A rare case of colonic pseudolipomatosis

Maria João Magalhãesa, André Coelhob, Marta Salgadoa, Isabel Pedrotoa

Centro Hospitalar do Porto, Hospital de Santo António, Portugal


aDepartment of Gastroenterology (Maria João Magalhães, Marta Salgado, Isabel Pedroto), Centro Hospitalar do Porto, Hospital de Santo António, Portugal
bDepartment of Pathology (André Coelho), Centro Hospitalar do Porto, Hospital de Santo António, Portugal
Correspondence to: Maria João Magalhães, Rua Dr. Manuel Rodrigues de Sousa, 21 5° D, 4450 181, Matosinhos, Porto, Portugal, Tel.: +351 93 312 89 79, e-mail: mj.magalhaes@gmail.com
Received 23 September 2014; accepted 2 October 2014
© 2015 Hellenic Society of Gastroenterology

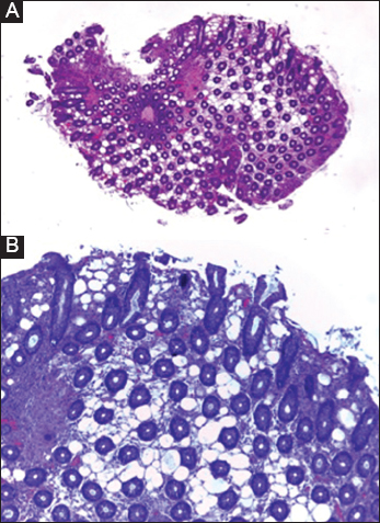
A 54-year-old man was referred to our department for colorectal cancer screening. The colonoscopy revealed, at the ascending colon, several white plaques, some confluent, interspersed with normal mucosa (Fig. 1). Biopsies were performed and the histopathological examination showed a fragment of polypoid colonic mucosa with optically empty vacuoles in the lamina propria (Fig. 2) and irregular cystic spaces of varying sizes, similar to adipocytes in the absence of inflammation or dysplasia.

Figure 1

Endoscopic appearance of colonic pseudolipomatosis: whitish plaques, some confluent, interspersed with normal mucosa at the ascending colon

thumblarge

Figure 2

Pseudolipomatosis (H&E) (A) At low power field (40x), numerous cystic spaces were seen in the lamina propria of a polypoid fragment of colon mucosa. (B) A higher power field (100x) revealed adipocyte-like spaces, without inflammatory infiltrate or epithelial dysplasia

thumblarge

Colonic pseudolipomatosis is a benign and rare condition, with an estimated prevalence of 0.02-0.3% in colonoscopic series, characterized by the presence of vacuoles with gas content in the lamina propria of the large intestine [1].

The incidence is more frequent between the sixth and seventh decade of life [2]. The pathogenesis remains unclear, but it is now considered to be an iatrogenic change caused by penetration of gas into the mucosa during endoscopy [1,2].

The endoscopic aspect is typical, with whitish or yellowish, single or multiple, mucosal plaques [1,2]. The plaques extend over several mm to 4 cm and can be found equally in the right and left colon [3]. The histological aspect is characterized by presence of optically empty vacuoles measuring 20-240 µm and displacing adjacent lamina propria. These clear spaces have no epithelial lining and are morphologically similar to adipocytes but without lipid content, based on histochemistry and ultrastructure [3].

The differential diagnosis includes cystic pneumatosis, colonic lymphangioma and colonic malakoplakia [2,3].

Conservative management is adequate since the lesions regress spontaneously without complications within weeks.

References

1.  Nakasono M, Hirokawa M, Muguruma N, et al. Colonic pseudolipomatosis, microscopically classified into two groups. J Gastroenterol Hepatol 2006;21: 65-70.

2.  Martinez CA, Souza CA, Noronha M, et al. Pseudolipomatose do cólon:relato de caso. Rev Bras Coloproct 2008;28: 104-107.

3.  Brevet M, Chatelain D, Bartoli E, et al. Colonic pseudolipomatosis:clinical, endoscopical and pathological features in nine cases. Gastroenterol Clin Biol 2006;30: 9-13.

Notes

Conflict of Interest: None