Cholangitis with large common bile duct dilatation caused by choledochal macrolithiasis

Gaëtan-Romain Joliata,b, Michael Winikera,b, Anca-Teodora Antoninoc, Domenico Galassod

Riviera-Chablais Hospital (HRC), Rennaz; Lausanne University Hospital CHUV, Lausanne; Clinique de Genolier, Genolier, Switzerland

aDivision of Surgery, Riviera-Chablais Hospital (HRC), Rennaz, Switzerland (Gaëtan-Romain Joliat, Michael Winiker); bDivision of Visceral Surgery, Lausanne University Hospital CHUV, Lausanne, Switzerland (Gaëtan-Romain Joliat, Michael Winiker); cDivision of Gastroenterology, Clinique de Genolier, Genolier, Switzerland (Anca-Teodora Antonino); dDivision of Gastroenterology, Riviera-Chablais Hospital (HRC), Rennaz (Domenico Galasso), Switzerland

Correspondence to: Gaëtan-Romain Joliat, MD, Division of Surgery, Riviera-Chablais Hospital (HRC), Route du Vieux Séquoia 20, 1847 Rennaz, Switzerland, e-mail: gaetan.joliat@gmail.com
Received 12 February 2020; accepted 18 February 2020; published online 27 March 2020
DOI: https://doi.org/10.20524/aog.2020.0471
© 2020 Hellenic Society of Gastroenterology
Annals of Gastroenterology (2020) 33, 438

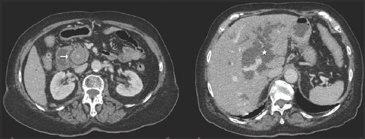
An 86-year-old patient known for recurrent symptomatic cholelithiasis episodes and previous cholecystectomy presented to the emergency department for epigastric pain, fever, dark urine, and clear stools. Physical examination revealed jaundice and right upper quadrant tenderness without guarding. Laboratory results showed moderate inflammatory syndrome and increased total bilirubin level (165 µmol/L, N: <17 µmol/L) with cholestasis and hepatic cytolysis. Lipase was normal. Computed tomography scan showed a 3.7-cm choledocholithiasis (Fig. 1, arrow) with extra- and intrahepatic bile duct dilatation (Fig. 1, asterisk).

thumblarge

Figure 1 Computed tomography scan: axial slices showing a large calculus in the common bile duct (arrow) and dilatation of the extrahepatic and intrahepatic (asterisk) bile ducts

Diagnosis of obstructive cholangitis was made. Antibiotic therapy was started and the patient underwent endoscopic retrograde cholangiopancreatography (ERCP) the next day. Standard ERCP did not succeed in extracting the calculus. Two 10-French plastic prostheses were put in place to enable biliary drainage. One month later the patient was rescheduled for ERCP, which succeeded in extracting the calculus and removing the prostheses. The common bile duct was so dilated (>4 cm) that it was possible to enter it with an 11.3-mm diameter therapeutic gastroscope, allowing the large calculus to be visualized (Fig. 2A, asterisk). The calculus was fragmented with a lithotripsy device (Fig. 2B) and finally extracted using a Dormia basket after papillotomy (Fig. 2B). The patient was discharged a few days later.

thumblarge

Figure 2 (A) Endoscopic view through a gastroscope of the large choledochal stone. (B) Endoscopic view of the fragmentation of the stone (left panel) and endoscopic view after removal of the biliary stone (right panel), showing a cleared and empty common bile duct

In cases with wide dilatation of the common bile duct, the use of a gastroscope might help to obtain a good direct endoscopic visualization of the biliary stone. Lithotripsy techniques using mechanical, electrohydraulic or laser endoscopic devices can be useful to effectively fragment difficult and large obstructing choledochal stones [1-3].

References

1. Aburajab M, Dua K. Endoscopic management of difficult bile duct stones. Curr Gastroenterol Rep 2018;20:8.

2. Kedia P, Tarnasky PR. Endoscopic management of complex biliary stone disease. Gastrointest Endosc Clin N Am 2019;29:257-275.

3. Watson RR, Parsi MA, Aslanian HR, et al;ASGE Technology Committee. Biliary and pancreatic lithotripsy devices. VideoGIE 2018;3:329-338.

Notes

Conflict of Interest: None