Evaluation of oral and topical bovine colostrum compared to mesalamine in the treatment of animal model of acetic acid-induced ulcerative colitis

Omid Koohia, Reza Shahriariradb,c, Amirhossein Erfanib,c, Fatemeh Nekoueib,c, Sarvin Seifbehzadb,c, Alireza Ebrahimib, Nader Tanidehd, Masoud Hosseinzadehe, Elham Nadimif, Soheil Ashkani-Esfahanib

Shiraz University of Medical Sciences, Iran

aCentral Research Laboratory, Shiraz University of Medical Sciences (Omid Koohi); bStudent Research Committee, Shiraz University of Medical Sciences (Reza Shahriarirad, Amirhossein Erfani, Fatemeh Nekouei, Sarvin Seifbehzad, Alireza Ebrahimi, Soheil Ashkani-Esfahani); cThoracic and Vascular Surgery Research Center, Shiraz University of Medical Sciences (Reza Shahriarirad, Amirhossein Erfani, Fatemeh Nekouei, Sarvin Seifbehzad); dStem Cell Technology Research Center, Shiraz University of Medical Sciences (Nader Tanideh); eDepartment of Pathology, Shiraz University of Medical Sciences (Masoud Hosseinzadeh); fHistomorphometry and Stereology Research Center, Shiraz University of Medical Sciences (Elham Nadimi); Shiraz, Iran

Correspondence to: Alireza Ebrahimi, MD, Student Research Committee, Shiraz University of Medical Sciences, Karimkhan Zand St, Shiraz, Iran, e-mail: md.alirezaebrahimi@gmail.com
Received 12 December 2022; accepted 24 February 2023; published online 08 April 2023
DOI: https://doi.org/10.20524/aog.2023.0796
© 2023 Hellenic Society of Gastroenterology

Abstract

Background Oxidative activity and inflammatory responses have been shown to play a pivotal role in the pathogenesis of ulcerative colitis (UC). Colostrum is a natural product with anti-inflammatory and antioxidative properties.

Methods UC was induced in 37 Sprague Dawley rats by administration of a 2 mL enema of 3% acetic acid (AA). The control groups received no treatment during the study, while the experimental groups received either oral or rectal administration of 100 mg/kg 5-aminosalicylic acid, or oral or rectal administration of 300 mg/kg of colostrum. Histopathological and serological analyses were performed 7 days following treatment.

Results A significant decrease in weight was seen in all rats except for the test groups receiving colostrum (P<0.001). After treatment, the level of superoxide dismutase increased more significantly in the test groups that received colostrum (P<0.05). All test groups had a reduction in C-reactive protein and white blood cell levels. The colostrum test groups also showed a decrease in inflammation rate, ulceration, destruction, disorganization, and crypt abscess of the colonic mucosa.

Conclusions The findings of this study show that the administration of colostrum can improve the pathological changes of the intestinal mucosa, as well as inflammatory responses, in animal models of UC. Further studies at both preclinical and clinical levels are suggested to confirm these findings.

Keywords Ulcerative colitis, colostrum, mesalamine, treatment, rats

Ann Gastroenterol 2023; 36 (3): 300-306


Introduction

Ulcerative colitis (UC), as a subcategory of inflammatory bowel disease (IBD), is a chronic inflammatory disease that affects the colon, causing dysfunction of the mucosal barrier. Although sometimes clinicians may overlook the precise and full impact of UC, it significantly decreases patients’ quality of life (QoL) and affects healthcare resource utilization [1]. The underlying pathophysiology of this disease is probably related to the inflammatory response of the immune system, as well as oxidative chain reactions [1].

The conventional treatments of UC include administration of corticosteroids (e.g., prednisolone), aminosalicylates (e.g., 5-ASA/mesalamine, or sulfasalazine), immune-modulator agents, antibiotics, and biological therapies, such as anti-tumor necrosis factor (TNF) drugs, which can be prescribed orally, locally or as a combination of both, based on the patient’s condition [1,2]. Although these drugs show some beneficial effects, a definite treatment for UC that could address the pathophysiology of disease is yet to be discovered [3]. Moreover, many of these drugs have serious side-effects that may lead to their discontinuation. Therefore, further investigation is needed to find a proper treatment for UC in order to achieve the optimal outcome for each patient.

Mesalamine, as one of the gold-standard treatments, has an anti-inflammatory effect on the inflamed mucosa: inhibiting cytokine synthesis, prostaglandin and leukotriene production, and scavenging of free radicals; suppressing the immune system; and also impairing the adhesion of white cells [4]. The side effects of this agent include mild diarrhea, headache, nausea and abdominal pain, lung infections, inflammation of the pancreas, and renal impairment [5]. Therefore, during the past few years, researchers have been looking for and evaluating natural products that have antioxidant and anti-inflammatory properties.

Colostrum is the milk that comes from mammals in their early days after giving birth, and is the strongest natural substance known for boosting the immune system [6]. Moreover, colostrum is rich in immunoglobulins (Igs), growth factors, especially insulin-like growth factor-1 (IGF-1), antioxidants, antimicrobial peptides such as lactoferrin, and other iron-binding proteins, as well as antimicrobial agents, including interferons, multi-nuclear leukocytes, macrophages, and lymphocytes [7]. Some clinical studies have shown that bovine colostrum possesses anti-inflammatory effects in different IBDs [7,8]. Colostrum can inhibit inflammatory gene expression, and decrease interleukin-8 (IL-8), intracellular adhesion molecule-1 (ICAM-1) and TNF-α [9-11]. More specifically, colostrum targets the nuclear factor kappa-light-chain-enhancer of activated B cells (NF-κB) signaling pathway, which is responsible for the activation of pro-inflammatory genes in IBDs [12]. In addition, colostrum has several biological factors that can increase the growth and viability of intestinal mucosa, such as lactoferrin, which induces cell proliferation and growth of the intestine [12]. We hypothesized that colostrum could improve UC in rodent models, through its anti-oxidative and anti-inflammatory properties. Therefore, we conducted this study to determine the effects of this natural agent on both macro and micro pathological changes of the gastrointestinal tract, such as ulcer, inflammation, destruction, disorganization and crypt absence, in an experimental model of UC, to take a step towards introducing a safer and beneficial medicine for the treatment of this inflammatory disease.

Materials and methods

Study design, animals, and preparations

Thirty-seven adult female Wistar rats weighing 130-250 g, provided by the Animal Facility of the Shiraz University of Medical Science, Shiraz, Iran, were used for this study. The animals were housed in standard cages under stable conditions (40-50% humidity, 25±3°C temperature, 12:12 h dark-light cycle). They had free access to water and standard diet. The sample size was adjusted based on previous studies, taking into account the risk of drop-out [13,14]. The number of animals required to obtain reliable results was calculated using power analysis, and according to previously published studies [13]. The threshold for a humane endpoint was a loss of more than 20% of body weight; no rats met this criterion. The animals’ body weight and health status were monitored daily. The experimental protocol was approved by the Ethics Committee of Shiraz University of Medical Sciences, Shiraz, Iran, and all the criteria for taking care of laboratory animals outlined in the “Guide for the Care and Use of Laboratory Animals” were applied.

In order to induce IBD in rats, acetic acid (AA) was administered to the rats rectally after a 24-h fasting period [13]. Colitis was induced by injection of 2 cc of 3% AA enema under light anesthesia, using a 2-mm diameter polypropylene tube with length 6 cm fully inserted in the colon. To prevent any AA leakage from the colon through the anus, all rats were held upside down for 30 sec. This method for AA-induction of colitis has been examined in previous investigations [13,15].

Twenty-four h after induction of UC, rats were weighed and divided into 5 groups, each with approximately the same average weight of 160 g. Rats in the first group (n=5) were assigned as controls and received no treatment during the study (Sham group). The rest of the groups each consisted of 8 rats. Mesalamine/5-ASA was administered by gavage to the rats in the second group in a dose of 100 mg/kg. Mesalamine was given rectally to the third group of rats in the same dose. The fourth group received 300 mg/kg colostrum (400 mg capsule, consisting of at least 20% IgG, BarsamPharmed Alborz Co., Iran) orally, and the fifth group received the same treatment, but rectally.

Serological, histological, and outcome assessments

The rats were sacrificed after 7 days following the treatment. All rats were euthanized by exposure to high levels of carbon dioxide. Blood samples were taken from the animals via cardiac puncture for laboratory evaluation, including superoxide dismutase (SOD) activity, white blood cell (WBC) count, C-reactive protein (CRP), and hemoglobin levels (Hb). The enzymatic activities of SOD were determined by the method developed by Misra and Fridovich [29].

Subsequently, the abdomen was opened and the colon was exposed. The distal 8 cm of the colon was excised and opened by a longitudinal incision. After the mucosa had been washed with saline solution, mucosal inflammation was assessed macroscopically using the grading scale of Millar et al, in which inflammation scores were assigned based on clinical features of the colon using an arbitrary scale ranging from 0-4 as follows: 0, no macroscopic changes; 1, mucosal erythema only; 2, mild mucosal edema, slight bleeding, or small erosions; 3, moderate edema, slight bleeding ulcers, or erosions; and 4, severe ulceration, edema, and tissue necrosis [30]. Samples were preserved in 10% formalin for histological examination.

Colonic samples were taken 2-4 cm proximal to the anus, after which the tissue was fixed in phosphate-buffered formaldehyde, embedded in paraffin, and 5-mm sections were prepared. The tissue was stained with hematoxylin and eosin and evaluated by light microscopy. Samples were subsequently scored in a blinded manner by an expert pathologist. A histological grading scale was used for the determination of the extent of inflammatory reaction in the tissue. Each of the individual parameters estimated was graded 0-3 depending upon the severity of changes (0, no change; 1, mild; 2, moderate; and 3, severe). The evaluated parameters were ulceration, inflammatory cell infiltration, destruction of the mucosa, disorganization, and crypt abscess. The severity of changes was subjectively graded and compared with controls.

Statistical analysis

The laboratory data are expressed as mean ± standard deviation. The charts are also expressed as mean ± standard error at each point. All the statistical analyses were performed using the SPSS® statistical software (17.0, IBM®, USA). Chi-square test, one-way ANOVA and repeated measures test were used for comparison of the study groups. A P-value ≤0.05 was considered statistically significant.

Ethical considerations

The experiments were performed following the regulations of the local Animal Ethics Committee of Shiraz University of Medical Sciences, Shiraz, Iran, which were drawn from the international guidelines on the care and use of laboratory animals.

Results

Procedure

After the induction of AA, 7 of the rats died, which included 1 in the topical colostrum group, 3 in the oral mesalamine group, 2 in the rectal mesalamine group, and 1 in the sham group. The other remaining rats survived throughout the period of our study and were evaluated.

Weight changes

There was no significant difference among all groups regarding their initial weight (P=0.846). As demonstrated in Fig. 1, all groups showed a significant decrease in weight after the administration of AA. There was a significant increase in weight between the second and 7th and 8th days in both the oral (P<0.001 and P<0.001) and topical (P=0.018 and P=0.011) colostrum administration groups, as well as the 5-ASA oral group (P=0.008 and P=0.005), but not the 5-ASA local group (P=0.151 and P=0.103). However, only the colostrum oral group showed significant changes in weight throughout our study (P=0.03).

thumblarge

Figure 1 Effect of colostrum and 5-aminosalicylic acid (ASA) on the weight of rats with ulcerative colitis

Histological evaluation

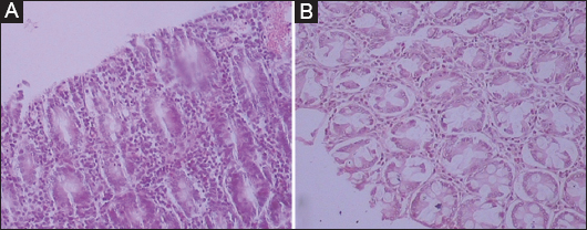
The induction of UC with 4% AA led to microscopic evidence of extensive colonic mucosal damage, with a loss of integrity of the crypt, inflammation, and ulceration (Fig. 2). Evaluation of the mucosal surface showed a significant decrease in the macroscopic grade in both oral and rectal colostrum test groups in comparison to the AA-induced group (Fig. 3, Table 1).

thumblarge

Figure 2 Hematoxylin and eosin staining of acetic acid-induced ulcerative colitis in the sham group (A) and the colostrum group (B)

thumblarge

Figure 3 Macroscopic evaluation of the excised distal part of the colon with severe ulceration, edema and tissue necrosis

Table 1 Macroscopic evaluation of the effect of colostrum vs. 5-aminosalicylic acid (5-ASA) in rats with induced ulcerative colitis

thumblarge

The grading of the rectally induced colostrum group was found to be more similar to the normal mucosal surface, compared to the oral colostrum and the 5-ASA oral and rectal groups. Rectal colostrum even demonstrated better results compared to rectal 5-ASA, although the difference was not statistically significant (P=0.184). It was also noted that the differences between the macroscopic changes in the 5-ASA and colostrum groups were not significant.

Microscopic evaluation

Evaluation of the histological grades of the colitis tissue (Table 2) provided evidence that the colostrum test groups (both orally and rectally) showed an insignificantly lower level of ulceration, destruction, disorganization, inflammation rate, and crypt abscess of the colonic mucosa compared to the AA-induced group (Sham). The histological grading of the 5-ASA test groups did not differ significantly from that of the colostrum test groups (P>0.05).

Table 2 Microscopic evaluation of the effect of colostrum versus 5-aminosalicylic acid (5-ASA) in ulcerative colitis induced in rats

thumblarge

Laboratory data

The results of the laboratory tests are demonstrated in Table 3. In the evaluation of CRP level, we observed an increased level of CRP after induction of AA. This increase was attenuated by colostrum administration, which caused a decrease in CRP levels in both rectal and oral groups, although not significantly. Rectally administered colostrum resulted in a significantly lower CRP level compared to rectally administered mesalamine (P=0.032).

Table 3 Laboratory evaluation of rats with ulcerative colitis

thumblarge

Evaluation of SOD activity found statistically significant higher levels of SOD in all treated groups compared to the AA-induced group. A difference was also noticeable in the colostrum test group compared to the groups given mesalamine, both rectally and orally (P=0.034 and P=0.016, respectively).

Inducing AA led to an increase in WBC in all experimental groups. The rectally administered colostrum group and the orally administered mesalamine group showed lower levels of WBC compared to other experimental groups, however, the differences were not significant. There was no statistically significant difference among the groups regarding Hb levels (P>0.05).

Discussion

Bovine colostrum contains a variety of biologically active substances, including growth and immunomodulatory factors, Igs and antimicrobial peptides, which retain their activity while passing through the gastrointestinal tract and have beneficial impacts on intestinal function [8,16]. Although several gastrointestinal disorders, including irritable bowel syndrome and drug-induced gut damage, have been alleviated with bovine colostrum and its derived products, few experiments were conducted to examine the effect of this natural product on IBD [8,17,18]. Using a multidisciplinary approach, we investigated whether administration of bovine colostrum could prevent development of AA-induced colitis in a rodent model of IBD. Our study proved that treatment with colostrum, as a natural product with many anti-inflammatory and immunomodulatory properties, ameliorates the signs and symptoms caused by AA-induced colon inflammation in these models. Furthermore, the oral administration of colostrum showed a similar therapeutic effect as the standard treatment method for UC, and local administration of the compound demonstrated even more satisfactory results in the rodent models.

Based on a clinical trial study by Khan et al, bovine colostrum enema had beneficial effects in patients with mild to moderate distal colitis, reducing clinical symptoms and histological scores (compared to placebo) and providing additional benefits to mesalamine [19]. Consistently, our study demonstrated that bovine colostrum alone could provide equivalent results to mesalamine, while also decreasing the severity of weight loss. Similar results were also reported in other types of UC induction in animal models, such as dextran sulfate sodium-induced colitis and trinitrobenzene sulfonic acid-induced colitis [20,21].

In our study, after AA induction, we observed disorganization, destruction, inflammation, ulceration and crypt abscess formation of the colonic mucosa. Histological evaluation of samples showed that treatment with mesalamine and colostrum could ameliorate these changes, resulting in lower grading scores in the test groups. These findings were in line with previous studies suggesting the beneficial effects of bovine colostrum in colitis [8,19]. Crypt abscess observed in UC is mainly caused by infiltration of lymph plasmacytes into the lamina propria, making space between the crypts and muscularis mucosa and reducing the crypts’ height. It seems that the compound can reduce abscess formation by inhibiting infiltration, stimulating intestinal development, inducing intestinal crypt cell proliferation, and increasing crypt depth and area [22].

Bovine colostrum appears to be safe, according to the current state of knowledge, and no contraindications have been reported in humans or animal models, even when it was given in high doses [8,23,24]. Lactose intolerance, transient diarrhea, nausea, flatulence, and unspecified abdominal discomfort have all been reported as possible side-effects in a few studies [8,24]. Studies have previously demonstrated that the colostrum is more intrinsically stable against luminal digestion than isolated individual peptides [25]. Additionally, peptide combination therapy has the potential to stimulate healing in a synergistic manner, via an increment of lactoferrin and epidermal growth factor levels that could lead to stimulation of the growth intestinal epithelial cell lines [26]. Bovine colostrum administration might also balance the indigenous microbiota [27-30].

Bovine colostrum contains numerous compounds that have antioxidative actions [31]. For example, it has been observed that the agent has high levels of vitamin E, which is amongst the most potent compounds that reduce reactive oxygen species [32,33]. This vitamin has an essential role in cellular redox balance, protecting tissues against oxidative damage [34]. As shown in previous studies, the quantity of oxidative parameters increases in colitis-induced rats [34-36]. This is also true for human subjects, as oxidative balance was found in clinical studies to be irregular in IBD patients [37]. In our study, we observed a significant increase in SOD activity in the AA-induced group, probably to compensate for the damage caused by AA-induction. Bovine colostrum was beneficial, increasing the activity of SOD, specifically when it was administered via the local route. Furthermore, the agent was found to be capable of eliminating enterotoxigenic Escherichia coli, as it increased SOD levels and decreased phagocytic activity, leading to a reduction in inflammation [8,18,27]. It could be assumed that the effects of colostrum in reducing the levels of inflammation in AA-induced colitis might be due to its antioxidative activities. Consistently, it has been shown that bovine colostrum could prevent colitis by decreasing oxidative stress and inflammation in UC-induced rodent models [38]. Additionally, Segui et al also mentioned that an increase in SOD levels improves the colonic inflammation caused by UC [39]. This increment of SOD activity leading to alleviation of bowel tract inflammation was also observed in other studies that examined the effects of natural products, such as Ginkgo biloba extract, on colitis-induced rat models [40].

Many acute-phase reactive proteins, such as CRP, can negatively influence different stages of inflammation. In our study, we observed an increased level of CRP after induction of AA, perhaps caused by the activation of the complementary system. The administration of bovine colostrum decreased CRP levels in both test groups. The decrease in CRP in the rectally treated colostrum group was significant compared to the mesalamine groups.

This study had a few limitations that need to be mentioned. In this experiment, 7 rats died after AA induction; this certainly could have impacted the final results. Moreover, the micronutrient profile of the colostrum used in the study was not assessed in our center. While we observed that SOD activity was increased in the colostrum treated groups, we did not assess for other anti-inflammatory potentials of this agent that could have been effective in colitis.

In conclusion, bovine colostrum, a rich source of biologically active molecules, has the potential to reduce the weight loss caused by AA-induced UC in rodent models and to decrease the histological scores of the disease. This might be due to the modulatory effect this agent has on the oxidative balance, as well as inflammatory factors. As bovine colostrum has been found to be safe and has hardly any side-effects, the agent could be regarded as an option for patients who prefer “natural” products. Despite the promising results, more research is needed to confirm not only the efficacy and safety of colostrum, but also to understand the immunomodulatory mechanisms that can prevent the development and progression of chronic inflammation in UC and IBD. In addition, further studies of the use of bovine colostrum in trials of patients in whom steroids need to be avoided, such as in children with IBD, are justified.

Summary Box

What is already known:


  • The conventional treatment of ulcerative colitis (UC) includes administration of 5-aminosalicylic acid, which, despite its beneficial effects, might lead to several side-effects

  • Researchers have been looking for and evaluating natural products that have antioxidant and anti-inflammatory properties that can potentially alleviate UC

  • Previous studies using animal models of gut diseases showed that bovine colostrum might have protective effects against the development of inflammatory bowel disease

What the new findings are:


  • Bovine colostrum could decrease the macroscopic and microscopic changes caused by acetic acid (AA) induction of UC in rodent models

  • Bovine colostrum could also decrease levels of inflammatory markers and regulate oxidative balance in AA-induced rodent models of UC

References

1. Kobayashi T, Siegmund B, Le Berre C, et al. Ulcerative colitis. Nat Rev Dis Primers 2020;6:74.

2. Kucharzik T, Koletzko S, Kannengiesser K, Dignass A. Ulcerative colitis-diagnostic and therapeutic algorithms. Dtsch Arztebl Int 2020;117:564-574.

3. Carter MJ, Lobo AJ, Travis SP;IBD Section, British Society of Gastroenterology. Guidelines for the management of inflammatory bowel disease in adults. Gut 2004;53(Suppl 5):V1-V16.

4. Nakashima J, Preuss CV. Mesalamine (USAN). In:StatPearls [Internet]. Treasure Island (FL):StatPearls Publishing;2022 [cited 2023 Feb 19]. Available from:http://www.ncbi.nlm.nih.gov/books/NBK551714 [Accessed 20 April 2023].

5. Sehgal P, Colombel JF, Aboubakr A, Narula N. Systematic review:safety of mesalazine in ulcerative colitis. Aliment Pharmacol Ther 2018;47:1597-1609.

6. Playford RJ, Macdonald CE, Johnson WS. Colostrum and milk-derived peptide growth factors for the treatment of gastrointestinal disorders. Am J Clin Nutr 2000;72:5-14.

7. Kelly GS. Bovine colostrums:a review of clinical uses. Altern Med Rev 2003;8:378-394.

8. Rathe M, Müller K, Sangild PT, Husby S. Clinical applications of bovine colostrum therapy:a systematic review. Nutr Rev 2014;72:237-254.

9. Rzeszotek S, Trybek G, Tarnowski M, et al. Colostrum-induced temporary changes in the expression of proteins regulating the epithelial barrier function in the intestine. Foods 2022;11:685.

10. Zarzosa-Moreno D, Avalos-Gómez C, Ramírez-Texcalco LS, et al. Lactoferrin and its derived peptides:an alternative for combating virulence mechanisms developed by pathogens. Molecules 2020;25:5763.

11. Laskowska E, Jarosz, Grądzki Z. Effect of multi-microbial probiotic formulation bokashi on pro- and anti-inflammatory cytokines profile in the serum, colostrum and milk of sows, and in a culture of polymorphonuclear cells isolated from colostrum. Probiotics Antimicrob Proteins 2019;11:220-232.

12. An MJ, Cheon JH, Kim SW, et al. Bovine colostrum inhibits nuclear factor kappaB-mediated proinflammatory cytokine expression in intestinal epithelial cells. Nutr Res 2009;29:275-280.

13. Tanideh N, Akbari-Baseri F, Jamshidzadeh A, Ashraf MJ, Kuhi O, Mehrabani D. The healing effect of strawberry extract on acetic acid-induced ulcerative colitis in rat. World Applied Sciences Journal 2014;31:281-288.

14. Festing MF, Altman DG. Guidelines for the design and statistical analysis of experiments using laboratory animals. ILAR J 2002;43:244-258.

15. Fabia R, Willén R, Ar'Rajab A, Andersson R, Ahrén B, Bengmark S. Acetic acid-induced colitis in the rat:a reproducible experimental model for acute ulcerative colitis. Eur Surg Res 1992;24:211-225.

16. Kramski M, Center RJ, Wheatley AK, et al. Hyperimmune bovine colostrum as a low-cost, large-scale source of antibodies with broad neutralizing activity for HIV-1 envelope with potential use in microbicides. Antimicrob Agents Chemother 2012;56:4310-4319.

17. Støy AC, Heegaard PM, Thymann T, et al. Bovine colostrum improves intestinal function following formula-induced gut inflammation in preterm pigs. Clin Nutr 2014;33:322-329.

18. Otto W, Najnigier B, Stelmasiak T, Robins-Browne RM. Randomized control trials using a tablet formulation of hyperimmune bovine colostrum to prevent diarrhea caused by enterotoxigenic Escherichia coli in volunteers. Scand J Gastroenterol 2011;46:862-868.

19. Khan Z, Macdonald C, Wicks AC, et al. Use of the 'nutriceutical', bovine colostrum, for the treatment of distal colitis:results from an initial study. Aliment Pharmacol Ther 2002;16:1917-1922.

20. Bodammer P, Zirzow E, Klammt S, Maletzki C, Kerkhoff C. Alteration of DSS-mediated immune cell redistribution in murine colitis by oral colostral immunoglobulin. BMC Immunol 2013;14:10.

21. Filipescu IE, Leonardi L, Menchetti L, et al. Preventive effects of bovine colostrum supplementation in TNBS-induced colitis in mice. PLoS One 2018;13:e0202929.

22. Reznikov EA, Comstock SS, Yi C, Contractor N, Donovan SM. Dietary bovine lactoferrin increases intestinal cell proliferation in neonatal piglets. J Nutr 2014;144:1401-1408.

23. Davis PF, Greenhill NS, Rowan AM, Schollum LM. The safety of New Zealand bovine colostrum:nutritional and physiological evaluation in rats. Food Chem Toxicol 2007;45:229-236.

24. Struff WG, Sprotte G. Bovine colostrum as a biologic in clinical medicine:a review—Part II:clinical studies. Int J Clin Pharmacol Ther 2008;46:211-225.

25. Playford RJ, Woodman AC, Clark P, et al. Effect of luminal growth factor preservation on intestinal growth. Lancet 1993;341:843-848.

26. Hagiwara T, Shinoda I, Fukuwatari Y, Shimamura S. Effects of lactoferrin and its peptides on proliferation of rat intestinal epithelial cell line, IEC-18, in the presence of epidermal growth factor. Biosci Biotechnol Biochem 1995;59:1875-1881.

27. Sugiharto S, Poulsen AS, Canibe N, Lauridsen C. Effect of bovine colostrum feeding in comparison with milk replacer and natural feeding on the immune responses and colonisation of enterotoxigenic Escherichia coli in the intestinal tissue of piglets. Br J Nutr 2015;113:923-934.

28. Huguet A, Le Dividich J, Le Huërou-Luron I. Improvement of growth performance and sanitary status of weaned piglets fed a bovine colostrum-supplemented diet. J Anim Sci 2012;90:1513-1520.

29. Pontoppidan PE, Shen RL, Cilieborg MS, et al. Bovine colostrum modulates myeloablative chemotherapy-induced gut toxicity in piglets. J Nutr 2015;145:1472-1480.

30. Poulsen AR, de Jonge N, Sugiharto S, Nielsen JL, Lauridsen C, Canibe N. The microbial community of the gut differs between piglets fed sow milk, milk replacer or bovine colostrum. Br J Nutr 2017;117:964-978.

31. Przybylska J, Albera E, Kankofer M. Antioxidants in bovine colostrum. Reprod Domest Anim 2007;42:402-409.

32. Arslan A, Kaplan M, Duman H, et al. Bovine colostrum and its potential for human health and nutrition. Front Nutr 2021;8:651721.

33. Chow CK. Vitamin E regulation of mitochondrial superoxide generation. Biol Signals Recept 2001;10:112-124.

34. Tahan G, Aytac E, Aytekin H, et al. Vitamin E has a dual effect of anti-inflammatory and antioxidant activities in acetic acid-induced ulcerative colitis in rats. Can J Surg 2011;54:333-338.

35. Camacho-Barquero L, Villegas I, Sánchez-Calvo JM, et al. Curcumin, a Curcuma longa constituent, acts on MAPK p38 pathway modulating COX-2 and iNOS expression in chronic experimental colitis. Int Immunopharmacol 2007;7:333-342.

36. Talero E, Sánchez-Fidalgo S, Ramón Calvo J, Motilva V. Galanin in the trinitrobenzene sulfonic acid rat model of experimental colitis. Int Immunopharmacol 2006;6:1404-1412.

37. Kikut J, Konecka N, Ziętek M, Kulpa D, Szczuko M. Diet supporting therapy for inflammatory bowel diseases. Eur J Nutr 2021;60:2275-2291.

38. Han G, Cho H, Kim H, et al. Bovine colostrum derived-exosomes prevent dextran sulfate sodium-induced intestinal colitis via suppression of inflammation and oxidative stress. Biomater Sci 2022;10:2076-2087.

39. SeguíJ, Gil F, Gironella M, et al. Down-regulation of endothelial adhesion molecules and leukocyte adhesion by treatment with superoxide dismutase is beneficial in chronic immune experimental colitis. Inflamm Bowel Dis 2005;11:872-882.

40. Zhou YH, Yu JP, Liu YF, et al. Effects of Ginkgo biloba extract on inflammatory mediators (SOD, MDA, TNF-alpha, NF-kappaBp65, IL-6) in TNBS-induced colitis in rats. Mediators Inflamm 2006;2006:92642.

Notes

Conflict of Interest: None