensation, hepatocellular carcinoma and mortality in AMA-negative primary biliary cholangitis cirrhosis. Liver Int 2022;42:384-393.

47. Ellez HI, Danis N, Akarca US. Evaluation of patients with positive anti-mitochondiral antibody and normal alkaline phosphatase levels for primary biliary cholangitis. Acta Gastroenterol Belg 2024;87:282-286.

48. Duan W, Chen S, Li S, et al. The future risk of primary biliary cholangitis (PBC) is low among patients with incidental anti-mitochondrial antibodies but without baseline PBC. Hepatol Commun 2022;6:3112-3119.

49. Metcalf JV, Mitchison HC, Palmer JM, Jones DE, Bassendine MF, James OF. Natural history of early primary biliary cirrhosis. Lancet 1996;348:1399-1402.

50. Ergenc I, Gozaydinoglu B, Keklikkiran C, Yilmaz Y. The risk of development of primary biliary cholangitis among incidental antimitochondrial M2 antibody-positive patients. Hepatol Forum 2023;4:69-73.

51. Sun C, Xiao X, Yan L, et al. Histologically proven AMA positive primary biliary cholangitis but normal serum alkaline phosphatase:is alkaline phosphatase truly a surrogate marker?J Autoimmun 2019;99:33-38.

52. Dahlqvist G, Gaouar F, Carrat F, et al;French network of Immunology Laboratories. Large-scale characterization study of patients with antimitochondrial antibodies but nonestablished primary biliary cholangitis. Hepatology 2017;65:152-163.

53. Kowdley KV, Bowlus CL, Levy C, et al. Application of the latest advances in evidence-based medicine in primary biliary cholangitis. Am J Gastroenterol 2023;118:232-242.

54. Invernizzi P, Selmi C, Ranftler C, Podda M, Wesierska-Gadek J. Antinuclear antibodies in primary biliary cirrhosis. Semin Liver Dis 2005;25:298-310.

55. Rigopoulou EI, Davies ET, Pares A, et al. Prevalence and clinical significance of isotype specific antinuclear antibodies in primary biliary cirrhosis. Gut 2005;54:528-532.

56. Zhang Q, Liu Z, Wu S, et al. Meta-analysis of antinuclear antibodies in the diagnosis of antimitochondrial antibody-negative primary biliary cholangitis. Gastroenterol Res Pract 2019;2019:8959103.

57. Granito A, Muratori P, Quarneti C, Pappas G, Cicola R, Muratori L. Antinuclear antibodies as ancillary markers in primary biliary cirrhosis. Expert Rev Mol Diagn 2012;12:65-74.

58. Zen Y, Hübscher SG, Nakanuma Y. Bile duct diseases. In Burt AD, Ferrell LD, Hübscher SG. MacSween's Pathology of the Liver, 8th ed. Elsevier 2024;pp. 556-643.

59. Rockey DC, Caldwell SH, Goodman ZD, Nelson RC, Smith AD;American Association for the Study of Liver Diseases. Liver biopsy. Hepatology 2009;49:1017-1044.

60. Vetter M, Kremer AE, Agaimy A, et al. How much liver tissue is required for sufficient histological staging in patients with primary biliary cholangitis?Digestion 2021;102:428-436.

61. Sarcognato S, Sacchi D, Grillo F, et al. Autoimmune biliary diseases:primary biliary cholangitis and primary sclerosing cholangitis. Pathologica 2021;113:170-184.

62. Sakellariou S, Michaelides C, Voulgaris T, et al. Keratin 7 expression in hepatic cholestatic diseases. Virchows Arch 2021;479:815-824.

63. Theise ND, Crawford JM, Nakanuma Y, Quaglia A. Canal of Hering loss is an initiating step for primary biliary cholangitis (PBC):a hypothesis. Med Hypotheses 2020;140:109680.

64. Myoteri D, Sakellariou S, Tiniakos DG. Histopathology of autoimmune hepatitis:an update. Adv Anat Pathol 2025;32:414-426.

65. Overi D, Carpino G, Cristoferi L, et al. Role of ductular reaction and ductular-canalicular junctions in identifying severe primary biliary cholangitis. JHEP Rep 2022;4:100556.

66. Quaglia A, Bhathal PS. Copper, copper-binding protein and cytokeratin 7 in biliary disorders. Histopathology 2017;71:1006-1008.

67. Scheuer P. Primary biliary cirrhosis. Proc R Soc Med 1967;60:1257-1260.

68. Ludwig J, Dickson ER, McDonald GS. Staging of chronic nonsuppurative destructive cholangitis (syndrome of primary biliary cirrhosis). Virchows Arch A Pathol Anat Histol 1978;379:103-112.

69. Hiramatsu K, Aoyama H, Zen Y, Aishima S, Kitagawa S, Nakanuma Y. Proposal of a new staging and grading system of the liver for primary biliary cirrhosis. Histopathology 2006;49:466-478.

70. Nakanuma Y, Zen Y, Harada K, et al. Application of a new histological staging and grading system for primary biliary cirrhosis to liver biopsy specimens:Interobserver agreement. Pathol Int 2010;60:167-174.

71. Hardie C, Green K, Jopson L, et al. Early molecular stratification of high-risk primary biliary cholangitis. EBioMedicine 2016;14:65-73.

72. Goet JC, Harms MH, Carbone M, Hansen BE. Risk stratification and prognostic modelling in primary biliary cholangitis. Best Pract Res Clin Gastroenterol 2018;34-35:95-106.

73. Gerussi A, Verda D, Bernasconi DP, et al. Machine learning in primary biliary cholangitis:A novel approach for risk stratification. Liver Int 2022;42:615-627.

74. Martini F, Balducci D, Mancinelli M, et al. Risk stratification in primary biliary cholangitis. J Clin Med 2023;12:5713.

75. Ding D, Jia G, Guo G, Cui L, Han Y. Risk stratification for patients with primary biliary cholangitis:early versus advanced-stage or non-cirrhosis versus cirrhosis?Hepatol Int 2025;19:929-935.

76. Kubota J, Ikeda F, Terada R, et al. Mortality rate of patients with asymptomatic primary biliary cirrhosis diagnosed at age 55 years or older is similar to that of the general population. J Gastroenterol 2009;44:1000-1006.

77. Carbone M, Mells GF, Pells G, et al;UK PBC Consortium. Sex and age are determinants of the clinical phenotype of primary biliary cirrhosis and response to ursodeoxycholic acid. Gastroenterology 2013;144:560-569.

78. Cheung AC, Lammers WJ, Murillo Perez CF, et al;Global PBC Study Group. Effects of age and sex of response to ursodeoxycholic acid and transplant-free survival in patients with primary biliary cholangitis. Clin Gastroenterol Hepatol 2019;17:2076-2084.

79. Lammers WJ, Hirschfield GM, Corpechot C, et al;Global PBC Study Group. Development and validation of a scoring system to predict outcomes of patients with primary biliary cirrhosis receiving ursodeoxycholic acid therapy. Gastroenterology 2015;149:1804-1812.

80. Abdulkarim M, Zenouzi R, Sebode M, et al. Sex differences in clinical presentation and prognosis in patients with primary biliary cholangitis. Scand J Gastroenterol 2019;54:1391-1396.

81. John BV, Aitcheson G, Schwartz KB, et al. Male sex is associated with higher rates of liver-related mortality in primary biliary cholangitis and cirrhosis. Hepatology 2021;74:879-891.

82. Natarajan Y, Tansel A, Patel P, et al. Incidence of hepatocellular carcinoma in primary biliary cholangitis:a systematic review and meta-analysis. Dig Dis Sci 2021;66:2439-2451.

83. Cholankeril G, Gonzalez HC, Satapathy SK, et al. Increased waitlist mortality and lower rate for liver transplantation in hispanic patients with primary biliary cholangitis. Clin Gastroenterol Hepatol 2018;16:965-973.

84. Roberts SB, Hirschfield GM, Worobetz LJ, et al;Canadian Network for Autoimmune Liver Disease (CaNAL). Ethnicity, disease severity, and survival in Canadian patients with primary biliary cholangitis. Hepatology 2022;76:303-316.

85. Trivella J, John BV, Levy C. Primary biliary cholangitis:epidemiology, prognosis, and treatment. Hepatol Commun 2023;7:e0179.

86. Hegade VS, Mells GF, Fisher H, et al;UK-PBC Consortium. Pruritus is common and undertreated in patients with primary biliary cholangitis in the United Kingdom. Clin Gastroenterol Hepatol 2019;17:1379-1387.

87. Poupon RE, Chrétien Y, Chazouillères O, Poupon R, Chwalow J. Quality of life in patients with primary biliary cirrhosis. Hepatology 2004;40:489-494.

88. Levy C, Younossi ZM, Mayo MJ, et al. Assessment of PBC pruritus from the ITCH-E study:quality of life, productivity, and treatment experiences. Liver Int 2025;45:e70276.

89. Quarneti C, Muratori P, Lalanne C, et al. Fatigue and pruritus at onset identify a more aggressive subset of primary biliary cirrhosis. Liver Int 2015;35:636-641.

90. Jones DE, Al-Rifai A, Frith J, Patanwala I, Newton JL. The independent effects of fatigue and UDCA therapy on mortality in primary biliary cirrhosis:results of a 9 year follow-up. J Hepatol 2010;53:911-917.

91. Mahl TC, Shockcor W, Boyer JL. Primary biliary cirrhosis:survival of a large cohort of symptomatic and asymptomatic patients followed for 24 years. J Hepatol 1994;20:707-713.

92. Jones DE, Bhala N, Burt J, Goldblatt J, Prince M, Newton JL. Four year follow up of fatigue in a geographically defined primary biliary cirrhosis patient cohort. Gut 2006;55:536-541.

93. Dalekos GN, Gatselis NK. Variant and specific forms of autoimmune cholestatic liver diseases. Arch Immunol Ther Exp (Warsz) 2019;67:197-211.

94. Marzioni M, Bassanelli C, Ripellino C, Urbinati D, Alvaro D. Epidemiology of primary biliary cholangitis in Italy:evidence from a real-world database. Dig Liver Dis 2019;51:724-729.

95. European Association for the Study of the Liver. EASL Clinical Practice Guidelines on the management of autoimmune hepatitis. J Hepatol 2025;83:453-501.

96. Efe C, Torgutalp M, Henriksson I, et al. Extrahepatic autoimmune diseases in primary biliary cholangitis:prevalence and significance for clinical presentation and disease outcome. J Gastroenterol Hepatol 2021;36:936-942.

97. Corpechot C, Abenavoli L, Rabahi N, et al. Biochemical response to ursodeoxycholic acid and long-term prognosis in primary biliary cirrhosis. Hepatology 2008;48:871-877.

98. Lammers WJ, van Buuren HR, Hirschfield GM, et al;Global PBC Study Group. Levels of alkaline phosphatase and bilirubin are surrogate end points of outcomes of patients with primary biliary cirrhosis:an international follow-up study. Gastroenterology 2014;147:1338-1349.e5.

99. Gerussi A, Bernasconi DP, O'Donnell SE, et al;Italian PBC Study Group and the GLOBAL PBC Study Group. Measurement of gamma glutamyl transferase to determine risk of liver transplantation or death in patients with primary biliary cholangitis. Clin Gastroenterol Hepatol 2021;19:1688-1697.

100. ter Borg PC, Schalm SW, Hansen BE, van Buuren HR;Dutch PBC Study Group. Prognosis of ursodeoxycholic acid-treated patients with primary biliary cirrhosis. Results of a 10-yr cohort study involving 297 patients. Am J Gastroenterol 2006;101:2044-2050.

101. Murillo Perez CF, Harms MH, Lindor KD, et al;GLOBAL PBC Study Group. Goals of treatment for improved survival in primary biliary cholangitis:treatment target should be bilirubin within the normal range and normalization of alkaline phosphatase. Am J Gastroenterol 2020;115:1066-1074.

102. Yang C, Guo G, Li B, et al. Prediction and evaluation of high-risk patients with primary biliary cholangitis receiving ursodeoxycholic acid therapy:an early criterion. Hepatol Int 2023;17:237-248.

103. Carbone M, Sharp SJ, Flack S, et al;UK-PBC Consortium. The UK-PBC risk scores:derivation and validation of a scoring system for long-term prediction of end-stage liver disease in primary biliary cholangitis. Hepatology 2016;63:930-950.

104. Marenco-Flores A, Rojas Amaris N, Kahan T, et al. The external validation of GLOBE and UK-PBC risk scores for predicting ursodeoxycholic acid treatment response in a large U.S. cohort of primary biliary cholangitis patients. J Clin Med 2024;13:4497.

105. de Veer RC, van Hooff MC, Corpechot C, et al;Global PBC Study Group. Ursodeoxycholic acid treatment-induced GLOBE score changes are associated with liver transplantation-free survival in patients with primary biliary cholangitis. Am J Gastroenterol 2023;118:1196-1203.

106. Goet JC, Murillo Perez CF, Harms MH, et al;GLOBAL PBC Study Group. A comparison of prognostic scores (Mayo, UK-PBC, and GLOBE) in primary biliary cholangitis. Am J Gastroenterol 2021;116:1514-1522.

107. Gatselis NK, Zachou K, Norman GL, et al. Clinical significance of the fluctuation of primary biliary cirrhosis-related autoantibodies during the course of the disease. Autoimmunity 2013;46:471-479.

108. Flisiak R, Pelszynska M, Prokopowicz D, Rogalska M, Grygoruk U. High concentration of antimitochondrial antibodies predicts progressive primary biliary cirrhosis. World J Gastroenterol 2005;11:5706-5709.

109. Juliusson G, Imam M, Björnsson ES, Talwalkar JA, Lindor KD. Long-term outcomes in antimitochondrial antibody negative primary biliary cirrhosis. Scand J Gastroenterol 2016;51:745-752.

110. Cançado GGL, Braga MH, Ferraz MLG, et al;Members of the Brazilian Cholestasis Study Group Consortium. Anti-mitochondrial antibody-negative primary biliary cholangitis is part of the same spectrum of classical primary biliary cholangitis. Dig Dis Sci 2022;67:3305-3312.

111. Nakamura M. Clinical significance of autoantibodies in primary biliary cirrhosis. Semin Liver Dis 2014;34:334-340.

112. Nakamura M, Kondo H, Tanaka A, et al. Autoantibody status and histological variables influence biochemical response to treatment and long-term outcomes in Japanese patients with primary biliary cirrhosis. Hepatol Res 2015;45:846-855.

113. Huang C, Han W, Wang C, Liu Y, Chen Y, Duan Z. Early prognostic utility of gp210 antibody-positive rate in primary biliary cholangitis:a meta-analysis. Dis Markers 2019;2019:9121207.

114. Haldar D, Janmohamed A, Plant T, et al. Antibodies to gp210 and understanding risk in patients with primary biliary cholangitis. Liver Int 2021;41:535-544.

115. Yang F, Yang Y, Wang Q, et al. The risk predictive values of UK-PBC and GLOBE scoring system in Chinese patients with primary biliary cholangitis:the additional effect of anti-gp210. Aliment Pharmacol Ther 2017;45:733-743.

116. Zhao DT, Yan HP, Liao HY, et al. Using two-step cluster analysis to classify inpatients with primary biliary cholangitis based on autoantibodies:a real-world retrospective study of 537 patients in China. Front Immunol 2022;13:1098076.

117. Liberal R, Grant CR, Sakkas L, Bizzaro N, Bogdanos DP. Diagnostic and clinical significance of anti-centromere antibodies in primary biliary cirrhosis. Clin Res Hepatol Gastroenterol 2013;37:572-585.

118. Nakamura M, Kondo H, Mori T, et al. Anti-gp210 and anti-centromere antibodies are different risk factors for the progression of primary biliary cirrhosis. Hepatology 2007;45:118-127.

119. Chan AW, Chan RC, Wong GL, et al. Evaluation of histological staging systems for primary biliary cirrhosis:correlation with clinical and biochemical factors and significance of pathological parameters in prognostication. Histopathology 2014;65:174-186.

120. Kakuda Y, Harada K, Sawada-Kitamura S, et al. Evaluation of a new histologic staging and grading system for primary biliary cirrhosis in comparison with classical systems. Hum Pathol 2013;44:1107-1117.

121. Wendum D, Boëlle PY, Bedossa P, et al. Primary biliary cirrhosis:proposal for a new simple histological scoring system. Liver Int 2015;35:652-659.

122. Degott C, Zafrani ES, Callard P, Balkau B, Poupon RE, Poupon R. Histopathological study of primary biliary cirrhosis and the effect of ursodeoxycholic acid treatment on histology progression. Hepatology 1999;29:1007-1012.

123. Corpechot C, Carrat F, Poupon R, Poupon RE. Primary biliary cirrhosis:incidence and predictive factors of cirrhosis development in ursodiol-treated patients. Gastroenterology 2002;122:652-658.

124. Kumagi T, Guindi M, Fischer SE, et al. Baseline ductopenia and treatment response predict long-term histological progression in primary biliary cirrhosis. Am J Gastroenterol 2010;105:2186-2194.

125. Murillo Perez CF, Hirschfield GM, Corpechot C, et al;GLOBAL PBC Study Group. Fibrosis stage is an independent predictor of outcome in primary biliary cholangitis despite biochemical treatment response. Aliment Pharmacol Ther 2019;50:1127-1136.

126. Okumura T, Kimura T, Iwadare T, et al. Prognostic significance of bile duct loss in early-stage primary biliary cholangitis:a long-term observational study. Hepatol Res 2025;55:1621-1630.

127. Fujinaga Y, Namisaki T, Tsuji Y, et al. Fibrosis stage is an independent predictor of liver-related complications in primary biliary cholangitis. Hepatol Res 2025;55:968-976.

128. Trivedi PJ, Bruns T, Cheung A, et al. Optimising risk stratification in primary biliary cirrhosis:AST/platelet ratio index predicts outcome independent of ursodeoxycholic acid response. J Hepatol 2014;60:1249-1258.

129. Fujinaga Y, Namisaki T, Takaya H, et al. Enhanced liver fibrosis score as a surrogate of liver-related complications and mortality in primary biliary cholangitis. Medicine (Baltimore) 2021;100:e27403.

130. Asociacion Latinoamericana para el Estudio del Higado. EASL-ALEH Clinical Practice Guidelines:non-invasive tests for evaluation of liver disease severity and prognosis. J Hepatol 2015;63:237-264.

131. Manesis EK, Schina M, Vafiadis I, et al. Liver stiffness measurements by 2-dimensional shear wave elastography compared to histological and ultrasound parameters in primary biliary cholangitis. Scand J Gastroenterol 2021;56:1187-1193.

132. Zachou K, Lygoura V, Arvaniti P, et al. FibroMeter scores for the assessment of liver fibrosis in patients with autoimmune liver diseases. Ann Hepatol 2021;22:100285.

133. Corpechot C, Heurgue A, Tanne F, et al. Non-invasive diagnosis and follow-up of primary biliary cholangitis. Clin Res Hepatol Gastroenterol 2022;46:101770.

134. Corpechot C, Carrat F, Poujol-Robert A, et al. Noninvasive elastography-based assessment of liver fibrosis progression and prognosis in primary biliary cirrhosis. Hepatology 2012;56:198-208.

135. Manzo-Francisco LA, Aquino-Matus J, Vidaña-Pérez D, Uribe M, Chavez-Tapia N. Systematic review and meta-analysis:transient elastography compared to liver biopsy for staging of liver fibrosis in primary biliary cholangitis. Ann Hepatol 2023;28:101107.

136. Corpechot C, Carrat F, Gaouar F, et al;Global &ERN Rare-Liver PBC Study Groups. Liver stiffness measurement by vibration-controlled transient elastography improves outcome prediction in primary biliary cholangitis. J Hepatol 2022;77:1545-1553.

137. Lam L, Soret PA, Lemoinne S, et al;Global &ERN Rare-Liver PBC Study Groups. Dynamics of liver stiffness measurement and clinical course of primary biliary cholangitis. Clin Gastroenterol Hepatol 2024;22:2432-2441.

138. Cristoferi L, Calvaruso V, Overi D, et al;Italian PBC Registry. Accuracy of transient elastography in assessing fibrosis at diagnosis in naïve patients with primary biliary cholangitis:a dual cut-off approach. Hepatology 2021;74:1496-1508.

139. Wong YJ, Lam L, Soret PA, et al;Global &ERN Rare-Liver PBC Study Groups. Prognostic value of liver stiffness measurement vs. biochemical response in primary biliary cholangitis. J Hepatol 2026;84:275-283.

140. Yan Y, Xing X, Lu Q, Wang X, Luo X, Yang L. Assessment of biopsy proven liver fibrosis by two-dimensional shear wave elastography in patients with primary biliary cholangitis. Dig Liver Dis 2020;52:555-560.

141. Schulz M, Wilde AB, Demir M, Müller T, Tacke F, Wree A. Shear wave elastography and shear wave dispersion imaging in primary biliary cholangitis-a pilot study. Quant Imaging Med Surg 2022;12:1235-1242.

142. Goertz RS, GaBmann L, Strobel D, et al. Acoustic radiation force impulse (ARFI) elastography in autoimmune and cholestatic liver diseases. Ann Hepatol 2019;18:23-29.

143. Zhang Y, Meng F, Hu X, et al. Comparative diagnostic efficacy of two-dimensional shear wave and transient elastography in predicting the risk of esophagogastric varices and histological staging in patients with primary biliary cholangitis. BMC Gastroenterol 2024;24:396.

144. Osman KT, Maselli DB, Idilman IS, et al. Liver stiffness measured by either magnetic resonance or transient elastography is associated with liver fibrosis and is an independent predictor of outcomes among patients with primary biliary cholangitis. J Clin Gastroenterol 2021;55:449-457.

145. Huet PM, Vincent C, Deslaurier J, et al. Portal hypertension and primary biliary cirrhosis:effect of long-term ursodeoxycholic acid treatment. Gastroenterology 2008;135:1552-1560.

146. Warnes TW, Roberts SA, Smith A, et al. Portal hypertension in primary biliary cholangitis:prevalence, natural history and histological correlates. Eur J Gastroenterol Hepatol 2021;33:1595-1602.

147. Burghart L, Halilbasic E, Schwabl P, et al. Distinct prognostic value of different portal hypertension-associated features in patients with primary biliary cholangitis. J Gastroenterol 2022;57:99-110.

148. Warnes TW, Roberts SA, Smith A, Cope VM, Vales P, McMahon R. Portal pressure is of significant prognostic value in primary biliary cholangitis. Liver Int 2023;43:139-146.

149. Younossi ZM, Bernstein D, Shiffman ML, et al. Diagnosis and management of primary biliary cholangitis. Am J Gastroenterol 2019;114:48-63.

150. Gulamhusein AF, Hirschfield GM. Primary biliary cholangitis:pathogenesis and therapeutic opportunities. Nat Rev Gastroenterol Hepatol 2020;17:93-110.

151. Combes B, Carithers RL Jr, Maddrey WC, et al. Biliary bile acids in primary biliary cirrhosis:effect of ursodeoxycholic acid. Hepatology 1999;29:1649-1654.

152. Angulo P, Dickson ER, Therneau TM, et al. Comparison of three doses of ursodeoxycholic acid in the treatment of primary biliary cirrhosis:a randomized trial. J Hepatol 1999;30:830-835.

153. Heathcote EJ, Cauch-Dudek K, Walker V, et al. The Canadian multicenter double-blind randomized controlled trial of ursodeoxycholic acid in primary biliary cirrhosis. Hepatology 1994;19:1149-1156.

154. Lindor KD, Therneau TM, Jorgensen RA, Malinchoc M, Dickson ER. Effects of ursodeoxycholic acid on survival in patients with primary biliary cirrhosis. Gastroenterology 1996;110:1515-1518.

155. Parés A, Caballería L, Rodés J. Excellent long-term survival in patients with primary biliary cirrhosis and biochemical response to ursodeoxycholic acid. Gastroenterology 2006;130:715-720.

156. Poupon RE, Balkau B, Eschwège E, Poupon R. A multicenter, controlled trial of ursodiol for the treatment of primary biliary cirrhosis. UDCA-PBC Study Group. N Engl J Med 1991;324:1548-1554.

157. Poupon RE, Poupon R, Balkau B. Ursodiol for the long-term treatment of primary biliary cirrhosis. The UDCA-PBC Study Group. N Engl J Med 1994;330:1342-1347.

158. Poupon RE, Lindor KD, Cauch-Dudek K, Dickson ER, Poupon R, Heathcote EJ. Combined analysis of randomized controlled trials of ursodeoxycholic acid in primary biliary cirrhosis. Gastroenterology 1997;113:884-890.

159. Goulis J, Leandro G, Burroughs AK. Randomised controlled trials of ursodeoxycholic-acid therapy for primary biliary cirrhosis:a meta-analysis. Lancet 1999;354:1053-1060.

160. Gong Y, Huang Z, Christensen E, Gluud C. Ursodeoxycholic acid for patients with primary biliary cirrhosis:an updated systematic review and meta-analysis of randomized clinical trials using Bayesian approach as sensitivity analyses. Am J Gastroenterol 2007;102:1799-1807.

161. Rudic JS, Poropat G, Krstic MN, Bjelakovic G, Gluud C. Ursodeoxycholic acid for primary biliary cirrhosis. Cochrane Database Syst Rev 2012;12:CD000551.

162. Shi J, Wu C, Lin Y, Chen YX, Zhu L, Xie WF. Long-term effects of mid-dose ursodeoxycholic acid in primary biliary cirrhosis:a meta-analysis of randomized controlled trials. Am J Gastroenterol 2006;101:1529-1538.

163. Poupon RE, Lindor KD, Parés A, Chazouillères O, Poupon R, Heathcote EJ. Combined analysis of the effect of treatment with ursodeoxycholic acid on histologic progression in primary biliary cirrhosis. J Hepatol 2003;39:12-16.

164. Angulo P, Batts KP, Therneau TM, Jorgensen RA, Dickson ER, Lindor KD. Long-term ursodeoxycholic acid delays histological progression in primary biliary cirrhosis. Hepatology 1999;29:644-647.

165. Corpechot C, Carrat F, Bahr A, Chrétien Y, Poupon RE, Poupon R. The effect of ursodeoxycholic acid therapy on the natural course of primary biliary cirrhosis. Gastroenterology 2005;128:297-303.

166. Kuiper EM, Hansen BE, de Vries RA, et al;Dutch PBC Study Group. Improved prognosis of patients with primary biliary cirrhosis that have a biochemical response to ursodeoxycholic acid. Gastroenterology 2009;136:1281-1287.

167. Harms MH, van Buuren HR, Corpechot C, et al. Ursodeoxycholic acid therapy and liver transplant-free survival in patients with primary biliary cholangitis. J Hepatol 2019;71:357-365.

168. Gatselis NK, Goet JC, Zachou K, et al;Global Primary Biliary Cholangitis Study Group. Factors associated with progression and outcomes of early stage primary biliary cholangitis. Clin Gastroenterol Hepatol 2020;18:684-692.

169. Harms MH, de Veer RC, Lammers WJ, et al. Number needed to treat with ursodeoxycholic acid therapy to prevent liver transplantation or death in primary biliary cholangitis. Gut 2020;69:1502-1509.

170. Siegel JL, Jorgensen R, Angulo P, Lindor KD. Treatment with ursodeoxycholic acid is associated with weight gain in patients with primary biliary cirrhosis. J Clin Gastroenterol 2003;37:183-185.

171. Hempfling W, Dilger K, Beuers U. Systematic review:ursodeoxycholic acid—adverse effects and drug interactions. Aliment Pharmacol Ther 2003;18:963-972.

172. Kondrackiene J, Beuers U, Kupcinskas L. Efficacy and safety of ursodeoxycholic acid versus cholestyramine in intrahepatic cholestasis of pregnancy. Gastroenterology 2005;129:894-901.

173. Bacq Y, Sentilhes L, Reyes HB, et al. Efficacy of ursodeoxycholic acid in treating intrahepatic cholestasis of pregnancy:a meta-analysis. Gastroenterology 2012;143:1492-1501.

174. Leoni MC, Amelung L, Lieveld FI, et al. Adherence to ursodeoxycholic acid therapy in patients with cholestatic and autoimmune liver disease. Clin Res Hepatol Gastroenterol 2019;43:37-44.

175. Gerussi A, Nofit E, Bernasconi DP, et al. Trends in primary biliary cholangitis:prospective cohort study from the European reference network registry (R-LIVER). United European Gastroenterol J 2025;13:1955-1963.

176. Corpechot C, Chazouillères O, Poupon R. Early primary biliary cirrhosis:biochemical response to treatment and prediction of long-term outcome. J Hepatol 2011;55:1361-1367.

177. Azemoto N, Abe M, Murata Y, et al. Early biochemical response to ursodeoxycholic acid predicts symptom development in patients with asymptomatic primary biliary cirrhosis. J Gastroenterol 2009;44:630-634.

178. Zhang LN, Shi TY, Shi XH, et al. Early biochemical response to ursodeoxycholic acid and long-term prognosis of primary biliary cirrhosis:results of a 14-year cohort study. Hepatology 2013;58:264-272.

179. Angulo P, Lindor KD, Therneau TM, et al. Utilization of the Mayo risk score in patients with primary biliary cirrhosis receiving ursodeoxycholic acid. Liver 1999;19:115-121.

180. Momah N, Silveira MG, Jorgensen R, Sinakos E, Lindor KD. Optimizing biochemical markers as endpoints for clinical trials in primary biliary cirrhosis. Liver Int 2012;32:790-795.

181. Nevens F, Andreone P, Mazzella G, et al;POISE Study Group. A placebo-controlled trial of obeticholic acid in primary biliary cholangitis. N Engl J Med 2016;375:631-643.

182. Huet PM, Vincent C, Deslauriers J, et al. Portal hypertension in primary biliary cirrhosis (PBC):A reversible condition?Yes, but not in all UDCA treated patients. Hepatol Res 2009;39:1032-1038.

183. Gazda J, Drazilova S, Gazda M, et al. Treatment response to ursodeoxycholic acid in primary biliary cholangitis:A systematic review and meta-analysis. Dig Liver Dis 2023;55:1318-1327.

184. Corpechot C, Lemoinne S, Soret PA, et al;Global &ERN Rare-Liver PBC Study Groups. Adequate versus deep response to ursodeoxycholic acid in primary biliary cholangitis:to what extent and under what conditions is normal alkaline phosphatase level associated with complication-free survival gain?Hepatology 2024;79:39-48.

185. Jones DEJ, Wetten A, Barron-Millar B, et al;UK-PBC Research Consortium. The relationship between disease activity and UDCA response criteria in primary biliary cholangitis:a cohort study. EBioMedicine 2022;80:104068.

186. Kowdley KV, Bowlus CL, Levy C, et al;ELATIVE Study Investigators'Group. Efficacy and safety of elafibranor in primary biliary cholangitis. N Engl J Med 2024;390:795-805.

187. Hirschfield GM, Bowlus CL, Mayo MJ, et al;RESPONSE Study Group. A phase 3 trial of seladelpar in primary biliary cholangitis. N Engl J Med 2024;390:783-794.

188. Cançado GGL, Fucuta PDS, Gomes NMF, et al. Alkaline phosphatase and liver fibrosis at diagnosis are associated with deep response to ursodeoxycholic acid in primary biliary cholangitis. Clin Res Hepatol Gastroenterol 2024;48:102453.

189. Li J, Lu M, Zhou Y, et al;FOLD Investigators. Dynamic risk prediction of response to ursodeoxycholic acid among patients with primary biliary cholangitis in the USA. Dig Dis Sci 2022;67:4170-4180.

190. Cançado GGL, Couto CA, Terrabuio DRB, et al;Members of the Brazilian Cholestasis Study Group Consortium. Response to ursodeoxycholic acid may be assessed earlier to allow second-line therapy in patients with unresponsive primary biliary cholangitis. Dig Dis Sci 2023;68:514-520.

191. Murillo Perez CF, Ioannou S, Hassanally I, et al;Global PBC Study Group. Optimizing therapy in primary biliary cholangitis:Alkaline phosphatase at six months identifies one-year non-responders and predicts survival. Liver Int 2023;43:1497-1506.

192. Pellicciari R, Fiorucci S, Camaioni E, et al. 6alpha-ethyl-chenodeoxycholic acid (6-ECDCA), a potent and selective FXR agonist endowed with anticholestatic activity. J Med Chem 2002;45:3569-3572.

193. Murillo Perez CF, Fisher H, Hiu S, et al;GLOBAL PBC Study Group and the members of the UK-PBC Consortium. Greater transplant-free survival in patients receiving obeticholic acid for primary biliary cholangitis in a clinical trial setting compared to real-world external controls. Gastroenterology 2022;163:1630-1642.

194. Abbas N, Smith R, Flack S, et al;UK-PBC audit group. Critical shortfalls in the management of PBC:results of a UK-wide, population-based evaluation of care delivery. JHEP Rep 2024;6:100931.

195. D'Amato D, De Vincentis A, Malinverno F, et al;Italian PBC Registry and the Club Epatologi Ospedalieri (CLEO)/Associazione Italiana Gastroenterologi ed Endoscopisti Digestivi Ospedalieri (AIGO) PBC Study Group. Real-world experience with obeticholic acid in patients with primary biliary cholangitis. JHEP Rep 2021;3:100248.

196. Gomez E, Garcia Buey L, Molina E, et al;IBER-PBC leading Cooperative Group. Effectiveness and safety of obeticholic acid in a Southern European multicentre cohort of patients with primary biliary cholangitis and suboptimal response to ursodeoxycholic acid. Aliment Pharmacol Ther 2021;53:519-530.

197. Roberts SB, Ismail M, Kanagalingam G, et al;Canadian Network for Autoimmune Liver Disease. Real-world effectiveness of obeticholic acid in patients with primary biliary cholangitis. Hepatol Commun 2020;4:1332-1345.

198. Kowdley KV, Hirschfield GM, Coombs C, et al. COBALT:a confirmatory trial of obeticholic acid in primary biliary cholangitis with placebo and external controls. Am J Gastroenterol 2025;120:390-400.

199. Wagner N, Wagner KD. The role of PPARs in disease. Cells 2020;9:2367.

200. Mirza AZ, Althagafi II, Shamshad H. Role of PPAR receptor in different diseases and their ligands:physiological importance and clinical implications. Eur J Med Chem 2019;166:502-513.

201. Dubois V, Eeckhoute J, Lefebvre P, Staels B. Distinct but complementary contributions of PPAR isotypes to energy homeostasis. J Clin Invest 2017;127:1202-1214.

202. Rudic JS, Poropat G, Krstic MN, Bjelakovic G, Gluud C. Bezafibrate for primary biliary cirrhosis. Cochrane Database Syst Rev 2012;1:CD009145.

203. Grigorian AY, Mardini HE, Corpechot C, Poupon R, Levy C. Fenofibrate is effective adjunctive therapy in the treatment of primary biliary cirrhosis:a meta-analysis. Clin Res Hepatol Gastroenterol 2015;39:296-306.

204. Corpechot C, Chazouillères O, Rousseau A, et al. A placebo-controlled trial of bezafibrate in primary biliary cholangitis. N Engl J Med 2018;378:2171-2181.

205. Tanaka A, Hirohara J, Nakano T, et al. Association of bezafibrate with transplant-free survival in patients with primary biliary cholangitis. J Hepatol 2021;75:565-571.

206. de Vries E, Bolier R, Goet J, et al;Netherlands Association for the Study of the Liver-Cholestasis Working Group. Fibrates for itch (FITCH) in fibrosing cholangiopathies:a double-blind, randomized, placebo-controlled trial. Gastroenterology 2021;160:734-743.

207. Cheung AC, Lapointe-Shaw L, Kowgier M, et al. Combined ursodeoxycholic acid (UDCA) and fenofibrate in primary biliary cholangitis patients with incomplete UDCA response may improve outcomes. Aliment Pharmacol Ther 2016;43:283-293.

208. Ding D, Guo G, Liu Y, et al. Efficacy and safety of fenofibrate addition therapy in patients with cirrhotic primary biliary cholangitis with incomplete response to ursodeoxycholic acid. Hepatol Commun 2022;6:3487-3495.

209. Schattenberg JM, Pares A, Kowdley KV, et al. A randomized placebo-controlled trial of elafibranor in patients with primary biliary cholangitis and incomplete response to UDCA. J Hepatol 2021;74:1344-1354.

210. Bowlus CL, Galambos MR, Aspinall RJ, et al. A phase II, randomized, open-label, 52-week study of seladelpar in patients with primary biliary cholangitis. J Hepatol 2022;77:353-364.

211. Hirschfield GM, Shiffman ML, Gulamhusein A, et al;ENHANCE Study Group*. Seladelpar efficacy and safety at 3 months in patients with primary biliary cholangitis:ENHANCE, a phase 3, randomized, placebo-controlled study. Hepatology 2023;78:397-415.

212. Levy C, Trivedi PJ, Kowdley KV, et al;ASSURE Investigators. Long-term efficacy and safety of selective PPARd agonist seladelpar in primary biliary cholangitis:ASSURE interim study results. Am J Gastroenterol 2025, June 24 [Online ahead of print]. doi:10.14309/ajg.0000000000003603

213. Kowdley KV, Victor DW 3rd, MacEwan JP, et al. Longitudinal relationship between elevated liver biochemical tests and negative clinical outcomes in primary biliary cholangitis:a population-based study. Aliment Pharmacol Ther 2025;61:1775-1784.

214. Martins A, Levy C. The impact of deep response to ursodeoxycholic acid in primary biliary cholangitis - should it be the new clinical standard?Curr Opin Gastroenterol 2025;41:74-80.

215. Roberts SB, Choi WJ, Worobetz L, et al;Canadian Network for Autoimmune Liver disease (CaNAL). Loss of biochemical response at any time worsens outcomes in UDCA-treated patients with primary biliary cholangitis. JHEP Rep 2024;6:101168.

216. Liu Y, Han K, Liu C, Duan F, Cheng J, Yang S. Clinical characteristics and prognosis of concomitant primary biliary cholangitis and autoimmune diseases:a retrospective study. Can J Gastroenterol Hepatol 2021;2021:5557814.

217. Hu YF, Li SX, Liu HL, et al. Precirrhotic primary biliary cholangitis with portal hypertension:bile duct injury correlate. Gut Liver 2024;18:867-876.

218. Zhang Y, Lai H, Chen J, et al. Clinically significant portal hypertension in patients with primary biliary cholangitis:clinicopathological features and prognostic value. Ann Hepatol 2025;30:101577.

219. Ali AH, Sinakos E, Silveira MG, Jorgensen RA, Angulo P, Lindor KD. Varices in early histological stage primary biliary cirrhosis. J Clin Gastroenterol 2011;45:e66-e71.

220. de Franchis R, Bosch J, Garcia-Tsao G, Reiberger T, Ripoll C;Baveno VII Faculty. Baveno VII - renewing consensus in portal hypertension. J Hepatol 2022;76:959-974.

221. Maruyama H, Kondo T, Sekimoto T, et al. Retrograde detection of the intrahepatic portal vein in primary biliary cirrhosis:is sinusoidal blockage the underlying pathophysiology?Eur J Gastroenterol Hepatol 2015;27:321-327.

222. Zhu H, Zheng M, He H, et al. Development and external validation of an early prediction model to identify irresponsive patients and prognosis of UDCA treatment in primary biliary cholangitis. Sci Rep 2024;14:31369.

223. Han L, Xie H, Ma XM, et al. Risk factors for esophagogastric variceal-related poor outcomes in primary biliary cholangitis:a prospective cohort study. ILIVER 2024;3:100081.

224. European Association for the Study of the Liver. EASL Clinical Practice Guidelines on acute-on-chronic liver failure. J Hepatol 2023;79:461-491.

225. Schönau J, Wester A, Schattenberg JM, Hagström H. Risk of cancer and subsequent mortality in primary biliary cholangitis:a population-based cohort study of 3052 patients. Gastro Hep Adv 2023;2:879-888.

226. Trivedi PJ, Lammers WJ, van Buuren HR, et al;Global PBC Study Group. Stratification of hepatocellular carcinoma risk in primary biliary cirrhosis:a multicentre international study. Gut 2016;65:321-329.

227. Jones DE, Metcalf JV, Collier JD, Bassendine MF, James OF. Hepatocellular carcinoma in primary biliary cirrhosis and its impact on outcomes. Hepatology 1997;26:1138-1142.

228. Sy AM, Ferreira RD, John BV. Hepatocellular carcinoma in primary biliary cholangitis. Clin Liver Dis 2022;26:691-704.

229. Rigopoulou EI, Dalekos GN. Current trends and characteristics of hepatocellular carcinoma in patients with autoimmune liver diseases. Cancers (Basel) 2021;13:1023.

230. Lim J, Kim YJ, Kim S, Choi J. Risk of hepatocellular carcinoma in Asian patients with primary biliary cholangitis:A nationwide and hospital cohort study. JHEP Rep 2025;7:101251.

231. Giannini EG, Pieri G, Labanca S, et al;Italian Liver Cancer (ITA.LI.CA) Study Group. Characteristics and survival of patients with primary biliary cholangitis and hepatocellular carcinoma. Dig Liver Dis 2022;54:1215-1221.

232. Singal AG, Zhang E, Narasimman M, et al. HCC surveillance improves early detection, curative treatment receipt, and survival in patients with cirrhosis:a meta-analysis. J Hepatol 2022;77:128-139.

233. Singal AG, Llovet JM, Yarchoan M, et al. AASLD Practice Guidance on prevention, diagnosis, and treatment of hepatocellular carcinoma. Hepatology 2023;78:1922-1965.

234. European Association for the Study of the Liver. EASL Clinical Practice Guidelines on the management of hepatocellular carcinoma. J Hepatol 2025;82:315-374.

235. Giannini EG, Pasta A, Labanca S, Pieri G, Marenco S, Plaz Torres MC. Surveillance for hepatocellular carcinoma in patients with primary biliary cholangitis:for all or just for some?JHEP Rep 2025;7:101362.

236. Zhang Y, Hu X, Chang J, et al. The liver steatosis severity and lipid characteristics in primary biliary cholangitis. BMC Gastroenterol 2021;21:395.

237. Loaeza-Del Castillo AM, Gaytán-Santillán A, López-Tello A, et al. Patterns of serum lipids derangements and cardiovascular risk assessment in patients with primary biliary cholangitis. Ann Hepatol 2019;18:879-882.

238. Mach F, Koskinas KC, Roeters van Lennep JE, et al;ESC/EAS Scientific Document Group. 2025 Focused Update of the 2019 ESC/EAS Guidelines for the management of dyslipidaemias. Eur Heart J 2025;46:4359-4378.

239. Rogalska M, Błachnio-Zabielska A, Zabielski P, et al. Acylcarnitine and free fatty acid profiles in primary biliary cholangitis:associations with fibrosis and inflammation. Nutrients 2025;17:1097.

240. Andrès E, Lorenzo-Villalba N, Terrade JE, Méndez-Bailon M. Fat-soluble vitamins A, D, E, and K:review of the literature and points of interest for the clinician. J Clin Med 2024;13:3641.

241. Wang Z, Peng C, Wang P, et al. Serum vitamin D level is related to disease progression in primary biliary cholangitis. Scand J Gastroenterol 2020;55:1333-1340.

242. Ebadi M, Ip S, Lytvyak E, et al. Vitamin D is associated with clinical outcomes in patients with primary biliary cholangitis. Nutrients 2022;14:878.

243. Lim J, Kim YJ, Kim S, Choi J. Increased risk of fragility fractures in patients with primary biliary cholangitis. JBMR Plus 2024;8:ziae056.

244. Schönau J, Wester A, Schattenberg JM, Hagström H. Risk of fractures and postfracture mortality in 3980 people with primary biliary cholangitis:a population-based cohort study. J Intern Med 2023;294:164-177.

245. Danford CJ, Trivedi HD, Papamichael K, Tapper EB, Bonder A. Osteoporosis in primary biliary cholangitis. World J Gastroenterol 2018;24:3513-3520.

246. Glass LM, Su GL. Metabolic bone disease in primary biliary cirrhosis. Gastroenterol Clin North Am 2016;45:333-343.

247. Guañabens N, Monegal A, CerdáD, et al. Randomized trial comparing monthly ibandronate and weekly alendronate for osteoporosis in patients with primary biliary cirrhosis. Hepatology 2013;58:2070-2078.

248. Zein CO, Jorgensen RA, Clarke B, et al. Alendronate improves bone mineral density in primary biliary cirrhosis:a randomized placebo-controlled trial. Hepatology 2005;42:762-771.

249. Cryer B, Bauer DC. Oral bisphosphonates and upper gastrointestinal tract problems:what is the evidence?Mayo Clin Proc 2002;77:1031-1043.

250. Ormarsdóttir S, Mallmin H, Naessén T, et al. An open, randomized, controlled study of transdermal hormone replacement therapy on the rate of bone loss in primary biliary cirrhosis. J Intern Med 2004;256:63-69.

251. de Villiers TJ, Gass ML, Haines CJ, et al. Global consensus statement on menopausal hormone therapy. Maturitas 2013;74:391-392.

252. Khanna A, Leighton J, Lee Wong L, Jones DE. Symptoms of PBC - pathophysiology and management. Best Pract Res Clin Gastroenterol 2018;34-35:41-47.

253. Mayo MJ, Carey E, Smith HT, et al;TARGET-PBC Investigators. Impact of pruritus on quality of life and current treatment patterns in patients with primary biliary cholangitis. Dig Dis Sci 2023;68:995-1005.

254. Düll MM, Kremer AE. Evaluation and management of pruritus in primary biliary cholangitis. Clin Liver Dis 2022;26:727-745.

255. Jones EA, Bergasa NV. The pruritus of cholestasis. Hepatology 1999;29:1003-1006.

256. Mayo MJ, Carey E, Smith HT, et al;TARGET-PBC Investigators. Impact of pruritus on quality of life and current treatment patterns in patients with primary biliary cholangitis. Dig Dis Sci 2023;68:995-1005.

257. Bergasa NV. The pruritus of cholestasis:from bile acids to opiate agonists:Relevant after all these years. Med Hypotheses 2018;110:86-89.

258. Pate J, Gutierrez JA, Frenette CT, et al. Practical strategies for pruritus management in the obeticholic acid-treated patient with PBC:proceedings from the 2018 expert panel. BMJ Open Gastroenterol 2019;6:e000256.

259. Gooding SM, Canter PH, Coelho HF, Boddy K, Ernst E. Systematic review of topical capsaicin in the treatment of pruritus. Int J Dermatol 2010;49:858-865.

260. Hawro T, Fluhr JW, Mengeaud V, et al. Polidocanol inhibits cowhage- but not histamine-induced itch in humans. Exp Dermatol 2014;23:922-923.

261. Haught JM, Jukic DM, English JC 3rd. Hydroxyethyl starch-induced pruritus relieved by a combination of menthol and camphor. J Am Acad Dermatol 2008;59:151-153.

262. Hegade VS, Kendrick SF, Jones DE. Drug treatment of pruritus in liver diseases. Clin Med (Lond) 2015;15:351-357.

263. Datta DV, Sherlock S. Cholestyramine for long term relief of the pruritus complicating intrahepatic cholestasis. Gastroenterology 1966;50:323-332.

264. Kuiper EM, van Erpecum KJ, Beuers U, et al. The potent bile acid sequestrant colesevelam is not effective in cholestatic pruritus:results of a double-blind, randomized, placebo-controlled trial. Hepatology 2010;52:1334-1340.

265. Duncan JS, Kennedy HJ, Triger DR. Treatment of pruritus due to chronic obstructive liver disease. Br Med J (Clin Res Ed) 1984;289:22.

266. Medina-Morales E, Barba Bernal R, Gerger H, et al. Pharmacological therapy of pruritus in primary biliary cholangitis:a systematic review and meta-analysis of randomized clinical trials. J Clin Gastroenterol 2023;57:143-152.

267. Khurana S, Singh P. Rifampin is safe for treatment of pruritus due to chronic cholestasis:a meta-analysis of prospective randomized-controlled trials. Liver Int 2006;26:943-948.

268. Mansour-Ghanaei F, Taheri A, Froutan H, et al. Effect of oral naltrexone on pruritus in cholestatic patients. World J Gastroenterol 2006;12:1125-1128.

269. Wolfhagen FH, Sternieri E, Hop WC, Vitale G, Bertolotti M, Van Buuren HR. Oral naltrexone treatment for cholestatic pruritus:a double-blind, placebo-controlled study. Gastroenterology 1997;113:1264-1269.

270. Terg R, Coronel E, SordáJ, Muñoz AE, Findor J. Efficacy and safety of oral naltrexone treatment for pruritus of cholestasis, a crossover, double blind, placebo-controlled study. J Hepatol 2002;37:717-722.

271. Mayo MJ, Handem I, Saldana S, Jacobe H, Getachew Y, Rush AJ. Sertraline as a first-line treatment for cholestatic pruritus. Hepatology 2007;45:666-674.

272. Browning J, Combes B, Mayo MJ. Long-term efficacy of sertraline as a treatment for cholestatic pruritus in patients with primary biliary cirrhosis. Am J Gastroenterol 2003;98:2736-2741.

273. Bergasa NV, McGee M, Ginsburg IH, Engler D. Gabapentin in patients with the pruritus of cholestasis:a double-blind, randomized, placebo-controlled trial. Hepatology 2006;44:1317-1323.

274. Kamath BM, Stein P, Houwen RHJ, Verkade HJ. Potential of ileal bile acid transporter inhibition as a therapeutic target in Alagille syndrome and progressive familial intrahepatic cholestasis. Liver Int 2020;40:1812-1822.

275. Yi S, Kim I, Hager R, et al. Food and drug administration approval summary:odevixibat (Bylvay) for the treatment of pruritus with progressive familial intrahepatic cholestasis. Gastro Hep Adv 2025;4:100596.

276. Levy C, Kendrick S, Bowlus CL, et al;GLIMMER Study Group. GLIMMER:a randomized phase 2b dose-ranging trial of linerixibat in primary biliary cholangitis patients with pruritus. Clin Gastroenterol Hepatol 2023;21:1902-1912.

277. Hirschfield GM, Bowlus CL, Jones DEJ, et al;GLISTEN Study Group. Linerixibat in patients with primary biliary cholangitis and cholestatic pruritus (GLISTEN):a randomised, multicentre, double-blind, placebo-controlled, phase 3 trial. Lancet Gastroenterol Hepatol 2026;11:22-33.

278. Decock S, Roelandts R, Steenbergen WV, et al. Cholestasis-induced pruritus treated with ultraviolet B phototherapy:an observational case series study. J Hepatol 2012;57:637-641.

279. Bellmann R, Graziadei IW, Feistritzer C, et al. Treatment of refractory cholestatic pruritus after liver transplantation with albumin dialysis. Liver Transpl 2004;10:107-114.

280. Parés A, Herrera M, Avilés J, Sanz M, Mas A. Treatment of resistant pruritus from cholestasis with albumin dialysis:combined analysis of patients from three centers. J Hepatol 2010;53:307-312.

281. European Association for the Study of the Liver. EASL Clinical Practice Guidelines on liver transplantation. J Hepatol 2024;81:1040-1086.

282. Marenco-Flores A, Sierra L, Goyes D, Kahan T, Patwardhan VR, Bonder A. Managing pruritus in chronic liver disease:An in-depth narrative review. Clin Liver Dis (Hoboken) 2024;23:e0187.

283. Jopson L, Jones DE. Fatigue in primary biliary cirrhosis:prevalence, pathogenesis and management. Dig Dis 2015;33(Suppl 2):109-114.

284. Lynch EN, Campani C, Innocenti T, et al. Understanding fatigue in primary biliary cholangitis:From pathophysiology to treatment perspectives. World J Hepatol 2022;14:1111-1119.

285. I Rigopoulou E, Bakarozi M, Dimas I, et al. Total and individual PBC-40 scores are reliable for the assessment of health-related quality of life in Greek patients with primary biliary cholangitis. J Transl Int Med 2023;11:246-254.

286. van Ginneken BT, van den Berg-Emons RJ, van der Windt A, et al. Persistent fatigue in liver transplant recipients:a two-year follow-up study. Clin Transplant 2010;24:E10-E16.

287. Carbone M, Bufton S, Monaco A, Griffiths L, Jones DE, Neuberger JM. The effect of liver transplantation on fatigue in patients with primary biliary cirrhosis:a prospective study. J Hepatol 2013;59:490-494.

288. Martin ML, Stassek L, Blum SI, Joshi AV, Jones D. Development and adaptation of patient-reported outcome measures for patients who experience itch associated with primary biliary cholangitis. J Patient Rep Outcomes 2019;3:2.

289. Montagnese S, Nsemi LM, Cazzagon N, et al. Sleep-wake profiles in patients with primary biliary cirrhosis. Liver Int 2013;33:203-209.

290. Hollingsworth KG, Newton JL, Taylor R, et al. Pilot study of peripheral muscle function in primary biliary cirrhosis:potential implications for fatigue pathogenesis. Clin Gastroenterol Hepatol 2008;6:1041-1048.

291. Freer A, Williams FR, Durman S, Hayden J, Armstrong MJ, Trivedi PJ. A home-based exercise programme attenuates fatigue in primary biliary cholangitis:results from the EXCITED clinical trial. JHEP Rep 2024;6:101210.

292. Arenas YM, Izquierdo-Altarejos P, Martinez-García M, et al. Golexanolone improves fatigue, motor incoordination and gait and memory in rats with bile duct ligation. Liver Int 2024;44:433-445.

293. Kremer AE, Mayo MJ, Hirschfield G, et al. Seladelpar improved measures of pruritus, sleep, and fatigue and decreased serum bile acids in patients with primary biliary cholangitis. Liver Int 2022;42:112-123.

294. Elafibranor long-term efficacy and safety and impact on fatigue in primary biliary cholangitis:interim results from the open-label extension of the ELATIVE trial up to 3 years. Gastroenterol Hepatol (N Y) 2024;20:3-4.

295. Koc OM, Toussaint AK, Untas A, et al. Fatigue in people with primary biliary cholangitis:a position paper from the European Reference Network for Rare Liver Diseases. Lancet Gastroenterol Hepatol 2026;11:71-86.

296. Lins L, ParanáR, Almeida Reis SR, Pereira Falcão AF. Primary biliary cirrhosis and primary Sjögren's syndrome:insights for the stomatologist. Case Rep Gastroenterol 2014;8:251-256.

297. Selmi C, Leung PS, Sherr DH, et al. Mechanisms of environmental influence on human autoimmunity:a National Institute of Environmental Health Sciences expert panel workshop. J Autoimmun 2012;39:272-284.

298. Marino A, Genovali I, Navarini L, et al. Clinical targeted treatment in Sjogren's disease:A systematic literature review for an evidence-based medicine approach. J Autoimmun 2025;153:103416.

299. Tatlipinar S, Akpek EK. Topical ciclosporin in the treatment of ocular surface disorders. Br J Ophthalmol 2005;89:1363-1367.

300. Tsifetaki N, Kitsos G, Paschides CA, et al. Oral pilocarpine for the treatment of ocular symptoms in patients with Sjögren's syndrome:a randomised 12 week controlled study. Ann Rheum Dis 2003;62:1204-1207.

301. Ono M, Takamura E, Shinozaki K, et al. Therapeutic effect of cevimeline on dry eye in patients with Sjögren's syndrome:a randomized, double-blind clinical study. Am J Ophthalmol 2004;138:6-17.

302. Piccioni MG, Merlino L, Deroma M, et al. The impact of primary Sjogren's syndrome on female sexual function. Minerva Ginecol 2020;72:50-54.

303. Crescenzi D, Balducci D, Mazzetti M, et al. Use of nailfold capillaroscopy for the early diagnosis of systemic sclerosis in patients with primary biliary cholangitis. Ann Gastroenterol 2025;38:187-194.

304. Liang Y, Li J, Zhang Z, Jiang T, Yang Z. Extrahepatic conditions of primary biliary cholangitis:a systematic review and meta-analysis of prevalence and risk. Clin Res Hepatol Gastroenterol 2024;48:102321.

305. Mells GF, Pells G, Newton JL, et al;UK-PBC Consortium. Impact of primary biliary cirrhosis on perceived quality of life:the UK-PBC national study. Hepatology 2013;58:273-283.

306. Al-Harthy N, Kumagi T, Coltescu C, Hirschfield GM. The specificity of fatigue in primary biliary cirrhosis:evaluation of a large clinic practice. Hepatology 2010;52:562-570.

307. Sierra L, Ferrigno B, Marenco-Flores A, et al. Primary biliary cholangitis has the worst quality of life indicators among the autoimmune liver diseases:a United States cohort. Ann Hepatol 2025;30:101945.

308. Kim HP, Lieber SR, Rogers ME, et al. A systematic review of patient-reported outcomes in primary biliary cholangitis and primary sclerosing cholangitis. Hepatol Commun 2020;4:1502-1515.

309. Jacoby A, Rannard A, Buck D, et al. Development, validation, and evaluation of the PBC-40, a disease specific health related quality of life measure for primary biliary cirrhosis. Gut 2005;54:1622-1629.

310. Raszeja-Wyszomirska J, Wunsch E, Krawczyk M, et al. Assessment of health related quality of life in Polish patients with primary biliary cirrhosis. Clin Res Hepatol Gastroenterol 2016;40:471-479.

311. Zec S, Popovic D, Matovic V, et al. Translation and validation of the Serbian primary biliary cholangitis-40 questionnaire. PLoS One 2017;12:e0175697.

312. Alrubaiy L, Mells G, Flack S, et al;UK-PBC Research Consortium. PBC-10:a short quality of life measure for clinical screening in primary biliary cholangitis. Aliment Pharmacol Ther 2019;50:1223-1231.

313. Takeuchi A, Abe M, Furukawa S, et al. Validation of PBC-10 in Japanese patients with primary biliary cholangitis. Hepatol Res 2025;55:986-993.

314. Yagi M, Tanaka A, Abe M, et al. Symptoms and health-related quality of life in Japanese patients with primary biliary cholangitis. Sci Rep 2018;8:12542.

315. Orr JG, Homer T, Ternent L, et al. Health related quality of life in people with advanced chronic liver disease. J Hepatol 2014;61:1158-1165.

316. Gungabissoon U, Smith HT, von Maltzahn R, et al. Pruritus in primary biliary cholangitis is under-recorded in patient medical records. BMJ Open Gastroenterol 2024;11:e001287.

317. de Veer RC, da Silva G, van Hooff MC, et al. Measurement properties of the PBC-40 and PBC-27:a Dutch validation study. BMJ Open Gastroenterol 2021;8:e000758.

318. Reich A, Heisig M, Phan NQ, et al. Visual analogue scale:evaluation of the instrument for the assessment of pruritus. Acta Derm Venereol 2012;92:497-501.

319. Erickson S, Kim BS. Research techniques made simple:itch measurement in clinical trials. J Invest Dermatol 2019;139:264-269.

320. Gelhorn H, Currie BM, Bushnell DM, et al. Psychometric validation of the Worst Itch Numerical Rating Scale (WI-NRS) and other patient-reported outcome measures for assessing severity and impact of pruritus in patients with primary biliary cholangitis. Orphanet J Rare Dis 2025;20:390.

321. Al-Dury S, Wahlström A, Wahlin S, et al. Pilot study with IBAT inhibitor A4250 for the treatment of cholestatic pruritus in primary biliary cholangitis. Sci Rep 2018;8:6658.

322. Machado MO, Kang NC, Tai F, et al. Measuring fatigue:a meta-review. Int J Dermatol 2021;60:1053-1069.

323. Prince MI, James OF, Holland NP, Jones DE. Validation of a fatigue impact score in primary biliary cirrhosis:towards a standard for clinical and trial use. J Hepatol 2000;32:368-373.

324. Huet PM, Deslauriers J, Tran A, Faucher C, Charbonneau J. Impact of fatigue on the quality of life of patients with primary biliary cirrhosis. Am J Gastroenterol 2000;95:760-767.

325. Ai X, Yang X, Fu HY, Xu JM, Tang YM. Health-related quality of life questionnaires used in primary biliary cholangitis:a systematic review. Scand J Gastroenterol 2022;57:333-339.

326. Floreani A, Infantolino C, Franceschet I, et al. Pregnancy and primary biliary cirrhosis:a case-control study. Clin Rev Allergy Immunol 2015;48:236-242.

327. Prince MI, Ducker SJ, James OF. Case-control studies of risk factors for primary biliary cirrhosis in two United Kingdom populations. Gut 2010;59:508-512.

328. Harrington L, Ovadia C, Heneghan M, Williamson C. A new diagnosis of primary biliary cholangitis in pregnancy treated with a combination of ursodeoxycholic acid and bezafibrate. Obstet Med 2025;18:276-280.

329. Chahal D, Yoshida EM, Arbour L, Wallach JP. Post-partum primary biliary cholangitis preceded by intrahepatic cholestasis of pregnancy in three first nation patients. Dig Dis Sci 2021;66:1367-1369.

330. Lopes IF, Palma Dos Reis CR, Alves MJ, Calinas F, Borges MA. Primary biliary cholangitis:a rare diagnosis during pregnancy. Obstet Med 2022;15:273-275.

331. Melo D, Areia AL, Moura P. Primary biliary cholangitis first demonstrated in pregnancy:a case report. J Med Case Rep 2022;16:38.

332. Poupon R, Chrétien Y, Chazouillères O, Poupon RE. Pregnancy in women with ursodeoxycholic acid-treated primary biliary cirrhosis. J Hepatol 2005;42:418-419.

333. Efe C, Kahramanoğlu-Aksoy E, Yilmaz B, et al. Pregnancy in women with primary biliary cirrhosis. Autoimmun Rev 2014;13:931-935.

334. European Association for the Study of the Liver. EASL Clinical Practice Guidelines on the management of liver diseases in pregnancy. J Hepatol 2023;79:768-828.

335. Efe C, Ozaslan E, Purnak T. Outcome of pregnancy in patients with autoimmune hepatitis/primary biliary cirrhosis overlap syndrome:a report of two cases. Clin Res Hepatol Gastroenterol 2011;35:687-689.

336. Trivedi PJ, Kumagi T, Al-Harthy N, et al. Good maternal and fetal outcomes for pregnant women with primary biliary cirrhosis. Clin Gastroenterol Hepatol 2014;12:1179-1185.

337. Wei Y, Huang Y, Wang X, et al. Postpartum may be a risk factor for biochemical flares in patients with primary biliary cholangitis:A single-center experience. Clin Rheumatol 2025;44:3733-3742.

338. Goh SK, Gull SE, Alexander GJ. Pregnancy in primary biliary cirrhosis complicated by portal hypertension:report of a case and review of the literature. BJOG 2001;108:760-762.

339. Pal K, Sadanandan DM, Gupta A, et al. Maternal and perinatal outcome in pregnancies complicated with portal hypertension:a systematic review and meta-analysis. Hepatol Int 2023;17:170-179.

340. Rahim MN, Pirani T, Williamson C, Heneghan MA. Management of pregnancy in women with cirrhosis. United European Gastroenterol J 2021;9:110-119.

341. Granito A, Muratori P, Muratori L, et al. Antibodies to SS-A/Ro-52kD and centromere in autoimmune liver disease:a clue to diagnosis and prognosis of primary biliary cirrhosis. Aliment Pharmacol Ther 2007;26:831-838.

342. Popescu MR, Dudu A, Jurcut C, Ciobanu AM, Zagrean AM, Panaitescu AM. A broader perspective on anti-Ro antibodies and their fetal consequences-a case report and literature review. Diagnostics (Basel) 2020;10:478.

343. de Vries E, Beuers U. Ursodeoxycholic acid in pregnancy?J Hepatol 2019;71:1237-1245.

344. Kleess LE, Janicic N. Severe hypertriglyceridemia in pregnancy:a case report and review of the literature. AACE Clin Case Rep 2019;5:e99-e103.

345. Geenes V, Chambers J, Khurana R, et al. Rifampicin in the treatment of severe intrahepatic cholestasis of pregnancy. Eur J Obstet Gynecol Reprod Biol 2015;189:59-63.

346. Alallam A, Barth D, Heathcote EJ. Role of plasmapheresis in the treatment of severe pruritus in pregnant patients with primary biliary cirrhosis:case reports. Can J Gastroenterol 2008;22:505-507.

347. Cauldwell M, Mackie FL, Steer PJ, et al. Pregnancy outcomes in women with primary biliary cholangitis and primary sclerosing cholangitis:a retrospective cohort study. BJOG 2020;127:876-884.

348. El Jamaly H, Eslick GD, Weltman M. Primary biliary cholangitis in pregnancy:a systematic review with meta-analysis. Hepatobiliary Pancreat Dis Int 2022;21:218-225.

349. Li R, Tan J, Yang X, Ning Z. Causal association of primary biliary cholangitis with adverse pregnancy and neonatal outcomes:a two-sample Mendelian randomization study. Int J Womens Health 2025;17:407-415.

350. Ferrigno B, Barba R, Medina-Morales E, Trivedi H, Patwardhan V, Bonder A. Cholestatic liver disease and pregnancy:a systematic review and meta-analysis. J Clin Med 2022;11:1068.

351. Harms MH, Janssen QP, Adam R, et al;European Liver and Intestine Transplant Association (ELITA). Trends in liver transplantation for primary biliary cholangitis in Europe over the past three decades. Aliment Pharmacol Ther 2019;49:285-295.

352. Carbone M, Neuberger JM. Autoimmune liver disease, autoimmunity and liver transplantation. J Hepatol 2014;60:210-223.

353. Cançado GGL, Deeb M, Gulamhusein AF. Liver transplantation for cholestatic liver diseases:timing and disease recurrence. Hepatology 2025;82:1016-1035.

354. Montano-Loza AJ, Hansen BE, Corpechot C, et al;Global PBC Study Group. Factors associated with recurrence of primary biliary cholangitis after liver transplantation and effects on graft and patient survival. Gastroenterology 2019;156:96-107.

355. Corpechot C, Chazouillères O, Belnou P, et al;Global PBC Study Group. Long-term impact of preventive UDCA therapy after transplantation for primary biliary cholangitis. J Hepatol 2020;73:559-565.

356. Nevens F. PBC-transplantation and disease recurrence. Best Pract Res Clin Gastroenterol 2018;34-35:107-111.

357. Khungar V, Goldberg DS. Liver transplantation for cholestatic liver diseases in adults. Clin Liver Dis 2016;20:191-203.

358. Krawczyk M, Koźma M, Szymańska A, et al. Effects of liver transplantation on health-related quality of life in patients with primary biliary cholangitis. Clin Transplant 2018;32:e13434.

359. Pells G, Mells GF, Carbone M, et al;UK-PBC Consortium. The impact of liver transplantation on the phenotype of primary biliary cirrhosis patients in the UK-PBC cohort. J Hepatol 2013;59:67-73.

360. Singal AK, Fang X, Kaif M, et al. Primary biliary cirrhosis has high wait-list mortality among patients listed for liver transplantation. Transpl Int 2017;30:454-462.

361. Genda T, Ichida T, Sakisaka S, et al. Waiting list mortality of patients with primary biliary cirrhosis in the Japanese transplant allocation system. J Gastroenterol 2014;49:324-331.

362. Nagai S, Safwan M, Kitajima T, Yeddula S, Abouljoud M, Moonka D. Disease-specific waitlist outcomes in liver transplantation - a retrospective study. Transpl Int 2021;34:499-513.

363. Suri JS, Danford CJ, Patwardhan V, Bonder A. Mortality on the UNOS waitlist for patients with autoimmune liver disease. J Clin Med 2020;9:319.

364. Reig A, Norman GL, Garcia M, et al. Novel anti-hexokinase 1 antibodies are associated with poor prognosis in patients with primary biliary cholangitis. Am J Gastroenterol 2020;115:1634-1641.

365. Norman GL, Yang CY, Ostendorff HP, et al. Anti-kelch-like 12 and anti-hexokinase 1:novel autoantibodies in primary biliary cirrhosis. Liver Int 2015;35:642-651.

366. Arvaniti P, Zachou K, Lyberopoulou A, et al. Cell-specific epigenome-wide DNA methylation in peripheral CD4(+) lymphocytes from patients with primary biliary cholangitis. J Transl Autoimmun 2025;11:100314.

367. Walker DI, Juran BD, Cheung AC, et al. High-resolution exposomics and metabolomics reveals specific associations in cholestatic liver diseases. Hepatol Commun 2022;6:965-979.

368. Rodrigues PM, Perugorria MJ, Santos-Laso A, Bujanda L, Beuers U, Banales JM. Primary biliary cholangitis:a tale of epigenetically-induced secretory failure?J Hepatol 2018;69:1371-1383.

369. Cielica E, Łaba A, Milkiewicz P, et al. The effect of ursodeoxycholic acid (UDCA) on serum expression of miR-34a and miR-506 in patients with chronic cholestatic liver diseases. Cells 2025;14:1137.

370. Gerussi A, Saldanha OL, Cazzaniga G, et al. Deep learning helps discriminate between autoimmune hepatitis and primary biliary cholangitis. JHEP Rep 2025;7:101198.

371. Carbone M, Nardi A, Flack S, et al;Italian PBC Study Group and the UK–PBC Consortium. Pretreatment prediction of response to ursodeoxycholic acid in primary biliary cholangitis:development and validation of the UDCA Response Score. Lancet Gastroenterol Hepatol 2018;3:626-634.

372. Yagi M, Matsumoto K, Komori A, et al;Japan PBC Study Group (JPBCSG). A validation study of the ursodeoxycholic acid response score in Japanese patients with primary biliary cholangitis. Liver Int 2020;40:1926-1933.

373. Gerussi A, Scaravaglio M, Cristoferi L, et al. Artificial intelligence for precision medicine in autoimmune liver disease. Front Immunol 2022;13:966329.

Notes

Conflict of Interest: None