Endoscopic ultrasonography-guided biliary drainage for malignant jaundice by using electrocautery-enhanced lumen-apposing metal stents (Hot-SPAXUS stent)

Raffaele Mantaa, Sabrina Torrisia, Danilo Castellania, Ugo Germania, Francesco P. Zitob, Olivia Morellia, Paolo M. Brunoria, Angelo Zulloc, Vincenzo De Francescod

Santa Maria della Misericordia’ Hospital, Perugia; AORN Cardarelli, Napoli; Nuovo Regina Margherita Hospital, Rome; Riuniti Hospital, Foggia, Italy

aDigestive Endoscopy Unit, ‘Santa Maria della Misericordia’ Hospital, Perugia (Raffaele Manta, Sabrina Torrisi, Danilo Castellani, Ugo Germani, Olivia Morelli, Paolo M. Brunori); bGastroenterology and Digestive Endoscopy Unit, AORN Cardarelli, Napoli (Francesco P. Zito); cGastroenterology, ‘Nuovo Regina Margherita’ Hospital, Rome (Angelo Zullo); dGastroenterology Unit, ‘Riuniti’ Hospital, Foggia (Vincenzo De Francesco), Italy

Correspondence to: Angelo Zullo, Ospedale Nuovo Regina Margherita, Via E. Morosini, 30, 00153, Rome, Italy, e-mail: angelozullo66@yahoo.it
Received 6 March 2022; accepted 27 July 2022; published online 3 October 2022
DOI: https://doi.org/10.20524/aog.2022.0743
© 2022 Hellenic Society of Gastroenterology

Abstract

Background Biliary drainage with endoscopic retrograde cholangiopancreatography (ERCP) for tumoral jaundice fails in a certain percentage of patients. In these patients, endoscopic ultrasonography-guided lumen-apposing metal stents (LAMS) with electrocautery-enhanced (ECE) technology allows a single-step, radiation-free palliative treatment.

Methods We reviewed the data of patients who underwent choledochoduodenostomy with placement of ECE-LAMS (Hot-SPAXUS stent) after ERCP failure in a single tertiary center. Technical and clinical success rates were calculated and adverse events recorded.

Results Data of 15 patients (8 male, median age 72 years) were collected. The procedure was technically successful in all patients, whilst clinical success was achieved in 14 (93.3%) patients. One (6.7%) patient presented delayed bleeding treated endoscopically. At follow up, stent occlusion with recurrence of jaundice occurred in 2 (13.3%) patients, due to food impaction (n=1), or neoplastic ingrowth (n=1).

Conclusion Our results suggest that the Hot-SPAXUS procedure is effective and safe for palliative treatment in patients with distal biliary malignant obstruction after failure of ERCP.

Keywords Biliary drainage, obstructive jaundice, electrocautery-enhanced lumen-apposing metal stents, endoscopic ultrasonography

Ann Gastroenterol 2022; 35 (6): 663-667


Introduction

In patients with obstructive jaundice due to tumors of the distal biliary duct or pancreas, biliary drainage plays a crucial role in preventing dramatic complications, such as systemic sepsis, hepatic failure, and malnutrition [1,2]. Currently, endoscopic retrograde cholangiopancreatography (ERCP) is the elective procedure used to perform biliary decompression in these patients. Nevertheless, tumoral infiltration of the ampulla, neoplastic duodenal obstruction or post-surgical anatomic alterations may hamper the accessibility of ERCP to the papilla, leading to failure of biliary decompression in up to 16% of cases, even in expert hands [3,4]. Following ERCP failure, percutaneous transhepatic biliary drainage (PTBD) is an effective therapeutic alternative to surgical approach. Although PTBD offers high clinical and technical success rates, the presence of an external catheter is associated with a high morbidity rate, the occurrence of adverse events, and a poor quality of life [5].

The availability of larger operative echo-endoscopes and the introduction of specific devices has allowed the development of various procedures for endoscopic ultrasonography (EUS)-guided biliary drainage, such as choledochoduodenostomy, choledochogastrostomy and hepaticogastrostomy, that can deliver high technical and clinical success rates [6,7]. However, their complexity of execution, with multiple technical phases, and the use of plastic or metallic stents without specific anti-migratory properties, result in a relatively large (>20%) rate of adverse events [8].

More recently, new fully covered stents in braided nitinol, with anti-migratory properties due to their “dumbbell” design, namely the lumen-apposing metal stents (LAMS), have improved the EUS-guided operative procedures. With the application of electrocautery-enhanced (ECE) technology, the ECE-LAMS is performed as a single-step, radiation-free procedure [9,10]. The electrified-tip allows direct access to the biliary system without using needles and guidewires. The currently available ECE-LAMS are the Axios (Boston Scientific, Marlborough, Mass, USA) and the Hot-SPAXUS stents (Taewoong Medical Co. Gimpo, Korea). To our knowledge, experience from these procedures is still scanty [11-14]. In the present study, we evaluated the technical and clinical success of Hot-SPAXUS ECE-LAMS placement for treatment of malignant obstructive jaundice.

Patients and methods

Patients

This was a retrospective study of data from patients with an unresectable biliary distal neoplastic obstruction who underwent choledochoduodenostomy with placement of a SPAXUS-ECE-LAMS after ERCP failure. Patients were treated in a single Italian tertiary center between May 2020 and September 2021. Data relating to patients with a previous biliary intervention, surgically altered anatomy, or those treated with a standard ERCP technique were excluded, as were those from patients who had been previously treated with EUS-BD using other types of self-expandable metal stent (SEMS).

Following the procedure, oral feeding was started after 24 h, with a liquid diet during the next 7 days to avoid the risk of food impaction. Patients were re-evaluated at 30 days, and every 3 months following hospital discharge. Technical and clinical success rates, and adverse events following ECE-LAMS placement were calculated, and any recurrence of jaundice within 1 and 3 months after treatment was recorded.

Patients gave their informed consent for both the procedure and the anonymous use of their data for scientific purposes. Since no experimental drugs/devices were administered, no additional costs or procedures for the patients were required, no identification of patients was allowed, and no funds were received, our Investigational Review Board waived formal review and approval, deeming the study to be an extension of existing clinical practice.

Procedures

All procedures were performed by an expert endoscopist (RM) with extensive experience in ERCP (>400/year), EUS (>350/year), and in LAMS technique (>100 LAMS placed) in conscious sedation patients or in those under deep sedation with anesthesiologist assistance. An echo-endoscope (EG-3870UTK or EG38-J10UT, Pentax Medical, Tokyo, Japan) was used in all cases. A choledochal biliary duct (CBD) diameter <10 mm and a distance between duodenal wall and biliary duct >10 mm were considered contraindications for LAMS placement. The choice of biliary stent size was based on CBD size, at the endoscopist’s discretion. Generally, an 8×20 mm LAMS was used when the CBD was <20 mm, and a 10×20 mm diameter LAMS in patients with a larger CBD diameter.

The EUS-biliary drainge technique adopted was “one-step” and “radiation-free”. The SPAXUS ECE-LAMS was inserted into the operative channel of the echoendoscope and the delivery system was connected to an electrosurgical generator (ERBE Electrosurgery, Tübingen, Germany) with the following settings: pure cut mode, 100 W; ERBE ICC 200, AUTOCUT mode, effect 5 [14]. The CBD was visualized under EUS view from the duodenal bulb or descending duodenum, using Doppler flow to exclude the presence of large interposing vessels. The operator targeted the CBD with the largest diameter and the shortest distance from the transducer. In case of duodenal neoplastic obstruction, patients were treated with a 6-cm long duodenal uncovered (u)-SEMS (NITI-S Pyloric/Duodenal, Taewoong, Korea) positioned under fluoroscopic guidance in a previous session or at the same time of the choledochoduodenostomy. Technical success was defined as correct ECE-LAMS deployment within the CBD in a single step. Clinical success was defined as a reduction of serum bilirubin levels by at least 50% within 2 weeks after stent placement. Adverse events (bleeding, perforation, spontaneous stent migration) occurring within one week after stent placement were categorized as either immediate (<24 h) or late. The procedure duration was defined as the time from insertion to extraction of the endoscope from the patient’s mouth.

Device

The ECE-LAMS is a fully covered metal stent made from braided nitinol. Three Hot SPAXUS-ECE-LAMS of different diameters and of similar length are currently available on the market (lumen diameter × length: 8×20 mm, 10×20 mm, and 16×20 mm). The device is pre-loaded in a 9- or 10.8-Fr catheter with a through-the-scope delivery system compatible with a therapeutic echo-endoscope working channel of 3.7 mm. The stent has a “dumbbell” design to provide lumen-to-lumen apposition. This particular morphology is designed to give the stent anti-migratory properties and to reduce the risk of stent leakage alongside the stenosis.

Results

Technical and clinical success

A total of 15 patients (8 male, median age 72, range 55-84 years) underwent EUS-biliary drainage with ECE-LAMS placement. Demographic characteristics, causes of biliary obstruction and of previous ERCP failure are summarized in Table 1. The median CBD diameter was 14.5 mm (range 13-24). An 8×20 mm LAMS with a 23 mm flange and a 10×20 mm LAMS with a 25 mm flange were used in 13 and 2 patients, respectively. The procedure was technically successful in all patients. The biliary duct was reached through a trans-bulbar approach in 13 patients and a transduodenal approach in the remaining cases. The median procedure duration was 12 min (range 10-18). The phases of the procedure are depicted in Fig. 1. In 6 (40%) patients there was also a neoplastic duodenal obstruction that was treated with a duodenal u-SEMS. More specifically, in 2 patients duodenal stenting was performed 1 month before the choledochoduodenostomy, because of a local advanced duodenal adenocarcinoma that later caused obstructive jaundice. In both these patients, LAMS deployment was performed using a transduodenal approach, with the SPAXUS SEMS placed proximally to the duodenal stent in one patient and inserted through the mesh network of the uncovered duodenal stent in the other. The remaining 4 patients were treated with duodenal stenting and biliary drainage in the same session, using a trans-bulbar approach. The median hospitalization time was 6 days (range 2-17). Clinical success was eventually achieved in 14 (93.3%) patients, whose mean bilirubin level was 2.55±3 mg/dL after 2 weeks.

Table 1 Demographic and clinical characteristics

thumblarge
thumblarge

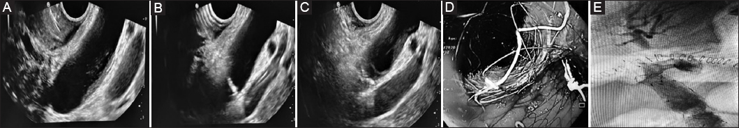
Figure 1 (A) Endoscopic ultrasound image showing dilated choledochal biliary duct (CBD); (B) puncture of the CBD; (C) deployment of distal flange of a lumen-apposing metal stent in the CBD lumen; (D) endoscopic check after stent placement; (E) final cholangiography with regular biliary outflow

Adverse events

No immediate complications occurred, and no case of device displacement was observed. One (6.7%) patient presented delayed bleeding 10 days after the procedure. He was successfully treated endoscopically by argon plasma coagulation on the anastomotic border after stent removal. A new Hot-SPAXUS stent was placed.

Follow up

The median length of follow up was 101 days (range 90-170). The stent remained open in 14 (93.3%) of the 15 patients alive at 3 months, and in 10 (90.1%) of the 11 patients still alive thereafter. Stent occlusion with recurrence of jaundice occurred in 2 (13.3%) patients. In one case, food impaction was observed after 4 months and was removed endoscopically using a Dormia basket and Fogarty balloon. In the other patient, neoplastic tissue occluded the stent after 30 days. He was treated by positioning a u-SEMS through the internal channel of the LAMS (SEMS-in-LAMS technique), followed by a new duodenal stent placement with the same technique, restoring the patency of the stents with normalization of bilirubin levels.

Discussion

The ERCP is the main endoscopic procedure used to perform biliary decompression in patients with malignant bile duct obstruction. Unfortunately, there are some conditions in which the access to the papilla is prevented, or the procedure fails for some reason. In this clinical scenario, a radiological approach is generally performed. However, discomfort from the presence of an external catheter reduces the patient’s quality of life [5]. Since 2011, the availability of new and specially designed LAMS has allowed improvements in the technical performance and safety of echo-guided biliary decompression procedures. In addition, the successful delivery of an electrocautery tip has significantly contributed to simplifying this palliative endoscopic approach [15]. Here, we report a case series of patients treated with ECE-LAMS following ERCP failure. More specifically, we used the recently available Hot-SPAXUS LAMS with a length of 2 cm, which overcomes the limits of the previous 1 cm device, allowing better adherence and anchoring of 2 distant lumens. Overall, we achieved high technical (100%) and clinical (91.6%) success rates, in agreement with results reported for other stents [11,13,16,17]. In addition, the use of Hot-SPAXUS-LAMS with different diameters (8 mm or 10 mm) made biliary drainage possible even in those patients with a less dilated biliary duct, which may represent a limit for other LAMS [13].

In our series, the median time required for a complete therapeutic EUS procedure was only 12 min, supporting the previously reported easy feasibility of the procedure [13]. It is noteworthy that the 3-month and 6-month stent patency rates were as high as 91.6% and 75%, respectively. These results are considerably higher than the 45% reported for PTBD, with obvious advantages in term of re-hospitalization, reintervention and the use of health resources [5]. This is further apparent when we consider that the median length of hospitalization was 6 days, distinctly lower than that reported for PTBD [18,19].

In the past years, a percutaneous transhepatic approach was the main rescue therapy following ERCP failure for biliary drainage. However, its use in patients with distal biliary malignant strictures is associated with a higher risk of stent dislodgment or malfunction, a greater risk of acute or late cholangitis, and a lower quality of life than the EUS-biliary drainage approach [1]. On the other hand, single-step EUS-biliary drainage requires experience in both ERCP and echo-endoscopy procedures. Moreover, CBD dilation rarely exceeds 20 mm in diameter, so the release of the first flange of the stent might be challenging. Therefore, these procedures should be performed by an endoscopist skilled in pancreatic fluid collection drainage [1], working in a referral center for biliopancreatic diseases, with dedicated surgeons and radiologists whose experience is of paramount importance, particularly in case of procedure-related complications.

In conclusion, our data suggest that the Hot-SPAXUS procedure is effective and safe for palliative treatment in patients with distal biliary malignant obstruction following the failure of ERCP. These promising findings suggest that ECE-LAMS should be considered as a valid alternative to PTBD and the surgical approach after ERCP failure in those structures where the procedure is performed.

Summary Box

What is already known:


  • Biliary drainage in tumoral obstructive jaundice using endoscopic retrograde cholangiopancreatography (ERCP) is challenging or impossible when the papilla is not accessible because of either tumor infiltration or postsurgical anatomic alterations

  • Percutaneous transhepatic biliary drainage is an effective therapeutic alternative to the surgical approach, but has high morbidity

  • During the last decade, endoscopic ultrasonography (EUS)-guided biliary drainage with new and specifically designed fully covered stents, namely the lumen apposing-metal-stents (LAMS), was introduced

What the new findings are:


  • Our data indicated that EUS-guided Hot-SPAXUS placement is highly successful, from both the technical (100%) and clinical (93.3%) points of view, as well as safe (1 delayed bleeding treated at endoscopy)

  • Overall, the procedure was fast (median 12 min), and the approach was associated with a short hospital stay (median 6 days)

  • LAMS placement is a valid approach after ERCP failure in patients with neoplastic jaundice

References

1. Dumonceau JM, Tringali A, Papanikolaou IS, et al. Endoscopic biliary stenting:indications, choice of stents, and results:European Society of Gastrointestinal Endoscopy (ESGE) Clinical Guideline - Updated October 2017. Endoscopy 2018;50:910-930.

2. Stark A, Hines OJ. Endoscopic and operative palliation strategies for pancreatic ductal adenocarcinoma. Semin Oncol 2015;42:163-176.

3. Peng C, Nietert PJ, Cotton PB, Lackland DT, Romagnuolo J. Predicting native papilla biliary cannulation success using a multinational endoscopic retrograde cholangiopancreatography (ERCP) quality network. BMC Gastroenterol 2013;13:147.

4. Williams EJ, Ogollah R, Thomas P, et al. What predicts failed cannulation and therapy at ERCP?Results of a large-scale multicenter analysis. Endoscopy 2012;44:674-683.

5. Sarwar A, Hostage CA Jr, Weinstein JL, et al. Causes and rates of 30-day readmissions after percutaneous transhepatic biliary drainage procedure. Radiology 2019;290:722-729.

6. Giovannini M, Moutardier V, Pesenti C, Bories E, Lelong B, Delpero JR. Endoscopic ultrasound-guided bilioduodenal anastomosis:a new technique for biliary drainage. Endoscopy 2001;33:898-900.

7. Anderloni A, Troncone E, Fugazza A, et al. Lumen-apposing metal stents for malignant biliary obstruction:Is this the ultimate horizon of our experience?World J Gastroenterol 2019;25:3857-3869.

8. Wang K, Zhu J, Xing L, Wang Y, Jin Z, Li Z. Assessment of efficacy and safety of EUS-guided biliary drainage:a systematic review. Gastrointest Endosc 2016;83:1218-1227.

9. Hakim S, Khan Z, Shrivastava A, et al. Endoscopic gastrointestinal anastomosis using lumen-apposing metal stent (LAMS) for benign or malignant etiologies:a systematic review and meta-analysis. J Clin Gastroenterol 2021;55:e56-e65.

10. Mangiavillano B, Khashab MA, Tarantino I, et al. Success and safety of endoscopic treatments for concomitant biliary and duodenal malignant stenosis:A review of the literature. World J Gastrointest Surg 2019;11:53-61.

11. Yoo HW, Moon JH, Jo SJ, et al. A novel electrocautery-enhanced delivery system for one-step endoscopic ultrasound-guided drainage of the gallbladder and bile duct using a lumen-apposing metal stent:a feasibility study. Endoscopy 2021;53:922-926.

12. Mangiavillano B, Auriemma F, Bianchetti M, Repici A. A cholecystoduodenostomy with a new type of lumen-apposing metal stent. Dig Liver Dis 2021;53:1203.

13. Anderloni A, Fugazza A, Troncone E, et al. Single-stage EUS-guided choledochoduodenostomy using a lumen-apposing metal stent for malignant distal biliary obstruction. Gastrointest Endosc 2019;89:69-76.

14. Di Mitri R, Amata M, Mocciaro F, et al. EUS-guided biliary drainage with LAMS for distal malignant biliary obstruction when ERCP fails:single-center retrospective study and maldeployment management. Surg Endosc 2022;36:4553-4569.

15. Binmoeller KF, Shah J. A novel lumen-apposing stent for transluminal drainage of nonadherent extraintestinal fluid collections. Endoscopy 2011;43:337-342.

16. Kunda R, Pérez-Miranda M, Will U, et al. EUS-guided choledochoduodenostomy for malignant distal biliary obstruction using a lumen-apposing fully covered metal stent after failed ERCP. Surg Endosc 2016;30:5002-5008.

17. Tsuchiya T, Teoh AYB, Itoi T, et al. Long-term outcomes of EUS-guided choledochoduodenostomy using a lumen-apposing metal stent for malignant distal biliary obstruction:a prospective multicenter study. Gastrointest Endosc 2018;87:1138-1146.

18. Dhir V, Itoi T, Khashab MA, et al. Multicenter comparative evaluation of endoscopic placement of expandable metal stents for malignant distal common bile duct obstruction by ERCP or EUS-guided approach. Gastrointest Endosc 2015;81:913-923.

19. Lee TH, Choi JH, Park H, et al. Similar efficacies of endoscopic ultrasound-guided transmural and percutaneous drainage for malignant distal biliary obstruction. Clin Gastroenterol Hepatol 2016;14:1011-1019.

Notes

Conflict of Interest: None