Lumen-apposing metal stents versus double pigtail plastic stents for early (<4 weeks of illness) endoscopic transluminal drainage of pancreatic necrotic collections

Surinder Singh Ranaa, Sarakshi Mahajanb, Ravi Sharmaa, Gaurav Sharmaa, Mandeep Kangc, Rajesh Guptad

Postgraduate Institute of Medical Education and Research (PGIMER), Chandigarh, India; Washington University, Saint Louis, Missouri, USA

aDepartments of Gastroenterology, Postgraduate Institute of Medical Education and Research (PGIMER), Chandigarh, India (Surinder Singh Rana, Ravi Sharma, Gaurav Sharma); bDepartment of Medicine, Washington University, Saint Louis, Missouri, USA (Sarakshi Mahajan); cDepartment of Radiodiagnosis, Postgraduate Institute of Medical Education and Research (PGIMER), Chandigarh, India (Mandeep Kang); dSurgical Gastroenterology, Postgraduate Institute of Medical Education and Research (PGIMER), Chandigarh, India (Rajesh Gupta)

Correspondence to: Dr Surinder Singh Rana, Professor, Department of Gastroenterology, Postgraduate Institute of Medical Education and Research (PGIMER), Chandigarh 160 012, India, e-mail: drsurinderrana@yahoo.co.in
Received 8 October 2025; accepted 6 December 2025; published online 19 December 2025
DOI: https://doi.org/10.20524/aog.2026.1031
© 2026 Hellenic Society of Gastroenterology

Abstract

Background Pancreatic necrotic collections (PNC) gradually liquefy over time. In the early phase of pancreatitis (<4 weeks), collections contain more solid debris. This study retrospectively compared the safety and efficacy of endoscopic transluminal drainage (ETD) using multiple plastic stents (MPS) vs. lumen-apposing metal stents (LAMS) in early-phase PNC.

Methods A retrospective, single-center, and non-randomized review was conducted of patients who underwent endoscopic ultrasound-guided drainage/debridement of PNC between January 2018 and November 2024. Patients who had early ETD with either MPS or LAMS were included. Data compared included demographics, clinical features, indications, intervention details, need for endoscopic necrosectomy (ETN), complications, need for surgery, and outcomes.

Results Forty-five patients (39 male) received LAMS, and 21 (18 male) received MPS. PNC size and necrotic content were similar between groups. Technical success was 100% in both groups, but clinical success was significantly higher with LAMS (89% vs. 48%; P<0.001). ETN was more frequent in the MPS group (86% vs. 58%; P=0.02), as was the mean number of procedures (6.1 vs. 4.1; P=0.009). MPS was associated with higher mortality (19% vs. 6%), need for surgical necrosectomy (52% vs. 11%), and post-procedure bleeding (24% vs. 11%).

Conclusion LAMS seem to be superior to MPS for ETD of early-phase symptomatic PNC, showing higher clinical success, with fewer complications, procedures and rescue surgical interventions.

Keywords Pancreatitis, lumen-apposing metal stents, necrosectomy, computed tomography, endosonography

Ann Gastroenterol 2026; 39 (1): 71-78


Introduction

Being both safe and effective, endoscopic transluminal drainage (ETD) is the preferred minimally invasive intervention for endoscopically accessible pancreatic necrotic collections (PNC) [1]. ETD involves a staged step-up treatment approach, with initial drainage followed by endoscopic transluminal necrosectomy (ETN) if required, and can be performed using either multiple plastic stents (MPS) or lumen-apposing metal stents (LAMS) [2]. The introduction of LAMS has been considered a game changer in ETD of pancreatic necrosis, as these stents can be deployed faster and more easily, while their larger diameters allow better drainage than plastic stents, especially of solid necrotic debris, as well as easier ETN [3,4]. However, LAMS are considerably more expensive than plastic stents, and this extra cost can only be justified if it results in superior clinical outcomes.

Studies comparing metal and plastic stents for endoscopic ultrasound (EUS)-guided drainage of PNC have yielded conflicting results. A few studies and meta-analyses have reported superior clinical outcomes with LAMS compared to plastic stents, including higher clinical success rates and fewer adverse effects [5-9]. Conversely, several studies—including randomized controlled trials and meta-analyses—have shown that metal and plastic stents have comparable clinical efficacy, with metal stents only offering the advantage of achieving clinical success with fewer procedures and a shorter overall treatment duration [10-16]. Moreover, metal stents have been associated with a greater risk of formation of pseudoaneurysms and post-procedure bleeding [17].

These conflicting results could be due to the varying morphology of the PNC, as collections having more solid necrotic debris have been reported to require more aggressive drainage, including the need for ETN [18]. It is possible that LAMS may be more effective than MPS in patients with PNC that have a higher proportion of solid necrotic content. The PNC gradually liquefy with time, and collections in the early phase of illness (<4 weeks after the onset of attack of pancreatitis) have more solid content as compared to collections in the delayed phase (≥4 weeks of illness) [19-22]. Therefore, we retrospectively evaluated the safety and efficacy of ETD of PNC in the early phase (<4 weeks of illness), comparing MPS with LAMS.

Patients and methods

The endoscopic database of our unit was retrospectively searched for all patients who had undergone EUS-guided drainage/debridement of PNC between January 2018 and December 2023. We identified those treated with early (<4 weeks from the onset of acute pancreatitis) ETD, using either MPS (7 or 10 Fr) or LAMS (NAGI stent, 14 or 16 mm, Taewoong Medical Co., Ltd., Seoul, Korea; or Plumber Stent, 16 mm diameter, MI Tech Gyeonggi-Do, 17706, Korea; or Hot Axios stent, 15/20 mm diameter, Boston Scientific, Natick, MA, USA). The patients included in this retrospective analysis had been diagnosed with acute necrotising pancreatitis, based on contrast-enhanced cross-sectional imaging performed between days 3 and 7 of the onset of illness (as per the revised Atlanta classification), and had subsequently developed symptomatic PNC requiring endoscopic drainage within 4 weeks of the onset of symptoms of acute pancreatitis [23]. Patients with underlying chronic pancreatitis, prior endoscopic or radiological intervention, endoscopic intervention for gastrointestinal fistulation of PNC, severe coagulopathy or cardiorespiratory illness precluding safe endoscopic drainage were excluded. Patients with incomplete data or unclear onset dates of acute pancreatitis symptoms were also excluded from the study. The collections were drained if the patient had persistent sepsis (persistent, worsening or new-onset organ failure, fever, leukocytosis) despite intravenous antibiotics, persistent abdominal pain despite nasojejunal feeding as well as analgesics, or persistent biliary or gastric outlet obstruction. Endoscopic drainage was performed after the patient gave detailed informed consent, and the study protocol for retrospective analysis was approved by the institute’s ethics committee. The patients included were divided into 2 groups, according to whether the initial EUS-guided drainage used MPS or LAMS. Patient demographics, etiology of acute pancreatitis, size, morphology and location of PNC, technical details of the procedure, the type of stent used, outcome details and procedural complications were retrieved from the database. The choice of stents used was determined by patients’ preference, predominantly based on economic affordability. Encapsulation of PNC was evaluated on contrast-enhanced computed tomography (CT) by an experienced radiologist. Collections were considered ‘completely encapsulated’ if a well-defined wall surrounding the collection was clearly visualised. Interobserver reliability was not formally assessed, but all scans were reviewed in consensus when uncertainty existed.

EUS-guided transmural drainage of PNC

The EUS-guided transmural drainage was performed by a single endoscopist (author SSR) with the patient under conscious sedation using intravenous midazolam and pentazocine. Patients were given broad-spectrum intravenous antibiotics before the procedure and continued orally/intravenously post-procedure at the treating clinician’s discretion. The antibiotics were modified according to the culture and sensitivity reports on the drained necrotic fluid. EUS-guided drainage was performed using a linear scanning echoendoscope (EG-3870 UTK linear echoendoscope, Pentax Inc., Tokyo, Japan; or UCT180 linear echoendoscope, Olympus Optical Co. Ltd., Tokyo, Japan). Before embarking upon drainage, the morphology of the PNC was evaluated in detail, and an attempt was made to quantify the amount of solid debris evident in the form of echogenic contents, as a percentage of the total size of the collection. This quantification was an approximate visual judgment made by the endoscopist. The transmural drainage was performed under endoscopic and fluoroscopic guidance, using MPS or LAMS. Patients in the MPS group also underwent placement of an additional nasocystic drain for irrigation and aspiration. After initial drainage with either a plastic or metal stent, the patients were reassessed clinically, and with a contrast-enhanced CT of the abdomen, 3 days after the initial drainage. No further intervention was made in patients who responded clinically, along with a >50% reduction in the size of the PNC. However, patients who did not improve, or had new-onset organ failure or fever along with a <50% reduction in the size of the collection, underwent additional endoscopic procedures as described below. Patients with clinical improvement but <50% reduction in the size of PNC were followed up, and further interventions were chosen depending on the onset of new symptoms or clinical deterioration.

The nasocystic drain was removed in patients in the MPS group who responded clinically, with a reduction in the collection size by >50%, and the plastic stents were left in situ until resolution. Non-responders, as described above, underwent exchange of MPS or ETN at the treating endoscopist’s discretion. ETN was performed after the removal of MPS and the stents were replaced after the completion of necrosectomy. Additional sessions of ETN were performed, if needed, after assessment of the clinical response and imaging findings at intervals of 3 to 5 days after the ETN. Patients with LAMS underwent ETN through the stent, and hydrogen peroxide-assisted necrosectomy, in both groups, was performed at the discretion of the treating endoscopist. During ETN, the use of suction and irrigation was individualized. Patients with minimal adherent debris required only limited irrigation and suction for clearance, whereas those with extensive solid necrotic material required irrigation combined with suction for adequate debridement. Non-responders to ETN, or patients who developed complications during ETD, underwent further radiological or surgical interventions after an interdisciplinary consultation involving an interventional endoscopist, a radiologist and a pancreatic surgeon.

Follow up after resolution of PNC

In patients with symptomatic improvement and resolved PNC on imaging, endoscopic retrograde cholangiopancreatography or magnetic resonance cholangiography was performed to delineate and evaluate the status of the pancreatic duct.

MPS group

  • Normal pancreatic duct: All transmural plastic stents were removed.

  • Partial main duct disruption: A transpapillary stent was placed across the disruption and later removed, along with the transmural stents, once the disruption had resolved.

  • Disconnected pancreatic duct: One or more transmural stents were left in situ indefinitely.

LAMS Group

  • Normal pancreatic duct: The LAMS was removed.

  • Partial main duct disruption: The LAMS was removed, and a transpapillary stent was placed across the disruption, which was subsequently removed after resolution had been documented.

  • Disconnected pancreatic duct: An attempt was made to replace the LAMS with a 7- or 10-Fr double pigtail plastic stent.

Study definitions

Technical success was defined as placing an EUS-guided stent (plastic or LAMS) in an initial attempt. Clinical success was defined as resolution of the symptoms that prompted drainage, along with radiological reduction of the PNC to ≤2 cm in maximal diameter, and with no need for surgical intervention. The number of procedures reported in this study refers specifically to ETN sessions performed to achieve clinical success. Routine stent exchanges, follow-up CT scans or other imaging studies were not included in this count. The complications of the endoscopic procedure were diagnosed according to the American Society for Gastrointestinal Endoscopy’s lexicon [24].

Outcome parameters

Patients were followed after ETD until complete recovery or death. The 2 groups were compared with regard to baseline demographic features, clinical characteristics, indications of interventions, number and types of interventions performed, need for ETN, post-procedure complications, need for surgery and final outcome.

Statistical analysis

The qualitative data were presented as percentages, and the quantitative data were expressed as mean ± standard deviation or median and range, as applicable. Student’s t-test and the Mann–Whitney U-test were used to analyse quantitative data. The qualitative data were analyzed using Pearson’s chi-square and Fisher’s exact tests. A 2-tailed P=0.05 was considered statistically significant.

Results

Forty-five patients—39 (86.6%) male; age 38.5±7.8 years—underwent ETD using LAMS, whereas 21 patients—18 (85.7%) male; age 35.8±7.9 years—underwent ETD using MPS (Fig. 1). The demographic profile was comparable between the 2 groups, with alcohol being the commonest etiology in both groups (Table 1). Infection was the most common indication for drainage in both groups (84.4% and 80% in LAMS vs. MPS, respectively; P=NS). At the time of drainage, organ failure was present in 14 (31%) patients in the LAMS group vs. 7 (33.3%) patients in the MPS group. The mean size of the PNC was similar in both groups (LAMS vs. MPS: 11.6±1.9 cm and 11.8±2.3 cm; P=0.73, as was the percentage of solid necrotic content (39.1±9.9% and 38.8±10.9%, respectively; P=0.92). Completely encapsulated collections were observed in 71% of patients in the LAMS group and 76% in the MPS group, with no statistically significant difference between the groups. A majority of patients in both groups underwent trans-gastric drainage (95.5% vs. 95.2%, for LAMS and MPS, respectively). There was no significant difference between the 2 groups in the mean duration from the index attack of acute pancreatitis to the intervention (23.4±2.4 vs. 24.4±2.1 days, for LAMS and MPS, respectively).

thumblarge

Figure 1 Study flow chart EUS, endoscopic ultrasound; PNC, pancreatic necrotic collection

Table 1 Demographic profile and outcomes of 66 patients undergoing endoscopic transluminal drainage

thumblarge

The procedure was technically successful in all patients in both groups (Fig. 2,3), whereas clinical success was significantly higher in the LAMS group: 40 (89%) patients vs. 10 (48%) patients; P<0.001. All patients in the LAMS group underwent stent removal within 6 weeks of placement, as per protocol. In the LAMS group, 5 patients required rescue surgery because of bleeding accompanied by ongoing sepsis (during necrosectomy in 3 patients and post necrosectomy in 2 patients) and persistent necrotic collection, whereas 11 (52%) patients in the MPS group required rescue surgery (bleeding resulting in hemodynamic compromise in 5 patients, during necrosectomy in 4 patients and post necrosectomy in 1 patient, and ongoing sepsis with persistent necrotic collection in 6 patients). ETN was performed more frequently in the MPS group than in the LAMS group: 18 (86%) patients vs. 26 (58%) patients, respectively; P=0.02. Patients with MPS required more necrosectomy sessions to achieve a successful outcome compared to those with LAMS (6.1±1.9 vs. 4.1±1.1; P=0.009). Additional percutaneous drainage was needed more frequently in the MPS group than in the LAMS group: 10 (47.1%) vs. 6 (13%), respectively; P=0.004. Patients in the LAMS group required fewer days for resolution compared to the MPS group: mean of 22 days vs. 34 days; P<0.001. Four (19%) patients in the MPS group succumbed to their illness as compared to 3 (6%) patients in the LAMS group (P=0.19).

thumblarge

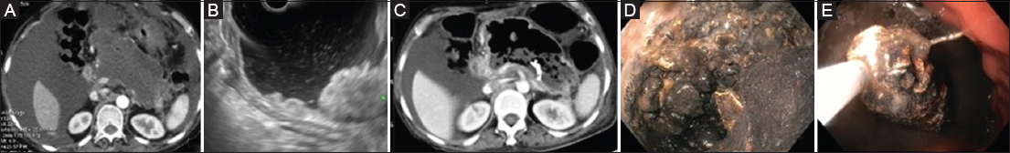
Figure 2 (A) An ill-defined necrotic collection (day 23 or illness). (B) EUS showing solid necrotic debris. (C) CT 3 days after transmural plastic stent placement: liquid content drained out with solid. Necrotic content remaining. (D) Endoscope taken into the cavity after dilation of the transmural tract: significant solid debris present. (E) DEN being performed EUS, endoscopic ultrasound; CT, computed tomography; DEN, direct endoscopic necrosectomy

thumblarge

Figure 3 (A) Computed tomography at day 19: an ill-defined pancreatic necrosis. (B) LAMS being deployed. (C) Computed tomography after metal stent placement. (D) Cap-assisted endoscopic necrosectomy LAMS, lumen-apposing metal stents

Discussion

Traditionally, intervention in PNC is deferred for at least 4 weeks to allow the collection to encapsulate and form a mature wall, as well as to enable clear demarcation between viable and necrotic tissue [25]. This delay reduces procedural risk and improves the efficacy of the intervention. However, in clinical practice, early intervention (within 4 weeks) is sometimes necessary when infected necrosis leads to clinical deterioration despite antibiotic therapy. Percutaneous drainage has traditionally been the preferred intervention for managing PNC during the early phase of illness, and is the initial intervention in the step-up management approach to pancreatic necrosis [26]. Recent advances in endoscopic techniques have enabled safe drainage of pancreatic necrosis even in the early phase, challenging historical paradigms. However, endoscopic drainage in the early phase of illness is challenging, because necrotic collections at this time are often poorly demarcated and not yet walled off, increasing the risk of procedural complications [27,28].

Endoscopic transmural drainage can be accomplished using MPS or LAMS. Bang et al reported a meta-analysis comparing the clinical outcomes of patients included in randomized trials treated using LAMS or plastic stents and concluded that, except for procedure duration, there were no significant differences in clinical outcomes for patients with walled-off necrosis (WON) treated using LAMS or plastic stents [16]. Similarly, another recent meta-analysis reported no significant differences between metal and plastic stents in terms of efficacy and safety outcomes, except that metal stents were associated with a shorter procedural duration [29]. A recent meta-analysis of 7 studies reported that metal stents are associated with shorter procedure times and better clinical success at 4 weeks, although they come at a higher cost. Despite these advantages, most clinical outcomes showed no significant differences between metal and other types of stents [30]. A recent randomized study compared MPS and LAMS in 42 patients with large (>15 cm) WON. The clinical success rates were 95.5% and 94.7%, respectively (P=0.10). The mean number of necrosectomies was 2.2 vs. 3.2 (P=0.42), with similar rates of adverse events reported between the groups [31]. The authors concluded that, for treating large WON, LAMS are not superior to MPS. The aforementioned studies have compared the efficacy of LAMS and MPS in the delayed phase of pancreatitis; however, as far as we can determine from the literature, no study has evaluated the efficacy of these 2 types of stents in the early phase of the illness (<4 weeks after the onset of acute pancreatitis).

Our study demonstrates that LAMS are safer and more efficacious than MPS for endoscopic transluminal drainage of PNC in the early phase of illness. Patients treated with LAMS showed significantly higher clinical success rates, faster resolution of collections, and less need for both endoscopic necrosectomy and rescue surgery. Moreover, LAMS placement was associated with fewer complications and lower mortality. These findings are probably due to the characteristics of PNC in the early phase of necrotising pancreatitis. Early-phase collections typically contain a higher proportion of solid necrotic debris compared to those encountered in the delayed phase of illness [21]. This increased necrotic burden can hinder effective drainage, posing a challenge when using smaller-caliber plastic stents. The larger diameter of LAMS facilitates better drainage of thick, solid debris, and also allows easy endoscopic access for necrosectomy when necessary, which may explain the superior clinical outcomes observed. The need for rescue surgery was substantially lower in the LAMS group, reflecting better drainage of necrosis and control of infection. Moreover, ETN was performed less frequently, and fewer sessions were required in the LAMS group, indicating more efficient clearance of necrotic tissue. In addition, mortality was lower in the LAMS group (6% vs. 19%)—though this difference did not reach statistical significance, probably because of the small sample size.

Recent prospective data from other studies have further refined our understanding of early intervention strategies and risk stratification in this patient population. Vanella et al validated the Quadrant-Necrosis-Infection (QNI) score, showing that necrosis ≥60% and a high QNI independently predict the need for step-up therapy following EUS-guided drainage [32]. Similarly, the DESTIN Trial, by Bang et al, demonstrated that upfront necrosectomy in infected necrotizing pancreatitis resulted in fewer re-interventions (median 1 vs. 2; P≈0.0027) without any greater mortality, supporting a proactive endoscopic approach in high-risk patients. In the context of our early-phase LAMS strategy, these findings highlight the potential benefit of timely intervention in patients with substantial necrotic burden. While our study did not employ formal scoring systems, the outcomes suggest that early LAMS placement can be safely and effectively used to manage high-risk patients, potentially reducing the need for additional procedures. Future studies incorporating standardised necrosis assessment tools, such as the QNI score, may help optimise patient selection and refine intervention timings.

Our LAMS cohort experienced fewer bleeding events compared to plastic stents. A previous study comparing these 2 stents reported a greater risk of pseudoaneurysm bleeding with LAMS [17]. This discrepancy may reflect differences in patient selection, timing of intervention and stent management protocols. Regardless, these findings underscore the importance of vigilant monitoring for vascular complications following LAMS placement. Moreover, while LAMS offers technical advantages, including ease of deployment and a potential reduction in procedural interventions, its higher cost and limited availability may limit its widespread use in low-resource settings. In contrast, plastic stents are more affordable and widely accessible, although they may require more frequent interventions and longer procedural times. Consideration of both clinical efficacy and resource constraints is therefore important when selecting the most appropriate drainage strategy.

Despite the promising findings, this study has several limitations. First, the sample size was relatively small, particularly in the MPS group, which may have limited the power to detect differences in less frequent outcomes, such as mortality. Second, this was a single-center, non-randomized study, which introduces potential selection bias and limits the generalizability of the results. A major limitation of this study is the non-random allocation of stent type, which was influenced by patient preference and ability to pay. Socioeconomic factors and other unmeasured confounders may have affected outcomes, including rates of rescue surgery and clinical success. While baseline severity indicators were generally similar between groups, while subsequent treatment strategies were guided by clinical needs rather than by economic status, these factors may partially explain the observed differences and should be considered when interpreting the apparent superiority of LAMS in early drainage. In addition, all the endoscopic procedures were performed by skilled endoscopists at a tertiary-level academic center, so the results may not be generalizable to all centers. Another potential limitation of our study is the variation in techniques between the 2 groups, as nasocystic drains were used exclusively in the MPS group. These differences could have influenced clinical outcomes, and should be considered when interpreting the results. Moreover, due to the retrospective design and relatively small sample size, logistic regression analyses could not be performed reliably. Therefore, potential confounding factors could not be fully adjusted and, consequently, the observed differences in outcomes between LAMS and plastic stents may overestimate the true benefit of LAMS. Future studies employing risk-adjusted analyses are warranted to validate these findings. Finally, the use of different stent sizes and manufacturers within each group is also an important limitation. Although all stents were considered appropriate for the clinical indications, this heterogeneity may have introduced variability in procedural outcomes and complication rates.

In conclusion, LAMS appears to be superior to MPS for ETD of symptomatic PNC in the early phase of illness (<4 weeks after the onset of pancreatitis). However, despite the promising results, the risk of complications such as bleeding remains, necessitating careful patient selection and close monitoring. Larger, multicenter randomized trials with longer follow up are warranted to confirm these findings and to evaluate the cost-effectiveness and long-term outcomes of these 2 approaches in the early phase of illness.

Summary Box

What is already known:

  • Endoscopic transluminal drainage (ETD) followed by endoscopic transluminal necrosectomy, if needed, is the preferred minimally invasive, staged step-up approach for endoscopically accessible pancreatic necrotic collections (PNC)

  • Lumen-apposing metal stents (LAMS) and multiple plastic stents (MPS) have similar clinical outcomes in patients with walled-off necrosis, though LAMS are associated with shorter and fewer procedures

What the new findings are:


  • LAMS are safer and more efficacious than MPS for ETD of PNC in the early phase of illness (<4 weeks after the onset of illness), when collections are less encapsulated and contain significant solid necrotic debris

  • Patients treated with LAMS experienced fewer bleeding events compared with those treated with MPS

References

1. Trikudanathan G, Rana SS. Current controversies and challenges in endoscopic management of necrotizing pancreatitis. Clin Gastroenterol Hepatol 2022;20:2717-2721.

2. Jearth V, Rana SS. Endoscopic step up:when and how. Surg Open Sci 2022;10:135-144.

3. Pinto S, Bellizzi S, Badas R, et al. Direct endoscopic necrosectomy:timing and technique. Medicina (Kaunas) 2021;57:1305.

4. Guo J, Saftoiu A, Vilmann P, et al. A multi-institutional consensus on how to perform endoscopic ultrasound-guided peri-pancreatic fluid collection drainage and endoscopic necrosectomy. Endosc Ultrasound 2017;6:285-291.

5. Yoon SB, Lee IS, Choi MG. Metal versus plastic stents for drainage of pancreatic fluid collection:A meta-analysis. United European Gastroenterol J 2018;6:729-738.

6. Hammad T, Khan MA, Alastal Y, et al. Efficacy and safety of lumen-apposing metal stents in management of pancreatic fluid collections:are they better than plastic stents?A systematic review and meta-analysis. Dig Dis Sci 2018;63:289-301.

7. Siddiqui AA, Kowalski TE, Loren DE, et al. Fully covered self-expanding metal stents versus lumen-apposing fully covered self-expanding metal stent versus plastic stents for endoscopic drainage of pancreatic walled-off necrosis:clinical outcomes and success. Gastrointest Endosc 2017;85:758-765.

8. Khizar H, Yufei H, Yanhua W, et al. Safety and efficacy of lumen-apposing metal stents and double-pigtail plastic stents for endoscopic ultrasound-guided drainage of walled-off necrosis;a systematic review and meta-analysis. Ann Med 2023;55:578-591.

9. Tian Y, Yin C, Ma Y, et al. Lumen-apposing metal stents versus traditional self-expanding metal stents for endoscopic ultrasound-guided drainage of pancreatic fluid collections:a systematic review and meta-analysis. Surg Endosc 2024;38:586-596.

10. Mohan BP, Jayaraj M, Asokkumar R, et al. Lumen apposing metal stents in drainage of pancreatic walled-off necrosis, are they any better than plastic stents?A systematic review and meta-analysis of studies published since the revised Atlanta classification of pancreatic fluid collections. Endosc Ultrasound 2019;8:82-90.

11. Guzmán-Calderón E, Chacaltana A, Díaz R, Li B, Martinez-Moreno B, Aparicio JR. Head-to-head comparison between endoscopic ultrasound guided lumen apposing metal stent and plastic stents for the treatment of pancreatic fluid collections:A systematic review and meta-analysis. J Hepatobiliary Pancreat Sci 2022;29:198-211.

12. Bang JY, Hasan MK, Navaneethan U, et al. Lumen-apposing metal stents for drainage of pancreatic fluid collections:when and for whom?Dig Endosc 2017;29:83-90.

13. Gornals JB, Perez-Miranda M, Vazquez-Sequeiros E, et al;Spanish Working Group on Pancreatic Collection Therapy. Multicenter study of plastic vs. -expanding metal stents in endoscopic ultrasound-guided drainage of walled-off pancreatic necrosis - PROMETHEUS:a randomized controlled trial protocol. Trials 2019;20:791.

14. Bang JY, Hawes R, Bartolucci A, Varadarajulu S. Efficacy of metal and plastic stents for transmural drainage of pancreatic fluid collections:a systematic review. Dig Endosc 2015;27:486-498.

15. Rana SS, Sharma R, Dhalaria L, Gupta R. Efficacy and safety of plastic versus lumen-apposing metal stents for transmural drainage of walled-off necrosis:a retrospective single-center study. Ann Gastroenterol 2020;33:426-432.

16. Bang JY, Wilcox CM, Navaneethan U, Hawes RH, Varadarajulu S.Treatment of walled-off necrosis using lumen-apposing metal stents versus plastic stents:a systematic review and meta-analysis of data from randomized trials. Endoscopy 2024;56:184-195.

17. Brimhall B, Han S, Tatman PD, et al. Increased incidence of pseudoaneurysm bleeding with lumen-apposing metal stents compared to double-pigtail plastic stents in patients with peripancreatic fluid collections. Clin Gastroenterol Hepatol 2018;16:1521-1528.

18. Rana SS, Bhasin DK, Sharma RK, Kathiresan J, Gupta R. Do the morphological features of walled off pancreatic necrosis on endoscopic ultrasound determine the outcome of endoscopic transmural drainage?Endosc Ultrasound 2014;3:118-122.

19. Rana SS. An overview of walled-off pancreatic necrosis for clinicians. Expert Rev Gastroenterol Hepatol 2019;13:331-343.

20. Rana SS, Bush N, Kang M, Gupta R. A new entity of walled off extra pancreatic necrosis is associated with better outcomes following endoscopic transmural drainage. J Gastrointestin Liver Dis 2022;31:60-66.

21. Rana SS, Bhasin DK, Reddy YR, et al. Morphological features of fluid collections on endoscopic ultrasound in acute necrotizing pancreatitis:do they change over time?Ann Gastroenterol 2014;27:258-261.

22. Rana SS, Sharma R, Kishore K, Dhalaria L, Gupta R. Safety and efficacy of early (<4 weeks of illness) endoscopic transmural drainage of post-acute pancreatic necrosis predominantly located in the body of the pancreas. J Gastrointest Surg 2021;25:2328-2335.

23. Banks PA, Bollen TL, Dervenis C, et al;Acute Pancreatitis Classification Working Group. Classification of acute pancreatitis—2012:revision of the Atlanta classification and definitions by international consensus. Gut 2013;62:102-111.

24. Cotton PB, Eisen GM, Aabakken L, et al. A lexicon for endoscopic adverse events:report of an ASGE workshop. Gastrointest Endosc 2010;71:446-454.

25. Rana SS. Endoscopic treatment of pancreatic necrosis:still searching for perfection!J Gastroenterol Hepatol 2023;38:1252-1258.

26. Babu RY, Gupta R, Kang M, Bhasin DK, Rana SS, Singh R. Predictors of surgery in patients with severe acute pancreatitis managed by the step-up approach. Ann Surg 2013;257:737-750.

27. Bharath PN, Rana SS. Early endoscopic interventions for pancreatic necrosis:indications, technique, and outcomes. Dig Dis Sci 2024;69:1571-1582.

28. Rana SS. Timing of endoscopic transmural drainage for pancreatic necrosis:expanding the horizon! J Dig Endosc 2023;14:181-184.

29. Saab O, Al-Obaidi H, Algodi M, et al. Metal versus plastic stents for EUS-guided walled-off necrosis drainage:a systematic review and meta-analysis of randomized controlled trials. Surg Endosc 2025;39:2757-2773.

30. Zafar Y, Sohail MU, Ibrahim ZS, et al. Efficacy of metal stents versus plastic stents for treatment of walled-off pancreatic necrosis:a systematic review and meta-analysis. JGH Open 2025;9:70109.

31. Karstensen JG, Novovic S, Hansen EF, et al. EUS-guided drainage of large walled-off pancreatic necroses using plastic versus lumen-apposing metal stents:a single-centre randomised controlled trial. Gut 2023;72:1167-1173.

32. Vanella G, Leone R, Frigo F, et al. Predicting the need for step-up after EUS-guided drainage of peripancreatic fluid collections, including Quadrant-Necrosis-Infection score validation:a prospective cohort study. Gastrointest Endosc 2025;102:362-372.

Notes

Conflict of Interest: None