Esophageal obstruction in a child secondary to large walled-off necrosis: rescue transmural drainage using forward-viewing echoendoscope

Surinder Singh Ranaa, Sadhna Bhasin Lalb

Postgraduate Institute of Medical Education and Research (PGIMER), Chandigarh, India

aDepartment of Gastroenterology and; bDivision of Paediatric Gastroenterology, Hepatology and Nutrition, Postgraduate Institute of Medical Education and Research (PGIMER), Chandigarh, India

Correspondence to: Prof Surinder Singh. Rana, MD, DM, FASGE, Department of Gastroenterology, Postgraduate Institute of Medical Education and Research (PGIMER), Chandigarh 160012, India, e-mail: drsurinderrana@gmail.com
Received 11 July 2020; accepted 31 July 2020; published online 20 November 2020
DOI: https://doi.org/10.20524/aog.2020.0555
© 2021 Hellenic Society of Gastroenterology

This is an open-access article distributed under the terms of the Creative Commons Attribution-Noncommercial-Share Alike 3.0 Unported, which permits unrestricted use, distribution, and reproduction in any medium, provided the original work is properly cited.


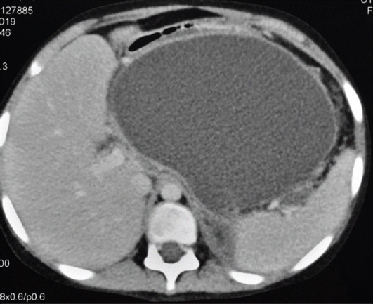
A 12-year-old child, a known case of idiopathic acute necrotizing pancreatitis, presented with upper abdominal pain and fever. Ultrasound and computed tomography of the abdomen revealed a large walled-off pancreatic necrosis (WON) in the lesser sac (Fig. 1). Endoscopic ultrasound (EUS)-guided transmural drainage of the WON was attempted using a conventional curved linear array echoendoscope (GF-UCT 180; Olympus Medical Co. Ltd.). However, the echoendoscope could not be negotiated across the gastroesophageal junction (GEJ) because of extrinsic compression by the WON resulting in acute angulation. Repeated attempts, including an attempt to pass the scope over a guidewire coiled in the stomach, were unsuccessful. Therefore, we decided to use the forward-viewing linear echoendoscope (TGF-UC 180J; Olympus Medical Co. Ltd.). This scope was able to safely traverse the GEJ under direct endoscopic vision while still experiencing significant resistance. Under EUS guidance, the WON was punctured with a 19-G needle. A guidewire was then coiled inside the WON and the access site was dilated using 4-mm biliary balloon dilator (Fig. 2A). Subsequently, a 14 mm wide fully covered bi-flanged self-expanding metallic stent (SEMS) was deployed under EUS (Fig. 2B) and fluoroscopic guidance (Fig. 2C). Following drainage, the child showed a marked improvement in symptoms. The SEMS was removed 3 weeks later following complete resolution of the WON.

thumblarge

Figure 1 Computed tomography of the abdomen, showing a large walled-off necrosis

thumblarge

Figure 2 (A) Endoscopic ultrasound (EUS)-guided drainage using the forward-viewing echoendoscope: a guidewire was coiled inside the walled-off necrosis and the access site was dilated using 4-mm biliary balloon dilator. A 14-mm wide fully covered bi-flanged self-expanding metallic stent was deployed under EUS (B) and fluoroscopic (C) guidance

Pancreatic fluid collections are drained under EUS guidance and a therapeutic linear echoendoscope is usually used for the drainage. The linear echoendoscope has an oblique endoscopic view with a rigid tip that can occasionally be difficult to manipulate, especially at locations with luminal bends and narrowing. The forward-viewing echoendoscope is a newer echoendoscope that has a forward endoscopic view with a shorter and more flexible tip and is therefore easily maneuverable. It can be used instead of the oblique viewing echoendoscope in difficult anatomical situations [1].

References

1. Angsuwatcharakon P, Singh BS, Cazacu IM, Weston BR, Bhutani MS. Difficult pyloric intubation during EUS:forward viewing echoendoscope to the rescue (with videos). Endosc Ultrasound 2019;8:428-429.

Notes

Conflict of Interest: None