Iatrogenic bleeding of atypical liver hemangioma

Geert Maleuxa, Andries Van Holsbeecka, Gert De Hertoghb

University Hospitals, Leuven, Belgium

aDepartment of Radiology (Geert Maleux, Andries Van Holsbeeck), University Hospitals, Leuven, Belgium, bPathology (Gert De Hertogh), University Hospitals, Leuven, Belgium

Correspondence to: Geert Maleux, MD, PhD, University Hospitals Leuven, Department of Radiology, Herestraat 49, 3000 Leuven, Belgium, e-mail: geert.maleux@uzleuven.be
Received 27 November 2018; accepted 4 December 2018; published online 15 January 2019
DOI: https://doi.org/10.20524/aog.2019.0345
© 2019 Hellenic Society of Gastroenterology

Annals of Gastroenterology (2019) 32, 213


A 50-year-old man presented with a synchronous lung adenocarcinoma and temporal glioblastoma. Staging of both cancers included contrast-enhanced abdominal computed tomography (CT), demonstrating a hypodense mass lesion with a diameter of 18 mm in the right liver lobe, suggesting a metastasis (Fig. 1A). This was confirmed by ultrasound, which revealed a hypoechoic nodular lesion. Percutaneous ultrasound-guided biopsy of the lesion was performed, but was complicated by a painful right hemi-abdomen. CT revealed a hemoperitoneum and contrast extravasation from the biopsied lesion, while selective hepatic angiography was very suggestive of liver hemangioma (Fig. 1B). Although no clear contrast extravasation could be identified, it was decided to embolize the vascular lesion with glue (mixture of enbucrylate and ethiodized oil), which resulted in a cessation of the hemorrhage and normalization of the patient’s clinical status. Pathological analysis of the liver biopsy revealed a cavernous hemangioma (Fig. 2).

thumblarge

Figure 1 (A) Axial, contrast-enhanced computed tomography shows a small, hypodense mass lesion (arrowheads) in segment 7 of the right liver lobe. (B) Selective angiography of the celiac trunk reveals filling of abnormal vascular channels with some stagnation of contrast material into the hepatic lesion (arrows), very suggestive of hemangioma

thumblarge

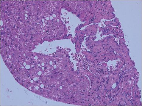
Figure 2 Pathological analysis of the liver biopsy demonstrated an uncapsulated, well-circumscribed lesion, consisting of large caliber, thin walled vessels. The lining endothelium shows no atypia or mitotic activity. These findings are consistent with a cavernous hemangioma

Liver hemangioma typically presents on contrast-enhanced CT as early-filling nodular lesions, which differentiates them from metastases or primary liver tumors. However, in rare cases, the contrast-filling may be very slow and still not visible on venous phase CT; on ultrasound, very rarely, hemangioma may present as a hypoechoic lesion, in contrast to the typical hyperechoic aspect [1]. The combination of both atypical presentations was present in this case. In cases of iatrogenic, biopsy-related bleeding, percutaneous angio-embolization is probably the least invasive and most effective treatment modality [2] and can replace surgical packing, with or without additional fibrin glue injection [3], in the majority of cases.

References

1. Vilgrain V, Boulos L, Vullierme MP, Denys A, Terris B, Menu Y. Imaging of atypical hemangiomas of the liver with pathologic correlation. Radiographics 2000;20:379-397.

2. Srinivasa S, Lee WG, Aldameh A, Koea JB. Spontaneous hepatic haemorrhage:a review of pathogenesis, aetiology and treatment. HPB (Oxford) 2015;17:872-880.

3. Dixon E, Pasieka JL. Arrest of liver haemorrhage secondary to percutaneous liver biopsy of a haemangioma with fibrin glue. HPB (Oxford) 2002;4:175-177.

Notes

Conflict of Interest: None