Improved optical identification of laterally spreading type “0-IIb” gastric lesion with narrow band imaging magnification endoscopy

Nikolas Eleftheriadisa, Haruhiro Inouea, Haruo Ikedaa, Roberta Masellia, Manabu Onimarua, Akira Yoshidaa, Hiroaki Itoa, Shigeharu Hamatanib, Shin-ei Kudoa

International Digestive Disease Center, Showa University, Northern Yokohama Hospital, Japan
aDigestive Disease Center (Nikolas Eleftheriadis, Haruhiro Inoue, Haruo Ikeda, Roberta Maselli, Manabu Onimaru, Akira Yoshida, Hiroaki Ito, Shin-ei Kudo), Showa University Northern Yokohama Hospital, Japan
bDepartment of Pathology (Shigeharu Hamatani), Showa University Northern Yokohama Hospital, Japan

Correspondence to: Nikolas Eleftheriadis, International Digestive Disease Center, Showa University, Northern Yokohama Hospital, 35-1 Chigasakichuo, Tsuzuki-ku, Yokohama 224 8503, Japan, Tel.-Fax: +81 45 949 7000, e-mail: nikoseleftheriadis@yahoo.com
Received 10 March 2014; accepted 4 April 2014

Abstract

Endoscopic submucosal dissection (ESD) has become the treatment of choice for early gastric cancer. Accurate identification of tumor borders is crucial for curative ESD. Narrow band imaging magnification endoscopy (NBI-ME) has been effectively used for assessment of superficial gastric lesions; however, international experience in type “0-IIb” gastric lesions is limited. Successful endoscopic tissue characterization of laterally spreading type “0-IIb” early gastric cancer in a 74-year-old male with known type “0-IIa” lesion, using zoom NBI-ME, is reported. While the type “0-IIa” gastric lesion was clearly recognized by white light endoscopy and indigo carmine chromoendoscopy, the laterally spreading type “0-IIb” gastric cancer was only identified on the basis of NBI-ME malignant microvascular and mucosal microsurface pattern. Based on NBI-ME findings, accurate border marking approximately 1 mm apart from the demarcation line and complete en bloc ESD resection of both tumors was successfully succeeded. Recovery was uneventful. Histopathology showed moderately differentiated gastric adenocarcinoma in type “0-IIa” lesion and a small area of low-grade well-differentiated gastric adenocarcinoma in type “0-IIb” lesion. Conclusively, improved real-time optical identification of laterally spreading type “0-IIb” gastric lesion was achieved with NBI-ME.

Keywords Narrow band imaging, magnifying endoscopy, early gastric cancer, endoscopic submucosal dissection

Ann Gastroenterol 2014; 27 (3): 267-269


Introduction

Endoscopic submucosal dissection (ESD) has become the treatment of choice for early gastric cancer, while accurate diagnosis is a prerequisite for curative ESD [1]. However, early gastric cancer may appear as flat or slightly depressed lesion making diagnosis by standard white light endoscopy difficult [2,3]. Accurate detection of tumor margins is even more difficult for laterally spreading type “0-IIb” gastric cancer [2,4]. Furthermore, patients with early gastric cancer are at high risk of synchronous lesions, which could be overlooked during evaluation for endoscopic treatment [5]. For such gastric lesions narrow band imaging magnification endoscopy (NBI-ME) is a reliable and effective evaluating method [2,6].

Successful detection of synchronous type “0-IIb” early gastric cancer before scheduled ESD for known type “0-IIa” gastric cancer in a 74-year-old male using NBI-ME is herein reported. Both lesions were successfully identified, marked and en bloc ESD resected, based on NBI-ME abnormal findings.

Case report

A 74-year-old male with histologically proven early gastric cancer, type “0-IIa”, according to Paris endoscopic classification [4] and Japanese Classification for Gastric Cancer [7], was referred for ESD resection. Personal and family history was negative. He reported mild smoking but no alcohol, medicine or other drug use.

A high resolution, zoom video-endoscope with NBI (H260Z; Olympus Medical Systems) and an electric endoscopic system (EVIS 260 LUCERA SPECTRUM; Olympus Medical Systems) were used for examination. Standard white light endoscopy showed a slightly red and elevated gastric lesion at the middle gastric body along the lesser curvature type “0-IIa” lesion (Fig. 1A, B). Indigo carmine chromoendoscopy resulted in better delineation of the type “0-IIa” lesion and no other abnormalities (Fig. 1C).

Figure 1

(A, B) Conventional white light endoscopy shown a totally flat, type “0-IIb” lesion (white window) at the oral side of a type “0-IIa” lesion (Paris classification [4]). Type “0-IIb” lesion is above the isolated dot (yellow circle). Image (B) corresponds to white window of Fig. 1A. (C) Chromoendoscopy with indigo carmine shown clearly the type “0-IIa” early gastric cancer, especially the proximal margin (arrows), and no further additional abnormalities. (D) Narrow band imaging magnifying image revealed an additional type “0-IIb” lesion proximal to type “0-IIa” lesion, which was not recognized by standard white light endoscopy as well as indigo carmine chromoendoscopy. Isolated dot (yellow circle) is situated just at the oral side (white arrows) of the type “0-IIa” lesion

thumblarge

NBI-ME showed the type “0-IIa” tumor as a brownish area, with clear demarcation line of the proximal and distal tumor margins (Fig. 2A). Abnormal NBI-ME findings, including irregular microvascular and mucosal microsurface pattern, were also found in a flat area, “0-IIb”, at the oral side of the “0-IIa” lesion (Fig. 1D). NBI-ME also showed a demarcation line between normal metaplastic mucosa and tumorous NBI mucosal pattern with irregular white zone (Fig. 2B). NBI-ME of the type “0-IIb” tumor enabled the observation of an irregular mucosal microsurface inter-lobular loop pattern 1 (ILL-1)[8] (Fig. 2C).

Figure 2

(A) NBI-magnifying image shown a demarcation line of the proximal borders (arrows) of the type “0-IIa” early gastric cancer. (B) NBI-magnification image of the type “0-IIb” lesion showing irregular white zone in the demarcation line (white line) between normal metaplastic mucosa and tumorous Narrow band imaging mucosal pattern. (C) NBI with maximum (x80) magnification of the center of the type “0-IIb” lesion clearly showed an irregular inter-lobular loop pattern 1 (ILL-1 pattern). (D) NBI magnifying image after acetic acid spray showed tumorous pattern microstructures (fusion and increased intensity of villous structures) in the second type “0-IIb” lesion

thumblarge

After staining with acetic acid, NBI magnifying image of “0-IIb” lesion also showed irregular mucosal pattern with fusion and increased intensity of villous structures, classified as type B, according to our recent classification [9] (Fig. 2D). Based on the above-mentioned NBI findings the type “0-IIb” lesion was diagnosed as mucosal gastric adenocarcinoma of probable differentiated type. Precise tumor margin marking of both lesions was followed (Fig. 1A, B, D).

En bloc ESD resection of both tumors was successfully completed without complications. A post-ESD gastric ulcer was identified at the end of the procedure. The patient was discharged after five days, according to the schedule in similar cases.

Histopathologic examination of the ESD specimen (Fig. 3A) showed double mucosal gastric adenocarcinoma, with moderate differentiation of the “0-IIa” lesion and a small area of low-grade well-differentiated adenocarcinoma of the type “0-IIb” gastric lesion, category 5 according to the revised Vienna classification [10] (Fig. 3B, C). Marking point placed at 1 mm outside the borders was confirmed in the histological findings (Fig. 3A). The vertical and horizontal margins of both lesions were negative as well as the ulcer bodem of the type “0-IIa” lesion.

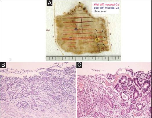
Figure 3

(A) Endoscopic submucosal dissection specimen showing cancer extension (red line) of both type “0-IIa” a) and b) type “0-IIb” (black arrows) lesions (yellow circle shows the isolated dot between IIa and IIb lesions). (B) Histology of the rejected tumor with HE stain of the type “0-IIa” lesion, showing moderately differentiated gastric adenocarcinoma (tub1>>por), with complete pathological rejection (R0, T1a(M), UL (+) Ly (-) v(-) pHM0 PVM0). (C) Well-differentiated low-grade adenocarcinoma (tub 1) with complete pathological rejection of the small IIb lesion. (R0, pT1a(M), UL (-), v(-), Ly(-), PHM 0 pVM0)

thumblarge

Discussion

Early detection with subsequent complete endoscopic resection is the best strategy for gastric cancer [3]. Successful endoscopic resection depends on precise diagnosis of the cancer margin. Early stage gastric cancer, however, may appear as a small flat area, usually depressed or slightly elevated, difficult to distinguish from benign abnormalities, such as gastric erosion or inflammation [3]. The diagnosis becomes even more difficult in gastritis-like early gastric cancer, classified as “0-IIb”. These lesions could be overlooked not only by standard white light endoscopy but also by chromoendoscopy [2].

NBI-ME enhances microvascular architecture and microsurface structure of the superficial gastric mucosa and based on these findings a real-time differential diagnosis can be made, according to several reports [5-7]. Based on the four-type NBI-ME classification described by Yokoyama et al [8], in the present case NBI-ME mucosal microsurface pattern was classified as an ILL-1, corresponding to a well-differentiated gastric adenocarcinoma.

The laterally spreading, “0-IIb” early gastric cancer was identified only after zoom NBI-ME examination of the primary “0-IIa” lesion before scheduled ESD. This case is of interest because we clearly demonstrated the benefit of NBI-ME for the characterization of “0-IIb” lesion at the periphery of “0-IIa” early gastric cancer.

In the present case, the “0-IIb” lesion was recognized while delineating the borders of the “0-IIa” lesion, previously recognized with white light endoscopy/chromoendoscopy. However, in the case of pure “0-IIb” lesions the exact diagnosis could be easily overlooked, because one cannot perform zoom NBI to the whole gastric surface, although in Japanese centers and under experienced hands “0-IIb” lesions can be successfully identified also during NBI-ME. This issue however needs further study.

Furthermore, we would also like to emphasize the usefulness of acetic acid chromoendoscopy as an additional confirmation of the abnormal NBI-ME pattern of the “0-IIb” gastric lesion, classified as type B according to our recent classification [9].

Finally, this case report is of great importance, regarding the usefulness of magnifying endoscopy combined with NBI technology as a characterization technique for the detection and accurate mucosal “mapping” of early gastric cancer.

Although in western centers there is a high interest in the ESD technique, the diagnostic tools and appropriate training for structural analysis and accurate diagnosis of early gastric lesions are not equally developed. This case report is an example of how western endoscopists should interpret gastric and mainly colonic lesions in the near future, in order to apply minimal invasive endoscopic techniques in a precise manner.

In conclusion, according to the positive results of the present study, we consider NBI-ME an effective and reliable method for accurate optical diagnosis of “0-IIb” early gastric cancer. However, larger studies with greater numbers of patients are necessary.

References

1. Gotoda T, Yamamoto H, Soetikno RM. Endoscopic submucosal dissection of early gastric cancer. J Gastroenterol 2006;41:929-942.

2. Ezoe Y, Muto M, Uedo N, et al. Magnifying narrowband imaging is more accurate than conventional white-light imaging in diagnosis of gastric mucosal cancer. Gastroenterology 2011;141:2017-2025 e3.

3. Yoshida S, Kozu T, Gotoda T, et al. Detection and treatment of early cancer in high-risk populations. Best Pract Res Clin Gastroenterol 2006;20:745-765.

4. The Paris endoscopic classification of superficial neoplastic lesions: esophagus, stomach, and colon: November 30 to December 1, 2002. Gastrointest Endosc 2003;58:S3-S43.

5. Naylor GM, Gotoda T, Dixon M, et al. Why does Japan have a high incidence of gastric cancer?Comparison of gastritis between UK and Japanese patients. Gut 2006;55:1545-1552.

6. Takeuchi M, Kobayashi M, Hashimoto S, et al. Usefulness of magnifying narrow band imaging for assessing lateral tumor extent of early gastric cancer: a case report. Dig Endosc 2011;23(Suppl 1):86-88.

7. Japanese classification of gastric carcinoma:3rd English edition. Gastric Cancer 2011;14:101-112.

8. Yokoyama A, Inoue H, Minami H, et al. Novel narrow-band imaging magnifying endoscopic classification for early gastric cancer. Dig Liver Dis 2010;42:704-708.

9. Eleftheriadis N, Inoue H, Ikeda H, et al. Acetic acid spray enhances accuracy of narrow-band imaging magnifying endoscopy for endoscopic tissue characterization of early gastric cancer. Gastrointest Endosc 2014;79:712.

10. Stolte M. The new Vienna classification of epithelial neoplasia of the gastrointestinal tract: advantages and disadvantages. Virchows Arch 2003;442:99-106.

Notes

Conflict of Interest: None