Cystic illusion: superior mesenteric vein aneurysm thrombosis mimicking a pancreatic cyst

Nikhil Nadkarnia, Jane Carlonb, Santhi Swaroop Vegea

Mayo Clinic, Rochester, USA
aDepartment of Gastroenterology and Hepatology (Nikhil Nadkarni, Santhi Swaroop Vege), Mayo Clinic, Rochester, USA; bDepartment of Radiology (Jane Carlon), Mayo Clinic, Rochester, USA

Correspondence to: Dr. Santhi Swaroop Vege, Professor of Medicine, Department of Gastroenterology & Hepatology, Mayo Clinic, 200 First Street SW, Rochester, Minnesota, 55905 USA, e-mail: vege.santhi.@mayo.edu
Received 5 January 2015; accepted 14 January 2015
© 2015 Hellenic Society of Gastroenterology

Aneurysms of the splanchnic arteries are common. However those of the veins are practically rare. They can be congenital (due to persistent vitelline vein) or acquired (due to pancreatitis or cirrhosis) [1]. Complications can be thrombosis or rupture. Management would include watchful expectancy or aneurysmorrhaphy or aneurysmal resection. In case of thrombosis thrombectomy or thrombolysis or just anticoagulation can be attempted [1,2].

A 65-year-old female presented for evaluation of upper abdominal pain. Her clinical examination was normal. Serum amylase and lipase were normal. Contrast-enhanced computed tomography (CECT) of the abdomen showed a 35 mm cystic lesion around the mid body of the pancreas (Fig. 1) and she was referred to our center as “pancreatic cyst” requiring resection.

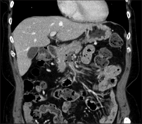
thumblarge

Figure 1 Contrast-enhanced computed tomography of the abdomen showing cystic lesion in the head of the pancreas

A careful evaluation of the CECT showed that the lesion was in fact extra-pancreatic; a hypodense thrombus within an aneurysmal dilatation of the superior mesenteric vein (SMV) measuring 35 mm and mimicking a “pancreatic cyst”. She was negative for protein C deficiency, protein S deficiency, antithrombin III deficiency, factor V Leiden mutation, prothrombin G20210A, hyperhomocysteinemia and antiphospholipid antibodies. Antinuclear antibody and anti cytoplasmic nuclear antibody were negative. Treatment with warfarin for 3 months after a prior low molecular weight heparin bridging showed gradual resolution of thrombus with decrease in the size of the aneurysm (Fig. 2, coronal view). Thus a surgery was averted.

thumblarge

Figure 2 Contrast-enhanced computed tomography of the abdomen one month later showing partial resolution of thrombus in the superior mesenteric vein with decrease in size

References

1. Cho SW, Marsh JW, Fontes PA, Extrahepatic portal vein aneurysm-report of six patients and review of the literatureJ Gastrointest Surg 2008; 12: 145-152.

2. Hechelhammer L, Crook DW, Widmer U, Thrombosis of a superior mesenteric vein aneurysm: transarterial thrombolysis and transhepatic aspiration thrombectomyCardiovasc Intervent Radiol 2004; 27: 551-555.

Notes

Conflicts of Interest: None