Multidetector computed tomography versus platelet/spleen diameter ratio as methods for the detection of gastroesophageal varices

Andreas Karatzasa, Christos Triantosb, Maria Kalafatelib, Misiel Marzigieb, Chryssoula Labropoulou-Karatzac, Konstantinos Thomopoulosb, Theodoros Petsasa, Christina Kalogeropouloua

University Hospital of Patras, Greece

Department of Radiology (Andreas Karatzas, Theodoros Petsas, Christina Kalogeropoulou); bDepartment of Gastroenterology (Christos Triantos, Maria Kalafateli, Misiel Marzigie, Konstantinos Thomopoulos); cDepartment of Internal Medicine (Chryssouls Labropoulou-Karatza), University Hospital of Patras, Rion, Patras, Greece

Correspondence to: Christos Triantos, Department of Gastroenterology, University Hospital of Patras, Rion, Patras, 26504, Greece, Tel.: +30 6972894651, Fax: +30 2610 625382, e-mail: chtriantos@hotmail.com
Received 18 May 2015; accepted 2 July 2015
© 2016 Hellenic Society of Gastroenterology

Abstract

Background All patients with liver cirrhosis should undergo screening endoscopy, but there are limitations and this approach places a heavy burden upon endoscopy units. The aim of this study was to compare multidetector computed tomography (MDCT) and the platelet/spleen diameter ratio as non-invasive methods for the detection of gastroesophageal varices.

Methods The study included 38 cirrhotics who underwent upper gastrointestinal (GI) endoscopy and MDCT within one month. Two radiologists reviewed the scans, in order to determine the presence and the size of varices. Blood tests and measurement of the spleen maximum diameter were also carried out and the platelet/spleen diameter ratio was calculated. Endoscopy was considered the gold standard and the results of the two methods were compared to it.

Results Varices were detected by upper GI endoscopy in 24 of 38 patients. The mean sensitivity and specificity of MDCT for the two observers was 86.1% and 57.1% respectively. In patients with large varices (>5 mm), the sensitivity was 100% (4/4). Using 909 as a cut-off value of the platelet/spleen diameter ratio this method yielded a sensitivity of 56.5% and a specificity of 35.7%. The difference in sensitivity and specificity between the two methods was statistically significant P<0.05.

Conclusion MDCT was accurate for the detection of gastroesophageal varices, especially those with clinically significant size (>5 mm), and superior to platelet/spleen diameter ratio. MDCT could replace, in selected patients, upper GI endoscopy as a method for detecting gastroesophageal varices in cirrhotic patients.

Keywords: Varices, multidetector computed tomography, platelet/spleen ratio, endoscopy

Ann Gastroenterol 2016; 29 (1): 71-78


Introduction

Variceal bleeding is a common cause of morbidity and mortality among patients with liver cirrhosis. Every year, 3-12% of them develop varices and small varices become large in 8-12% of these patients per year [1,2]. In case of bleeding, the 6-week mortality rate is 11-40% [3,4]. The major predictive factors for variceal rupture are the presence of red spots and the size of varices, as confined by endoscopy, and the severity of cirrhosis, as described by Child-Pugh score [5-7]. It is of major importance to identify patients with medium and large varices, as treatment with β-blockers can diminish by 50% the odds of bleeding in these patients [8,9]. The gold standard for identifying the presence and size of varices is esophagogastroduodenoscopy (EGD). Current guidelines recommend EGD to be performed in all patients with cirrhosis at the time of diagnosis and subsequently every 1-2 years, depending on the findings of the first examination and on the severity of cirrhosis [10,11].

EGD has high sensitivity and specificity for the presence and grade of varices due to the ability to insufflate air and perform retroflexion in the gastric cardia and fundus. Disadvantages include the need for intravenous sedation [12] and the relatively high cost, as confirmed by cost-effectiveness trials [13]. Many non-invasive or minimally invasive methods have been proposed as alternatives to EGD for screening of varices. The most promising ones are the platelet count (PLT)/spleen diameter ratio [14-22], transient elastography [23-25], computed tomography (CT) scan [26-33], and video capsule endoscopy [34-43].

The aim of this prospective study was to evaluate the accuracy of multidetector CT (MDCT) for the detection of esophageal and gastric varices compared to EGD, as well as to compare the diagnostic performance of MDCT with the ratio PLT/spleen diameter in consecutive patients with liver cirrhosis.

Patients and methods

The study initially included 40 cirrhotic patients. One patient with compromised renal function and one allergic to iodized contrast agents were excluded from the study. There were no exclusion criteria concerning EGD. Thirty-eight patients were finally included in the analysis. All patients gave informed consent. The Ethics Committee of the University Hospital of Patras approved the study protocol.

Diagnosis of cirrhosis was based on histology or on compatible clinical, laboratory and imaging data. All patients were subjected to EGD and MDCT examination within one month. EGD was considered the gold standard and the findings of MDCT were compared to that.

EGD

The findings of EGD were categorized as negative for the presence of varices, presence of small varices, or presence of large varices. Endoscopies were reviewed in consensus by a resident and a consultant who were both present during the procedure. Varices were classified into one of two grades: small (less than or equal to 5 mm) or large (greater than 5 mm) [44]. Varices were also divided into esophageal and gastric, according to their location.

MDCT technique and patient preparation

N-acetylcysteine (1200 mg b.i.d.) was administered to all patients the day before the CT and the day of the CT [45]. The CT examination was performed at a multidetector scanner (GE Lightspeed 16x). Slices of 5 mm thickness were acquired and reconstructed to 1.2 mm thick slices. Iodine contrast was administered intravenously with a flow rate of 3.5 mL/sec, to a total of 120 mL and scans were performed during the late arterial and venous phase. Contrast bolus chase was used for the late arterial phase. The venous phase, used for the detection of varices, was performed 30 sec after the late arterial.

Two radiologists reviewed the axial images and used an Advantage GE workstation to produce coronal and sagittal reformats, Maximum Intensity Projection (MIP) and 3D Volume Rendering Technique (3D-VRT) reconstructions in order to determine the presence, the position and the size of the varices.

Varices were classified as small when the largest diameter was <5 mm and as large when it was ≥5 mm [29]. The first radiologist was a consultant with 15-year experience in abdominal imaging (Rad1) and the second a resident with 5-year experience in radiology (Rad2). The 38 cases included in the study were reported separately by each radiologist and the interobserver variability was estimated. Rad2 reviewed the cases 12-36 months after the first assessment, blinded to the results of the endoscopy and to his previous report and the intraobserver variability was calculated. The volume of the spleen was calculated using 3D techniques (GE Advantage Workstation). The maximum dimension of the spleen was measured, using the coronal reformats.

The presence and the size of subserosal varices and portosystemic shunts were assessed to evaluate any correlation with the presence of submucosal varices. The portosystemic shunts were characterized as big if the maximum diameter of the veins was ≥5 mm and small if it was <5 mm.

Blood tests

At the day of the admission for the EGD a blood sample was taken for liver biochemistries and coagulation tests. The PLT/spleen diameter ratio and the PLT/spleen volume ratio were calculated in all patients, except for one who had undergone splenectomy (n=37).

Patient follow up

Patients were followed up for a median of 37 (21-44) months and any episode of upper gastrointestinal (GI) bleeding was recorded and correlated to the findings of the MDCT, EGD and PLT/spleen ratio.

Statistical analysis

PASW Statistics version 18 (SPSS Inc, USA) was used for the statistical analysis. The sensitivity, specificity, negative and positive predictive values of the MDCT diagnosis of esophageal varices, were calculated. Independent t-test was used to detect differences in the mean value of PLT/spleen diameter or volume ratios between patients with positive and negative EGD for the presence of varices. A receiver operating characteristic (ROC) curve was fitted to each observer’s confidence rating data and to the performance of the PLT/spleen diameter and volume ratios. The area under the ROC curve (Az) was calculated, in order to estimate the performance of each test [46]. Kappa statistics were used to evaluate interobserver and intraobserver agreement with regard to the presence of esophageal varices. A kappa value of up to 0.20 indicates a slight agreement; 0.21-0.40, fair; 0.41-0.60, moderate; 0.61-0.80, substantial; and 0.81-1.00, almost perfect [47]. Finally, the extended McNemar test was applied to test the significance of the differences between the sensitivities and specificities of MDCT and PLT/spleen diameter ratio [48].

Results

Thirty-eight patients [M/F: 30/8, mean age: 63 years (range 48-81)] were included. The etiology of cirrhosis was excess alcohol consumption in 18 patients, viral hepatitis in 13 patients, and other causes in 7 patients. Twenty-one patients were classified as Child-Pugh A, 11 as Child-Pugh B, and 6 as Child-Pugh C.

MDCT findings

Varices were detected by EGD in 24 of 38 patients (Fig. 1). No correlation between the presence of varices and the severity of liver disease was observed (P=0.444). The mean sensitivity for the detection of varices by MDCT for the three assessments (1 assessment by Rad1 and 2 assessments by Rad2) was 86.1% and the mean specificity 57.1%. The rate of detection of each observer for the presence of varices, the presence of esophageal or gastric varices, and the presence of large varices are presented in Table 1.

thumblarge

Figure 1 True positive computed tomography scans for esophageal varices. (A) Small submucosal (thin arrow) and subserosal (thick arrow) esophageal varices. (B) Big submucosal esophageal varices

Table 1 Sensitivity, specificity, negative and positive predictive values for the 3 computed tomography (CT) observations and the mean values

thumblarge

Large varices

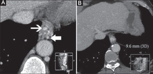
EGD revealed large varices in 4 patients (Fig. 1). Both radiologists correctly identified all patients with large varices (sensitivity 100%). They also identified 5 patients as having large varices, whereas endoscopy did not reveal large varices. All but one of these 5 false positive patients were found to have small varices at endoscopy. This means that even though the specificity for the correct characterization of the size of the varices was only 44.5%, only one patient (1/9=11.1%) was falsely characterized for the presence of varices (Fig. 2).

thumblarge

Figure 2 False positive computed tomography (CT) scans for gastric and esophageal varices. (A) Large varices are demonstrated within the stomach, although the endoscopy was negative. (B) False positive CT for esophageal varices. Subserosal varices are clearly viewed (thick arrow). The small hyperdense dots (thin arrows) were thought to be submucosal varices but the endoscopy did not confirm the diagnosis

Interobserver and intraobserver variability

The Az values calculated from ROC analysis were 0.723 (95%CI 0.543-0.903) for Rad1, 0.667 (95%CI 0.479-0.854) and 0.759 (95%CI 0.587-0.931) for the two evaluations of Rad2. The kappa value for interobserver and intraobserver agreement of variceal detection were 0.872 and 0.813 respectively, demonstrating very satisfactory interobserver and intraobserver agreement [47].

PLT/spleen diameter or volume ratio

The mean PLT/spleen diameter ratio was lower in patients with varices compared to patients without varices; however, this difference was not statistically significant (889.46 vs. 1147.44, P=0.067). Using the cut-off value of 909, as proposed in the majority of studies [15,16,20,22], the sensitivity for the detection of varices and large varices was 56.5% and 25%, respectively, and the specificity for the presence of varices was 35.7%. The ROC curve was applied to determine the cut-off value with the best sensitivity and specificity of the PLT/spleen diameter ratio. A cut-off value of 704.298 rendered sensitivity of 56.5% and specificity of 71.4% and a cut-off value of 1310.597 had a sensitivity of 82.6% and a specificity of 35.7%. The Az value was 0.556 (95%CI 0.349-0.763). The results are presented in detail in Table 2.

Table 2 Sensitivity, specificity, negative and positive predictive values for the 3 computed tomography (CT) observations (mean), the platelet (PLT)/spleen diameter and PLT/spleen volume ratios

thumblarge

Likewise, the PLT/spleen volume ratio was calculated, as in many cases the maximum diameter may not accurately represent its volume due to the shape of the spleen. The mean PLT/spleen volume ratio was significantly lower in patients with varices than in patients without varices (249.99 vs. 443.46, P=0.006). The ROC curve was applied to determine the best cut-off value and the value of 632.718 rendered sensitivity of 91.3% and specificity of 35.7%. The Az value was 0.562 (95%CI 0.351-0.773) (Table 2).

Comparison of MDCT to PLT/spleen diameter ratio

The comparison of the Az values for MDCT and PLT/spleen ratio showed that MDCT was superior to PLT/spleen ratio. The Az values for the 3 CT observations were 0.723, 0.667 and 0.759, demonstrating a fair accuracy of the test [46]. In contrast, the Az value of PLT/spleen diameter ratio and PLT/spleen volume ratio was 0.556 and 0.562, respectively.

The extended McNemar test was applied to test the significance of the differences in sensitivity and specificity of the two methods [48]. The sensitivity and specificity of the 2nd observation of Rad2 was compared to the sensitivity and specificity obtained using the cut-off value of 909 of the PLT/spleen diameter ratio. There were 9 patients with true positive results in MDCT and false negative in the PLT/spleen diameter ratio, 2 patients with true positive result in PLT/spleen diameter ratio and false negative in MDCT, 6 patients with true negative result in MDCT and false positive in PLT/spleen diameter ratio and 2 patients with true negative result in PLT/spleen diameter ratio and false positive in MDCT. Using these numbers as described by Hawass [48], x2 is calculated: x2=(9-2)2/(9+2) + (6-2)2/(6+2)=6.45. This is above the critical value for 0.05 significance level for two degrees of freedom, which is x2=5.99, consequently the overall differences in sensitivities and specificities for the two methods were significant.

Portosystemic shunts

In 35 of 38 patients MDCT revealed portosystemic shunts, which were coronary venous collateral vessels varices in the majority of cases (28 patients). Other frequently encountered shunts were paraesophageal varices, splenorenal shunts and recanalization of the omphalic vein. There was no significant correlation between the presence of these shunts, irrespectively of their size, and the presence of submucosal varices at endoscopy, as presented in Table 3.

Table 3 Correlation of the presence of porto-systemic shunts and the results of endoscopy on submucosal varices

thumblarge

Follow up

During the follow-up period, 4 patients presented with an episode of variceal bleeding. Endoscopy at the time of the examination demonstrated large varices in one of them and small varices in 2, but did not show any varices in the fourth patient. The mean interval between endoscopy and the time of bleeding in these 4 patients was 21.3 months. MDCT correctly identified large and small varices in these 3 patients, but was also negative for the fourth patient. Finally, the PLT/spleen diameter ratio, using the cut-off value of 909 was indicative for portal hypertension and presence of varices for the patient that was reported as having no varices in endoscopy, and negative in one of the three patients with varices.

Discussion

Previous studies have demonstrated the cost-effectiveness and patients’ preference of MDCT over EGD [28-29] for the detection of gastroesophageal varices. The aim of this study was to add evidence to establish MDCT as an alternative screening method for varices. Moreover, we aimed to compare two of the most popular non-invasive methods for the detection of varices, MDCT and PLT/spleen ratio in the same group of patients. To our knowledge, this direct comparison has never been performed in previous studies.

The sensitivity and the specificity of MDCT in our study were similar to those reported in previous studies (Table 4). Many of these studies refer only to the detection of large varices; consequently, the reported accuracy is better. In our study, the main drawback of MDCT was the relatively low specificity for the detection of small varices. We believe that it is mainly attributed to the limited capability of MDCT to discriminate submucosal from subserosal varices (Fig. 1, 2). Artifacts at the area of lower esophagus can also be misinterpreted for small varices (Fig. 2). Additionally, false negative results of EGD can lead to the impression of low specificity of MDCT (Fig. 2A). It has been shown in previous studies that the interobserver agreement of the endoscopists for the determination of variceal size is relatively low [29,49]. Although endoscopy is the gold standard, its sensitivity for the detection of varices has not been proven to be 100%. Examples like the one in Fig. 2A show that indeed endoscopy may have false negative results, although this cannot actually be proven. Overall sensitivity of 86.1% for MDCT is satisfactory, but, most importantly, sensitivity of 100% for large varices implicates the efficacy of the method.

Table 4 Results of studies on the use of computed tomography (CT) for the detection of gastroesophageal varices

thumblarge

The prognostic value of PLT/spleen diameter ratio is debatable. A relatively good accuracy of the method was reported initially [14-17], but other studies failed to confirm these results [18-22] (Table 5). The accuracy is even less satisfactory considering that the last 2 studies [21-22] refer to the detection of large [22] or high risk varices [21] (large or small with red wale marks) and that the cut-off value that is used as a predictor for the presence of varices, varies among them. In our study, the results using the cut-off value of 909 are suboptimal. The sensitivity increases up to 82.6% by choosing the cut-off value of 1310, but the specificity is considerably low (35.7%). The optimal cut-off value (704) rendered a sensitivity of 56.5% and specificity of 71.4%. The PLT/spleen volume ratio produced slightly better results, with the sensitivity reaching 91.3% but still with very low specificity (35.7%).

Table 5 Results of studies on platelet/spleen diameter ratio for the detection of gastroesophageal varices

thumblarge

The differences in sensitivity and specificity when MDCT was compared to PLT/spleen ratio proved to be statistically significant, suggesting the superiority of MDCT. For simplicity, only one of the MDCT observations was used for the comparison and only the results of the cut-off value of 909 were used, since this is the value most widely used in the literature.

The main advantage of the PLT/spleen diameter ratio is that it can be easily performed, with minimal cost or complications. On the other hand, the fact that the cut-off value varies among studies makes it less reliable. The relatively low accuracy, demonstrated in our study, as well as in previous ones, limits its usefulness. An additional drawback is the inability to discriminate between large and small varices.

Considering MDCT, the radiation dose is the main limitation. Nevertheless, the mean age of these patients is usually high (63 in our study). The benefits of preventing a hemorrhage and early detecting a hepatocellular carcinoma, override the carcinogenesis danger [50]. The second limitation of MDCT is the use of contrast media, leading to the exclusion of patients with poor renal function or allergy. The main advantage of MDCT is its relatively high accuracy, reaching 100% in our study for the detection of large varices, combined with minimal invasiveness. In order the examination to be as comfortable as possible for the patient, only water and intravenous contrast was administered in our study and no air was insufflated, as has been previously performed [28]. An additional benefit is the detection of focal liver lesions or other extraluminal pathology.

The ideal way to evaluate MDCT and to compare it to EGD would be to follow up the patients for longer periods and to compare the bleeding rates between the two methods. Our study has the statistical power to prove the superiority of MDCT to PLT/spleen diameter ratio, using EGD as the gold standard. Nevertheless, the number of patients was not big enough to provide an adequate number of patients with an episode of bleeding and to reach final conclusions about the validity of the three tests, despite the prolonged follow-up period.

Summary Box

What is already known:


  • The gold standard to identify the presence and size of varices in patients with cirrhosis is upper gastrointestinal endoscopy

  • Endoscopy is accompanied with various disadvantages including the need for intravenous sedation and the relatively high cost

  • Many non-invasive or minimally invasive methods have been proposed as alternatives to endoscopy for variceal bleeding

What the new findings are:


  • Multidetector computed tomography (MDCT) had a high sensitivity to detect varices in patients with cirrhosis

  • MDCT had a 100% sensitivity to detect large varices in patients with cirrhosis

  • MDCT had a better diagnostic accuracy for the detection of varices in patients with cirrhosis compared to platelet count/spleen diameter ratio

In conclusion, this study adds evidence for the use of MDCT in the detection of esophageal and gastric varices. Furthermore, it demonstrates the superiority of the method compared to the PLT/spleen diameter ratio. Studies which will verify the predicting value of the MDCT compared to EGD for the bleeding rate, in a larger number of patients, could clarify the true accuracy of the methods.

References

1. Merli M, Nicolini G, Angeloni S, Incidence and natural history of small esophageal varices in cirrhotic patientsJ Hepatol 2003; 38: 266-272.

2. De Franchis R, Dell’Era A, Non-invasive diagnosis of cirrhosis and the natural history of its complicationsBest Pract Res Clin Gastroenterol 2007; 21: 3-18.

3. Burroughs AK, Triantos CK, Predicting failure to control bleeding and mortality in acute variceal bleedingJ Hepatol 2008; 48: 185-188.

4. D’Amico G, De Franchis R, Cooperative Study Group. Upper digestive bleeding in cirrhosis. Post-therapeutic outcome and prognostic indicatorsHepatology 2003; 38: 599-612.

5. North Italian Endoscopic Club for the Study and Treatment of Esophageal Varices. Prediction of the first variceal hemorrhage in patients with cirrhosis of the liver and esophageal varices. A prospective multicenter studyN Engl J Med 1988; 319: 983-989.

6. Rigo GP, Merighi A, Chahin NJ, A prospective study of the ability of three endoscopic classifications to predict hemorrhage from esophageal varicesGastrointest Endosc 1992; 38: 425-429.

7. Merkel C, Zoli M, Siringo S, Prognostic indicators of risk for first variceal bleeding in cirrhosis: a multicenter study in 711 patients to validate and improve the North Italian Endoscopic Club (NIEC) indexAm J Gastroenterol 2000; 95: 2915-2920.

8. Garcia-Tsao G, Sanyal AJ, Grace ND, Carey W, Practice Guidelines Committee of the American Association for the Study of Liver Diseases;Practice Parameters Committee of the American College of Gastroenterology. Prevention and management of gastroesophageal varices and variceal hemorrhage in cirrhosisHepatology 2007; 46: 922-938.

9. D’Amico G, Pagliaro L, Bosch J, Pharmacological treatment of portal hypertension: an evidence-based approachSemin Liver Dis 1999; 19: 475-505.

10. De Franchis R, Baveno V, Faculty, Revising consensus in portal hypertension: report of the Baveno V consensus workshop on methodology of diagnosis and therapy in portal hypertensionJ Hepatol 2010; 53: 762-768.

11. De Franchis R, Updating consensus in portal hypertension: report of the Baveno III Consensus Workshop on definitions, methodology and therapeutic strategies in portal hypertensionJ Hepatol 2000; 33: 846-852.

12. Lichtenstein DR, Jagannath S, Baron TH, Sedation and anesthesia in GI endoscopyGastrointest Endosc 2008; 68: 815-826.

13. Spiegel BM, Targownik L, Dulai GS, Karsan HA, Gralnek IM, Endoscopic screening for esophageal varices in cirrhosis: Is it ever cost effective?Hepatology 2003; 37: 366-377.

14. Giannini E, Botta F, Borro P, Platelet count/spleen diameter ratio: proposal and validation of a non-invasive parameter to predict the presence of oesophageal varices in patients with liver cirrhosisGut 2003; 52: 1200-1205.

15. Giannini EG, Zaman A, Kreil A, Platelet count/spleen diameter ratio for the noninvasive diagnosis of esophageal varices: results of a multicenter, prospective, validation studyAm J Gastroenterol 2006; 101: 2511-2519.

16. Agha A, Anwar E, Bashir K, Savarino V, Giannini EG, External validation of the platelet count/spleen diameter ratio for the diagnosis of esophageal varices in hepatitis C virus-related cirrhosisDig Dis Sci 2009; 54: 654-660.

17. Baig WW, Nagaraja MV, Varma M, Prabhu R, Platelet count to spleen diameter ratio for the diagnosis of esophageal varices: Is it feasible?Can J Gastroenterol 2008; 22: 825-828.

18. Cammà C, Petta S, Di Marco V, Insulin resistance is a risk factor for esophageal varices in hepatitis C virus cirrhosisHepatology 2009; 49: 195-203.

19. Hong WD, Zhu QH, Huang ZM, Predictors of esophageal varices in patients with HBV-related cirrhosis: a retrospective studyBMC Gastroenterol 2009; 9: 11

20. Schwarzenberger E, Meyer T, Golla V, Sahdala NP, Min AD, Utilization of platelet count spleen diameter ratio in predicting the presence of esophageal varices in patients with cirrhosisJ Clin Gastroenterol 2010; 44: 146-150.

21. Barrera F, Riquelme A, Soza A, Platelet count/spleen diameter ratio for non-invasive prediction of high risk esophageal varices in cirrhotic patientsAnn Hepatol 2009; 8: 325-330.

22. Sarangapani A, Shanmugam C, Kalyanasundaram M, Rangachari B, Thangavelu P, Subbarayan JK, Noninvasive prediction of large esophageal varices in chronic liver disease patientsSaudi J Gastroenterol 2010; 16: 38-42.

23. Kim BK, Han KH, Park JY, A liver stiffness measurement-based, noninvasive prediction model for high-risk esophageal varices in B-viral liver cirrhosisAm J Gastroenterol 2010; 105: 1382-1390.

24. Kazemi F, Kettaneh A, N’kontchou G, Liver stiffness measurement selects patients with cirrhosis at risk of bearing large oesophageal varicesJ Hepatol 2006; 45: 230-235.

25. Vizzutti F, Arena U, Romanelli RG, Liver stiffness measurement predicts severe portal hypertension in patients with HCV-related cirrhosisHepatology 2007; 45: 1290-1297.

26. Yu NC, Margolis D, Hsu M, Raman SS, Lu DS, Detection and Grading of Esophageal Varices on Liver CT: Comparison of Standard and Thin-Section Multiplanar Reconstructions in Diagnostic AccuracyAJR Am J Roentgenol 2011; 197: 643-649.

27. Kim YJ, Raman SS, Yu NC, To’o KJ, Jutabha R, Lu DS, Esophageal varices in cirrhotic patients: evaluation with liver CTAJR Am J Roentgenol 2007; 188: 139-144.

28. Kim SH, Kim YJ, Lee JM, Esophageal varices in patients with cirrhosis: multidetector CT esophagography--comparison with endoscopyRadiology 2007; 242: 759-768.

29. Perri RE, Chiorean MV, Fidler JL, A prospective evaluation of computerized tomographic (CT) scanning as a screening modality for esophageal varicesHepatology 2008; 47: 1587-1594.

30. Kim H, Choi D, Gwak GY, High-risk esophageal varices in patients treated with locoregional therapies for hepatocellular carcinoma: evaluation with regular follow-up liver CTDig Dis Sci 2009; 54: 2247-2252.

31. Kim H, Choi D, Gwak GY, Evaluation of esophageal varices on liver computed tomography: receiver operating characteristic analyses of the performance of radiologists and endoscopistsJ Gastroenterol Hepatol 2009; 24: 1534-1540.

32. Zhu K, Meng X, Pang P, Gastric varices in patients with portal hypertension: evaluation with multidetector row CTJ Clin Gastroenterol 2010; 44: e108-e115.

33. Lipp MJ, Broder A, Hudesman D, Detection of esophageal varices using CT and MRIDig Dis Sci 2011; 56: 2696-2700.

34. White CM, Kilgore ML, PillCam ESO versus esophagogastroduodenoscopy in esophageal variceal screening: A decision analysisJ Clin Gastroenterol 2009; 43: 975-981.

35. Lapalus MG, Ben Soussan E, Gaudric M, Esophageal capsule endoscopy vs. EGD for the evaluation of portal hypertension: a French prospective multicenter comparative studyAm J Gastroenterol 2009; 104: 1112-1118.

36. Nakos G, Karagiannis S, Ballas S, A study comparing tolerability, satisfaction and acceptance of three different techniques for esophageal endoscopy: sedated conventional, unsedated peroral ultra thin, and esophageal capsuleDis Esophagus 2009; 22: 447-452.

37. Lu Y, Gao R, Liao Z, Hu LH, Li ZS, Meta-analysis of capsule endoscopy in patients diagnosed or suspected with esophageal varicesWorld J Gastroenterol 2009; 15: 1254-1258.

38. Frenette CT, Kuldau JG, Hillebrand DJ, Lane J, Pockros PJ, Comparison of esophageal capsule endoscopy and esophagogastroduodenoscopy for diagnosis of esophageal varicesWorld J Gastroenterol 2008; 14: 4480-4485.

39. Pena LR, Cox T, Koch AG, Bosch A, Study comparing oesophageal capsule endoscopy versus EGD in the detection of varicesDig Liver Dis 2008; 40: 216-223.

40. Spiegel BM, Esrailian E, Eisen G, The budget impact of endoscopic screening for esophageal varices in cirrhosisGastrointest Endosc 2007; 66: 679-692.

41. Eisen GM, Eliakim R, Zaman A, The accuracy of PillCam ESO capsule endoscopy versus conventional upper endoscopy for the diagnosis of esophageal varices: a prospective three-center pilot studyEndoscopy 2006; 38: 31-35.

42. Lapalus MG, Dumortier J, Fumex F, Esophageal capsule endoscopy versus esophagogastroduodenoscopy for evaluating portal hypertension: a prospective comparative study of performance and toleranceEndoscopy 2006; 38: 36-41.

43. Ramirez FC, Hakim S, Tharalson EM, Shaukat MS, Akins R, Feasibility and safety of string wireless capsule endoscopy in the diagnosis of esophageal varicesAm J Gastroenterol 2005; 100: 1065-1071.

44. de Franchis R, Pascal JP, Ancona E, Definitions, methodology and therapeutic strategies in portal hypertension. A Consensus Development Workshop, Baveno, Lake Maggiore, Italy, April 5 and 6, 1990J Hepatol 1992; 15: 256-261.

45. Briguori C, Airoldi F, D’Andrea D, Renal Insufficiency Following Contrast Media Administration Trial (REMEDIAL): a randomized comparison of 3 preventive strategiesCirculation 2007; 115: 1211-1217.

46. Hanley JA, McNeil BJ, The meaning and use of the area under a receiver operating characteristic (ROC) curveRadiology 1982; 143: 29-36.

47. Kundel HL, Polansky M, Measurement of interobserver agreementRadiology 2003; 228: 303-308.

48. Hawass NE, Comparing the sensitivities and specificities of two diagnostic procedures performed on the same group of patientsBr J Radiol 1997; 70: 360-366.

49. Bendtsen F, Skovqaard LT, Sorensen TI, Matzen P, Agreement among multiple observers on endoscopic diagnosis of esophageal varices before bleedingHepatology 1990; 11: 341-347.

50. D’Amico G, Garcia-Tsao G, Pagliaro L, Natural history and prognostic indicators of survival in cirrhosis: a systematic review of 118 studiesJ Hepatol 2006; 44: 217-231.

Notes

Conflict of Interest: None